Kasuistik Aus Klappen-OP wird Krebsdiagnose

Autor: Dr. Dorothea Ranft

Auf die Herz-OP bezogen erlaubt die Thoraxeröffnung, Veränderungen des Mediastinums zu enthüllen. Auf die Herz-OP bezogen erlaubt die Thoraxeröffnung, Veränderungen des Mediastinums zu enthüllen. © iStock/magicmine

Eigentlich sollte nur ein Klappenvitium behoben werden. Doch dann entdeckten die Operateure zwei Knoten im Mediastinum. Vermutlich hat dieser Zufallsbefund dem Patienten einen ungünstigen Verlauf erspart.

Seit einigen Wochen nahm die Leistung eines durchtrainierten 25-jährigen American-Football-Spielers stetig ab. Der Mann klagte über Abgeschlagenheit und Dyspnoe schon bei moderater Belastung. Seit dem 17. Lebensjahr war ein zunächst leichtgradiger Mitralklappenfehler bekannt, der regelmäßig sonographisch kontrolliert wurde, schreiben Privatdozent Dr. Stephan Geidel von der Asklepios Klinik St. Georg in Hamburg und Kollegen.

Die aktuelle Echokardiographie zeigte eine Progression des Klappenvitiums mit hochgradiger Insuffizienz und einem Prolaps beider Segel. Auch die Trikuspidalklappe war bereits geschädigt. Zudem fand sich ein kleiner Vorhofseptumdefekt. Die Kardio-CT ergab eine erhebliche Vergrößerung des Herzens, war aber ansonsten unauffällig. Aufgrund dieser Konstellation entschieden sich die Kollegen für eine Doppelklappenreparatur via Sternotomie.

Intraoperativ fielen beim routinemäßigen Abtasten des makroskopisch unauffälligen mediastinalen Fett- und Restthymusgewebes zwei verdächtige Knoten auf. Der kleinere (ca. 4 x 3 x 2 cm) wurde für eine Schnellschnittdiagnostik entnommen. Die anschließende Klappenreparatur nebst Verschluss des begleitenden Vorhofseptumdefekts gelang ohne Komplikationen. Nun resezierten die Kollegen noch den größeren Nodus (ca. 5 x 4 x 3 cm). Die histologische Analyse der beiden Knoten entlarvte schließlich ein klassisches Hodgkin-Lymphom des Thymus im beginnenden bzw. fortgeschrittenen Stadium.

Die Autoren werten diesen Fall als Beispiel dafür, dass man bei Operationen jederzeit mit potenziell lebensbedrohlichen Pathologien und/oder seltenen Erkrankungen aus anderen Fachgebieten rechnen muss. Entscheidend für die Patienten sei, dass Chirurgen das Umfeld standardisiert untersuchen können und auch einen zusätzlichen relevanten Befund erkennen. Auf die Herz-OP bezogen erlaubt die Thoraxeröffnung, Veränderungen des Mediastinums zu enthüllen. Die Kardio-CT kann dies nicht immer leisten, da sie nicht das gesamte Mediastinum abbildet.

Krebs war mitverantwortlich für den Leistungsabfall

Der 25-jährige Sportler litt an einem schweren Herzklappenfehler, der seinen Leistungsknick eindeutig erklärte. Vermutlich war aber auch der Krebs mitverantwortlich, räumen die Kollegen ein. Postoperativ erfolgte ein Staging mittels PET-CT, bei dem ein Hodgkin-Lymphom im intermediären Stadium IIA mit Befall von mindestens drei Lymphknotenarealen festgestellt wurde. Geplant ist nun eine Chemotherapie, gegebenenfalls ergänzt durch eine Radiatio. Die Autoren gehen aufgrund der frühzeitigen Zufallsdiagnose von einer günstigen Prognose aus.

Quelle: Geidel S et al. Hamburger Ärzteblatt 2021

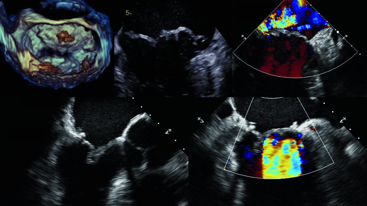
Die OP erfolgte wegen einer hochgradigen Mitralklappeninsuffizienz im Sinne eines M. Barlow. Zu erkennen ist der Reflux in den linken Vorhof.
Die OP erfolgte wegen einer hochgradigen Mitralklappeninsuffizienz im Sinne eines M. Barlow. Zu erkennen ist der Reflux in den linken Vorhof.
In der Histologie des mediastinalen Knotens ließen sich Hodgkin- und Sternberg-Reed-Zellen anfärben.
In der Histologie des mediastinalen Knotens ließen sich Hodgkin- und Sternberg-Reed-Zellen anfärben.
Das Ausmaß der Tumorerkrankung wurde mittels PET-CT deutlich: Mehrere Lymphknotenareale waren befallen. Das Ausmaß der Tumorerkrankung wurde mittels PET-CT deutlich: Mehrere Lymphknotenareale waren befallen. © Hamburger Ärzteverlag, Hamburg