Bei Arthropathie auch an die angeborene Hämochromatose denken

Autor: Dr. Elke Ruchalla

Klassischerweise sind die Metacarpophalangealgelenke 2 und 3 beider Hände betroffen. Klassischerweise sind die Metacarpophalangealgelenke 2 und 3 beider Hände betroffen. © fotolia/Sebastian Kaulitzki

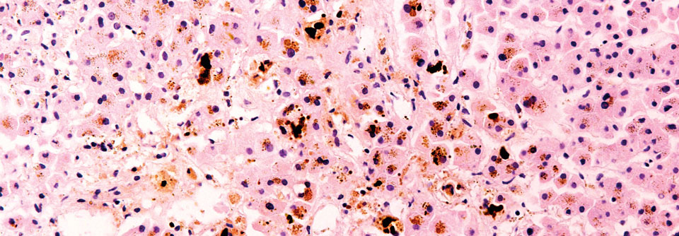
Ist es eine hereditäre Hämochromatose? Gehen Sie Ihrem Verdacht konsequent nach. Denn die frühzeitige adäquate Therapie der Eisenspeicherkrankheit sichert Ihrem Patienten nicht nur die Lebensqualität – es kann ihn auch vor schweren Endorganschäden bewahren.

Oft sind es Gelenkbeschwerden, die den Patienten wegen einer hereditären Hämochromatose zum Arzt führen. Das ist kaum verwunderlich, fallen dem Betroffenen diese Störungen im Alltag doch wesentlich eher auf als etwa eine Leberschädigung.

Eine Arthropathie liegt bei 24–81 % der Personen mit der vererbten Eisenspeicherkrankheit vor, schreibt Dr. Axel Braner von der Rheumatologischen Ambulanz am Frankfurter Universitätsklinikum. Schon dieser breite Bereich der in der Literatur genannten Zahlen deutet an, dass das Spektrum klinischer Gelenkmanifestationen als Folge der Stoffwechselstörung breit ist und dass keine einheitlichen Kriterien für die Beurteilung der Gelenkmanifestationen…

Liebe Leserin, lieber Leser, aus rechtlichen Gründen ist der Beitrag, den Sie aufrufen möchten, nur für medizinische Fachkreise zugänglich. Wenn Sie diesen Fachkreisen angehören (Ärzte, Apotheker, Medizinstudenten, medizinisches Fachpersonal, Mitarbeiter der pharmazeutischen oder medizintechnischen Industrie, Fachjournalisten), loggen Sie sich bitte ein oder registrieren sich auf unserer Seite. Der Zugang ist kostenlos.

Bei Fragen zur Anmeldung senden Sie bitte eine Mail an online@medical-tribune.de.