Chronisches Subduralhämatom Bei jungen Patienten nach Risikofaktoren fahnden

Autor: Dr. Dorothea Ranft

Eine Arachnoidalzyste kann subdurale Hämorrhagien begünstigen. Eine Arachnoidalzyste kann subdurale Hämorrhagien begünstigen. © SOPONE– stock.adobe.com

Auch junge Patienten können ein chronisches Sub­duralhämatom entwickeln. Dafür genügt sogar ein relativ banales Trauma, etwa ein Kopfstoß beim Fußball. Erhöht wird die Gefahr u.a. durch die Einnahme von NSAR. 

Als chronisch gilt ein subdurales Hämatom, wenn es sich mehr als zehn Tage nach einem Schädel-Hirn-Trauma ausbildet. Bei älteren Menschen wird seine Entwicklung durch die vorhandene Hirnatrophie begünstigt, da es bei ihnen vor allem in aufrechter Position zum Unterduck im Subduralraum kommt. Bei Jüngeren spielen eher Faktoren wie Liquorunterdruck nach Lumbalpunktion und gestörte Hämostase etwa durch Antikoagulation oder hereditäre Gerinnungsstörung eine Rolle. Auch Malformationen wie eine kraniale Arachnoidalzyste sowie Alkohol- bzw. Drogenabusus können der Hämorrhagie Vorschub leisten, schreiben Privatdozent Dr. Chris Schulz und Kollegen vom Bundeswehrkrankenhaus Ulm.

An ihrer Klinik wurden von Januar 2000 bis Juni 2017 insgesamt 526 Patienten wegen eines chronischen Subduralhämatoms operiert. 60 Patienten waren jünger als 50 Jahre und 36 von ihnen wiesen mindestens einen der o.g. Risikofaktoren auf. Unter ihnen waren auch die beiden Folgenden: 

Fall 1:

Ein 21-jähriger Soldat schluckte nach einer Zahnbehandlung eine Woche lang hochdosiert Acetylsalicylsäure und Ibuprofen. In dieser Zeit fiel er bei einem Appell in Ohnmacht und stürzte auf den Hinterkopf. Eine schwerere Verletzung schien zunächst ausgeschlossen. Allerdings entwickelte er zusätzlich Zahn- auch Kopfschmerzen, so dass er seine Analgetikadosis weiter erhöhte. Nach knapp zwei Wochen bemerkte der Mann Kribbelparästhesien am rechten Arm und in der rechten Gesichtshälfte. Daraufhin wurde er vom Truppenarzt zu den Neurologen des Ulmer Bundeswehrkrankenhauses geschickt. 

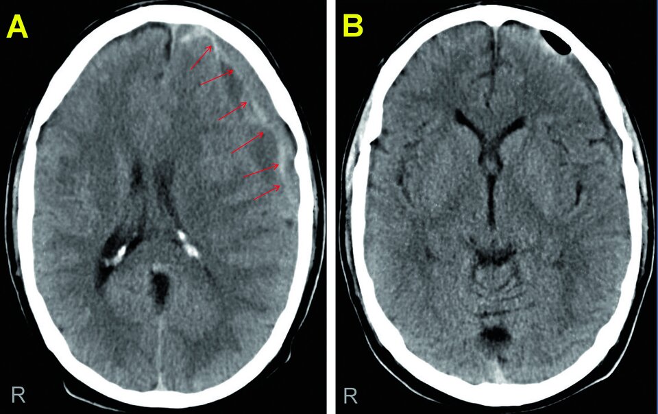
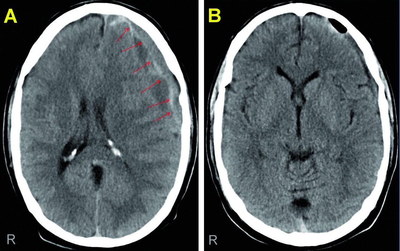
Die kraniale Computertomografie zeigte ein chronisches Subduralhämatom links frontotemporal (s. Abb. 1). In der präoperativen Gerinnungsdiagnostik fand sich passend zur Medikamentenanamnese eine aufgehobene Thrombozytenfunktion. Durch eine Bohrlochtrepanation gelang es, das Hämatom vollständig zu entleeren. Nach wenigen Tagen war der Patient wieder beschwerdefrei.  

Fall 2:

Mit rechtsseitiger Hemiparese, Aphasie und Vigilanzminderung wurde ein 43-Jähriger ins Krankenhaus eingeliefert. Die Verdachtsdiagnose zerebrale Isch­ämie bestätigte sich nicht. Stattdessen zeigte die CT ein ausgedehntes chronisches Subduralhämatom. Spuren einer Kopfverletzung waren nicht zu erkennen, die Gerinnungsdiagnostik einschließlich Thrombozytenfunktion blieb unauffällig. Auch bei diesem Patienten erfolgte die Entfernung des Hämatoms über eine Bohrlochtrepanation, was die linke Hirnhälfte deutlich entlastete. An ein relevantes Schädel-Hirn-Trauma konnte sich der Patient nicht erinnern. Die Ärzte hielten daher eine in der MRT sichtbare große Arachnoidalzyste am rechten Temporalpol für die wahrscheinlichste Ursache des Subduralhämatoms (s. Abb. 2). 

Im Kollektiv der Ulmer Kollegen dauerte es vom ersten Symptom bis zur Diagnose eines chronischen  Subduralhämatoms im Durchschnitt 17 Tage, bis zur Therapie gingen im Schnitt insgesamt 6,5 Wochen ins Land.  In ihrem Fazit betonen Dr. Schulz und seine Kollegen, dass man bei jungen Patienten mit chronischer Subduralblutung unbedingt nach einer Prädisposition für Hämatome fahnden sollte. 

Gewalt von Kopfstößen beim Fußball wird unterschätzt

Dies gelte vor allem, wenn kein Zusammenhang mit einer schweren Schädelhirnverletzung erkennbar sei. Patienten mit bekannten prädisponierenden Faktoren müssten auch nach leichten Traumata sorgfältig untersucht werden, z.B nach Kopfstößen beim Fußball. Diese würden häufig in Bezug auf die tatsächliche Gewalteinwirkung unterschätzt. Warnzeichen seien zudem persistierende oder neu auftretende Kopfschmerzen. Außerdem sollten die Risikopatienten und ihre Angehörigen über das erhöhte Risiko für die verzögerte Ausbildung eines cSDH informiert werden.

Quelle: Schulz C et al. Wehrmedizinische Monatsschrift 2022; 66: 214-223; DOI: 10.48701/opus4-21 © Beta Verlag & Marketinggesellschaft mbH, Bonn

Abb.1: Chronisches Subduralhämatom (Pfeile) mit Verdrängung der Mittellinie nach rechts (A). Die Bohrlochtrepanation  führte zu einer vollständigen Entleerung, die Falx cerebri ist wieder mittelständig (B). Abb.1: Chronisches Subduralhämatom (Pfeile) mit Verdrängung der Mittellinie nach rechts (A). Die Bohrlochtrepanation führte zu einer vollständigen Entleerung, die Falx cerebri ist wieder mittelständig (B). © Schulz C et al. Wehrmedizinische Monatsschrift 2022; 66: 214-223; DOI: 10.48701/opus4-21 © Beta Verlag & Marketinggesellschaft mbH, Bonn
Abb.2: Subduralhämatom mit massiver Verdrängung des Gehirns nach rechts in der MRT (A). Die Trepanation führte zu einer deutlichen Entlastung der linken Gehirnhälfte (B). Als Ursache zeigte sich eine große Arachnoidalzyste im Bereich des rechten Temporalpols (C). Abb.2: Subduralhämatom mit massiver Verdrängung des Gehirns nach rechts in der MRT (A). Die Trepanation führte zu einer deutlichen Entlastung der linken Gehirnhälfte (B). Als Ursache zeigte sich eine große Arachnoidalzyste im Bereich des rechten Temporalpols (C). © Schulz C et al. Wehrmedizinische Monatsschrift 2022; 66: 214-223; DOI: 10.48701/opus4-21 © Beta Verlag & Marketinggesellschaft mbH, Bonn