Bei entzündeter Fettleber mindestens 5 % abnehmen

Autor: Friederike Klein

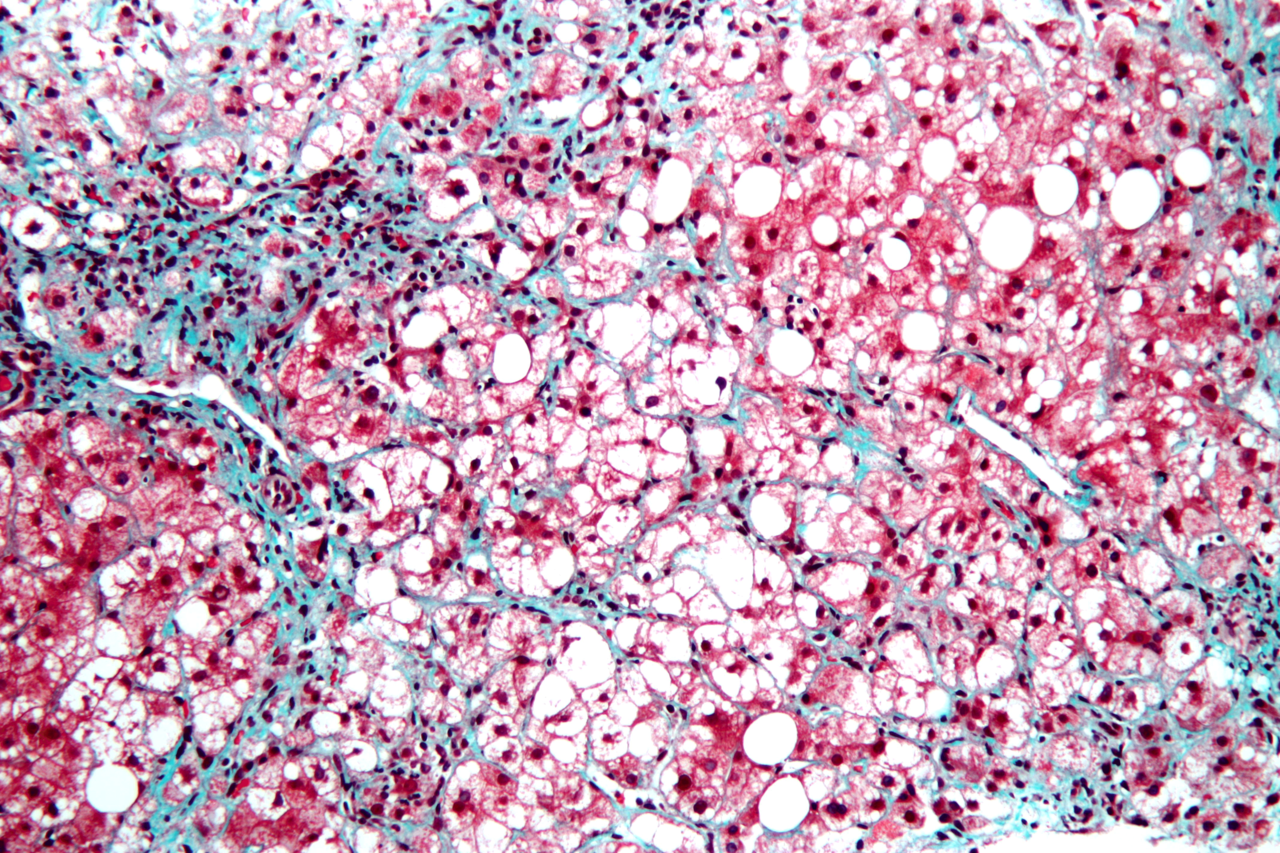
Bei der nicht-alkoholischen Steatohepatitis ist es wichtig, das eigene Körpergewicht zu reduzieren. Bei der nicht-alkoholischen Steatohepatitis ist es wichtig, das eigene Körpergewicht zu reduzieren. © wikimedia/Nephron (CC 3.0)

Entwickelt sich im Rahmen einer nicht-alkoholischen Fettleber eine Hepatitis, verschlechtert sich die Prognose deutlich. Es drohen Zirrhose, Krebs und Organversagen. Wirksame Medikamente fehlen bisher.

Die meisten Patienten mit nicht-alkoholischer Steatohepatitis (NASH) sind übergewichtig oder adipös und haben eine Dyslipidämie, einen Diabetes vom Typ 2 oder ein metabolisches Syndrom. Eine Gewichtsreduktion durch intensive Lebensstiländerungen und gegebenenfalls eine bariatrische Operation sind die einzigen Therapieempfehlungen. Es gilt, den Progress zur Zirrhose und zu einem Leberversagen zu verhindern, betonen Dr. Adam C. Sheka von der Universität von Minnesota und Kollegen in ihrer Übersichtsarbeit.

In den USA liegt die Prävalenz der NASH derzeit bei 3–6 %, bei steigender Tendenz. Schätzungsweise jeder fünfte Patient mit der Hepatitis entwickelt eine Leberzirrhose. Wahrscheinlich wird die NASH bald der Hauptgrund für eine Lebertransplantation in den USA sein, so die Prognose. Das Risiko für ein hepatozelluläres Karzinom (HCC) ist bei Patienten mit NASH zwölf Mal höher als bei Patienten mit einer nicht-inflammatorischen nicht-alkoholassoziierten Fettlebererkrankung (NAFLD): Gut jeder Zehnte mit NASH entwickelt ein Leberzellkarzinom, bei nicht-alkoholischer Fettleberkrankheit sind es weniger als 1 %. Auch NASH-Patienten ohne Zirrhose haben ein erhöhtes Risiko für den Leberzellkrebs.

Viele Betroffene haben keine oder unspezifische Symptome

Patienten mit NASH sterben entsprechend früher als solche mit einer NAFLD. Die Mortalitätsrate bei NASH beziffern die Autoren auf 25,56 pro 1000 Personenjahre ­(NAFLD: 15,44 pro 1000 Personenjahre), die leberspezifische Mortalitätsrate auf 11,77 pro 1000 Personenjahre (NAFLD: 0,77 pro 1000 Personenjahre).

Viele Patienten mit NASH haben keine oder nur unspezifische Symptome wie Fatigue oder unklare Bauchschmerzen und fallen deshalb nur zufällig bei Untersuchungen auf. Wenn sich im rechten oberen Quadranten im Bauchultraschall oder der Computertomographie eine Steatose zeigt und die Laborwerte eine Transaminasenerhöhung aufweisen, sollte eine Diagnostik in Richtung ­NAFLD oder NASH erfolgen. Bei Steatose gepaart mit Typ-2-Diabetes, Bluthochdruck, Hypertriglyzerid­ämie oder metabolischem Syndrom ist das Risiko für eine NASH erhöht.

Zur Diagnose ist nach wie vor eine Leberbiopsie notwendig, nicht-invasive Tests und Skalen sind bislang nicht als Standard etabliert. Das könnte zu einer erheblichen Unterschätzung des Problems führen, glauben Dr. Sheka und Kollegen. Als indiziert sehen sie die Biopsie bei NAFLD-Patienten mit hohem Risiko für eine Steatohepatitis aufgrund einer gleichzeitig bestehenden metabolischen Erkrankung, erhöhten Aminotransferasen und einem Alter über 60 Jahren. Die Prognose ist nicht von der Diagnose NASH abhängig, sondern vom Grad der Fibrosierung. Auch zur Verlaufskontrolle sind im Prinzip Leberbiopsien notwendig, aber wenig akzeptiert.

Suche nach einem geeigneten Wirkstoff

Versuche, eine pharmakologische Therapie der NASH zu etablieren, verliefen bislang erfolglos. Entsprechend der Komplexität der Erkrankung sind eine Vielzahl von Arzneistoffen mit ganz unterschiedlichen Ansatzpunkten in der Entwicklung. Die Wirkmechanismen reichen von der Einflussnahme auf das Mikrobiom oder der Darmpermeabilität über die Reduktion der Insulinresistenz und der fettbedingten Inflammation bis hin zur Modulation der Fibrosierung. Sechs Wirkstoffe werden derzeit in Phase-3-Studien getestet, Dutzende weitere befinden sich in Phase-2-Studien.

Primäres Therapieziel ist die Gewichtsreduktion um mindestens 5 %, besser um 10 %. Ein deutlicher Gewichtsverlust ist mit einer histologischen Verbesserung assoziiert, auch bei bestehender Fibrose. Intensive Lebensstiländerungen mit Kalorienrestriktion, Verzicht auf fruktosehaltige oder alkoholische Getränke und regelmäßige körperliche Aktivität werden empfohlen. Um die für einen Therapieeffekt notwendige Gewichtsabnahme zu erzielen und zu erhalten, kann eine bariatrische Operation sinnvoll sein. Bislang ist aber nicht die NASH eine Indikation für die OP, sondern die häufig begleitende, ausgeprägte Adipositas­.

Quelle: Sheka AC et al. JAMA 2020; 323: 1175-1183; DOI: 10.1001/jama.2020.2298

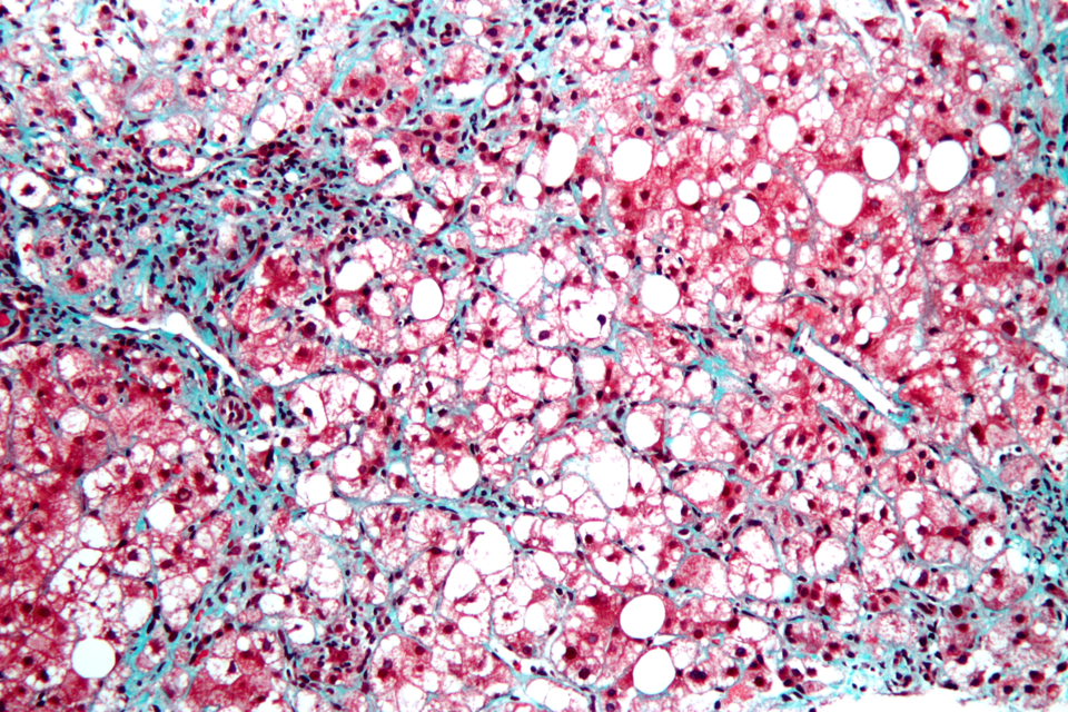
Hochvergrößerte mikroskopische Aufnahme einer Steatohepatitis Hochvergrößerte mikroskopische Aufnahme einer Steatohepatitis © wikimedia/Nephron (CC 3.0)