DGIM 2021 – 127. Kongress der Deutschen Gesellschaft für Innere Medizin

17. – 20. April 2021 • Digital-Kongress

Vom 17. bis 20. April 2021 fand der virtuelle Deutsche Internistenkongress statt. Hier können Sie sich über unsere Highlights und aktuelle Berichte rund um den Kongress informieren.

Kleingefäß-Vaskulitiden

Neues zu Plasmapherese, Glukokortikoiden und IL-5-Blockade

Klare Sache: Bei einer ANCA-assoziierten Vaskulitis muss sofort eine Remissionsinduktion eingeleitet werden. Anschließend steht aufgrund des hohen…

mehr
Rheumatologie DGIM 2021

Wirksamkeit und Kosten

Bei rheumatoider Arthritis gleich mit Biologika einsteigen?

Je früher man eine rheumatoide Arthritis in den Griff bekommt, desto besser. Sollte man deshalb lieber direkt zu Biologika greifen? Argumente gibt es…

mehr
Rheumatologie DGIM 2021

Arthritis-Diagnostik

Arthritiden in sechs Schritten gezielt einkreisen

Was war noch mal das Gaenslen-Zeichen? Wann lohnt sich eine Yersinien-Serologie? Und ist es wichtig, dass der Großvater Gicht hatte? Ein…

mehr
Rheumatologie DGIM 2021

Bildgebung

Welches Verfahren wann einsetzen?

Sono, Endosono, Elastographie – die Auswahl an bildgebenden Verfahren ist groß. Vier Experten erklären, was die einzelnen Techniken leisten können und…

mehr
Gastroenterologie DGIM 2021

Rheuma

Die Reduktion von Rheumamedikamenten ist möglich

Ob Nebenwirkungen oder Patientenwunsch: Bei einer antirheumatischen Therapie steht immer wieder die Frage nach Dosisreduktion und Absetzen der…

mehr
Rheumatologie DGIM 2021

Wann erfordern COPD-Exazerbationen den Einsatz von Antibiotika?

In Deutschland erhalten Patienten mit akut exazerbierter COPD fast automatisch ein Antibiotikum. Viele dieser Verordnungen kann man sich sparen.

mehr
Pneumologie DGIM 2021

Viele Alltagsmedikamente greifen die Lunge an

Pulmonale Arzneimittelnebenwirkungen sind eine Krux: Fast jedes Medikament kann Lungenschäden auslösen, fast jede Lungenkrankheit durch eine…

mehr
Pneumologie DGIM 2021

Rheuma: Pulmonale Beteiligung erfordert interdisziplinäre Behandlung

Bei chronisch-fibrosierenden interstitiellen Pneumonien sollte man auch eine rheumatische Genese in Erwägung ziehen. Diese kann prognoserelevant…

mehr
Pneumologie , Rheumatologie DGIM 2021

Tiefe Beinvenenthrombose: D-Dimer-Bestimmung ist kein Ersatz für Bildgebung

Ein normaler D-Dimer-Wert schließt eine aktivierte Gerinnung – sprich eine Thrombose – aus. In unklaren Situationen kann das durchaus weiterhelfen.…

mehr
Angiologie DGIM 2021

Infektionsprophylaxe bei rheumatoider Arthritis durch angepasste Immunsuppression

Die medikamentöse Therapie der rheumatoiden Arthritis ist eine ständige Gratwanderung: Zum einen muss man das Immunsystem bremsen, zum anderen…

mehr
Rheumatologie , Infektiologie DGIM 2021

Homöopathie ist keine Naturheilkunde – Irreführende Werbung sorgt für falsche Vorstellungen

Kritik hören viele homöopathisch tätige Ärzte nicht gerne. Und so hätte deren Zentralverein einen entsprechenden Vortrag auf dem Internistenkongress…

mehr
Alternativmedizin DGIM 2021

Low Carb: das Für und Wider einer kohlenhydratarmen Ernährung

Wohl kaum ein ernährungsmedizinisches Thema wird so leidenschaftlich diskutiert wie Low-Carb-Diäten. Auf der einen Seite finden sich positive Effekte…

mehr
Diabetologie DGIM 2021

Perkutane Magensonde bei schwer Dementen zurückhaltend einsetzen

Die perkutane endoskopische Gastrostomie beim geriatrischen Patienten erfolgt nach strenger Indikationsstellung und individuell kritischem Abwägen.…

mehr
Gastroenterologie , Geriatrie DGIM 2021

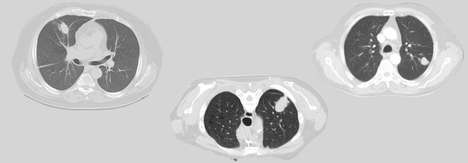
Lungenkrebsscreening: Wie geht es nach dem auffälligen Befund diagnostisch weiter?

Jetzt, da das Lungenkrebsscreening für Risikogruppen vor der Tür steht, stellt sich die Frage: Wer darf eigentlich ran an die abzuklärenden Rundherde?…

mehr
Pneumologie , Onkologie und Hämatologie DGIM 2021

West-Nil-Fieber dürfte in Deutschland künftig häufiger auftreten

Enzephalitis oder unklares Fieber während der heißen Sommermonate? Auch hierzulande kommt differenzialdiagnostisch eine Infektion mit dem…

mehr
Infektiologie DGIM 2021

Soziales Umfeld beeinflusst was und wie viel wir essen

Das gesellschaftliche Setting beim Essen hat teils kuriose Effekte auf die Portionsgröße. Doch auch Freundschaften und Beziehungen hinterlassen…

mehr
Diabetologie DGIM 2021

Nutzen von Methadon in der Tumortherapie ist fraglich

2017 herrschte in den Publikumsmedien ein Aufruhr um Methadon in der Krebstherapie – ausgelöst durch ein Interview von Dr. rer. nat. Claudia Friesen.…

mehr
Onkologie und Hämatologie DGIM 2021

Drei Indikationen für den Einsatz von Protonenpumpenhemmern

Protonenpumpen­hemmer werden oft ohne handfeste Indikation verschrieben. Sie gehören deshalb zu den Arzneien, die von einer Medika­mentenliste am…

mehr
Gastroenterologie , Infektiologie DGIM 2021

Thrombophiliediagnostik nur bei ausgewählten Risikopersonen sinnvoll

Die Thrombophiliediagnostik soll Defekte der Blutgerinnung oder Fibrinolyse aufspüren. Sinnvoll sind die Laboruntersuchungen nur dann, wenn aus den…

mehr
Angiologie DGIM 2021

ANCA-Vaskulitiden: Komplexe Symptomatik erfordert interdisziplinäre Untersuchung

ANCA-assoziierte Vaskulitiden zeigen ein vielschichtiges klinisches Bild. Sie sind häufiger, als gemeinhin angenommen. Typisch ist eine chronische…

mehr
Rheumatologie DGIM 2021

Regeln für die schnelle Versorgung von Notfallpatienten

Eben noch spricht der Patient normal mit Ihnen – und im nächsten Moment trübt er ein. Oder Sie stehen in der U-Bahn-Station und ein Passant bricht mit…

mehr
Kardiologie DGIM 2021

Arzneimittelinteraktionen: „Keine Verordnung ohne Kenntnis der Gesamtmedikation“

Bei der Kombination von fünf Wirkstoffen gibt es zehn mögliche Arzneimittelinteraktionen, bei acht Medikamenten sind es schon 28. Den Durchblick…

mehr
Kardiologie DGIM 2021

Coronaimpfung: Was ist bei Krebspatienten zu beachten?

Kann und soll man onkologische Patienten gegen SARS-CoV-2 impfen? Obwohl belastbare Studiendaten fehlen, lautet die Empfehlung in den meisten Fällen:…

mehr
Onkologie und Hämatologie DGIM 2021

Was die Prognose von Tumorpatienten nach ECMO beeinflusst

Kaum ein Viertel der extern beatmeten Krebspatienten überlebt 60 Tage. Entgegen der Annahme vieler Kollegen finden sich die höchsten Mortalitätsraten…

mehr
Onkologie und Hämatologie DGIM 2021

Klimaschutz in der Arztpraxis – so lässt sich der Alltag an die Folgen der Erderwärmung anpassen

Immer mehr Mediziner klären ihre Patienten über die gesundheitliche Gefahr des ­Klimawandels auf und versuchen, die Emissionen der Praxis zu…

mehr
Praxismanagement, Praxisführung DGIM 2021

Heiler und Klimaretter

Wer ist für den Klimaschutz verantwortlich? Ärzte können zwar Anstoß geben, sollten aber auf ihre Kernkompetenzen vertrauen. Ein Kommentar.

mehr
Aus der Redaktion DGIM 2021

Spondyloarthritis: Nächtlicher Aufwachschmerz im Rücken

Einer Ihrer jüngeren Patienten wacht nachts wegen Rückenschmerzen auf. Vorsicht, sie könnten das erste Zeichen einer Spondyloarthritis sein. Eine…

mehr
Rheumatologie DGIM 2021

Typ-2-Diabetes: Prävention durch Lebensstilanpassung

Trotz aller Fortschritte in der Dia­betologie: Die effektivsten Strategien zur Prävention eines Typ-2-Diabetes sind dieselben wie seit jeher. Heißt:…

mehr
Diabetologie DGIM 2021

Patienten mit Migrationshintergrund besser verstehen und Missverständnisse vermeiden

Zwischen einheimischen Ärzten und Patienten mit Migrationshintergrund kommt es immer wieder zu Missverständnissen. Mehr transkulturelle Kompetenz der…

mehr
Praxismanagement, Praxisführung DGIM 2021

 

Mythos „Männerschnupfen“: Geschlechterunterschiede in der Infektiologie

Es gibt zahlreiche Klischees darüber, wie unterschiedlich Frauen und Männer mit Krankheiten umgehen. Ganz aus der Luft gegriffen sind manche von ihnen…

mehr
Infektiologie DGIM 2021

NOAK auch bei Thrombophilie möglich

Das mitunter umständliche Hantieren mit Heparinspritzen lässt sich heute meist vermeiden: Die Therapie venöser Thrombembolien geht auch mit NOAK,…

mehr
Angiologie DGIM 2021

Dschungel-Trekking: Welche Tiere sollte man meiden?

Ihre Patienten wollen durch den Dschungel trekken. Dann ist gute Beratung gefragt, soll die Reise nicht im Desaster enden. Denn in der grünen Wüste…

mehr
Infektiologie DGIM 2021

Adipositas: So gelingt die Therapie

Zugegeben, die Adipositastherapie gestaltet sich oft schwierig. Sie wird aber auch vielen Patienten, die davon profitieren könnten, gar nicht erst…

mehr
Diabetologie DGIM 2021

Rheumatoide Arthritis in der Hausarztpraxis diagnostizieren

Die rheumatoide Arthritis kann man oft schon in der Praxis diagnostizieren – auch im Frühstadium. Anamnese, körperliche Untersuchung, Ultraschall und…

mehr
Rheumatologie DGIM 2021

Antikoagulation bei Beinvenenthrombosen im Unterschenkel?

Für proximal gelegene Thrombosen am Bein gibt es klare Behandlungsrichtlinien. An Verschlüssen im Unterschenkel dagegen arbeiten sich Experten immer…

mehr
Angiologie DGIM 2021

Antibiotika: Fünf Kritikpunkte rund um den Einsatz des Keimkillers

Nach wie vor gehören Antibiotika zu den Substanzen, die oft ohne adäquate Diagnostik oder Indikation und/oder zu lange eingesetzt werden. Ihr Risiko…

mehr
Infektiologie DGIM 2021

Fortschreiten der chronischen Niereninsuffizienz ausbremsen

Lange war der Verlauf einer chronischen Niereninsuffizienz beinahe zwangsläufig progredient. Inzwischen gibt es einige Möglichkeiten, um dieser…

mehr
Nephrologie DGIM 2021

Diagnose Klimawandel: Umweltbedingten Erkrankungen gegensteuern

Der Klimawandel macht krank. Das belegen zahlreiche Studien. Es gibt zwei Strategien, damit umzugehen: das Ausmaß eindämmen und sich an die…

mehr
Pneumologie , Kardiologie , Allergologie DGIM 2021

Hände schmerzen, kribbeln oder sind kalt – Was ist die Ursache?

Die Hand eines Patienten tut weh, kribbelt oder ist ständig kalt. Wohin schickt man ihn wann am besten? Zur Auswahl stehen unter anderem…

mehr
Rheumatologie , Angiologie , Neurologie , Orthopädie DGIM 2021

Ärzte Codex als Schutzkonzept gegen wirtschaftliche Übergriffe

2017 initiierte die DGIM den Ärzte Codex. Warum dieser bis heute keineswegs Relevanz verloren hat und an welchen Punkten die Unabhängigkeit ärztlichen…

mehr
Gesundheitspolitik DGIM 2021

Lungenkrebs-Mortalität senken – kommt bald das CT-Screening?

Ein mögliches Lungenkarzinom-Screening in Deutschland kommt ins Rollen. Derzeit läuft eine Bewertung durch das Bundesamt für Strahlenschutz. Fällt…

mehr
Onkologie und Hämatologie DGIM 2021

Hydroxychloroquin: Vom alten Malariamittel zur COVID-19-Wunderwaffe und zurück

In der Pandemie werden Studien oft mit heißer Nadel gestrickt, um rasch Resultate zu bekommen. Wissenschaftler wollen sich profilieren, die Politik…

mehr
Infektiologie DGIM 2021

Durch Zecken übertragene Krankheiten werden häufiger

Seit Beginn der Coronapandemie steigt die Zahl der von Zecken übertragenen Erkrankungen – vermutlich, weil es die Menschen in die Natur drängt.…

mehr
Infektiologie DGIM 2021

 
 
 
 
 
 
 
 
 
 
 
 
 
 
 
 
 
 
 
 
 
 
 

Wissenschaftsleugnung in der COVID-19-Pandemie

Als Studien längst schon gegen den Benefit des Malariamittels Hydroxychloroquin bei COVID-19 sprachen, befeuerten Politiker wie z.B. Trump weiter den…

mehr
Gesundheitspolitik DGIM 2021

Karriere von Ärztinnen: Vernünftiger Mutterschutz und Topsharing gefordert

Der berufliche Aufstieg ist für Ärztinnen mit Kindern mühsam – auch wegen des rigiden Mutterschutzes und unflexibler Arbeitszeiten. Der Deutsche…

mehr
Gesundheitspolitik DGIM 2021