Charcot-Fuß: Diabetische Neuropathie fördert gefährliche Gelenkerkrankung

Autor: Dr. Anja Braunwarth

Oft kommen die Patienten viel zu spät zum Orthopäden. Oft kommen die Patienten viel zu spät zum Orthopäden. © wikimedia/Radschläger13 (CC BY-SA 4.0); wikimedia/Medicalpal (CC BY-SA 4.0)

Bei der Charcot-Arthropathie nehmen Patienten Schmerzen im betroffenen Fuß oft nicht mehr wahr. Viele gehen deshalb viel zu spät zum Orthopäden, weshalb häufig nur noch die Amputation bleibt.

Erst spürt man den Fuß nicht mehr, dann bricht er langsam zusammen: So knapp könnte man die Symptome der diabetischen neuropathischen Osteoarthropathie – kurz Charcot-Fuß – zusammenfassen. Bei dieser Erkrankung handelt es sich definitionsgemäß um eine aseptische Auflösung von Knochen und Gelenken auf dem Boden der Nervenschädigung.

Nicht-Diabetiker trifft es eher selten

Das Längs- oder Quergewölbe bricht unter Umständen komplett ein, die daraus resultierende atypische Druckbelastung erhöht wiederum die Gefahr für Ulzera, erklärte Dr. Christian­ Rapke­ von der Klinik für Orthopädie und Unfallchirurgie am Klinikum Nürnberg. Außerdem nimmt die Gelenkbeweglichkeit ab, die Fettpolster der Fußsohle dünnen aus und es bilden sich Weichteil­ödeme. Auch verkümmern die Binnenmuskeln und es kann zur Hammer-/Krallenzehen oder Luxation der Zehengrundgelenke kommen.

Sehr selten trifft die Arthropathie Blutzuckergesunde, z.B. diejenigen mit Alkoholabusus, rheumatoider Arthritis, Lues oder Eisenmangelanämie.

Zu den klinischen Zeichen gehören:

  • trockene, warme, rissige Haut mit lokaler Überwärmung
  • meist tastbare Fußpulse
  • herabgesetztes Schmerz-/Druck- und Vibrationsempfinden, Dysästhesien in Ruhe
  • Hyperkeratosen
  • Osteoporose, Osteolysen, verschwommene Gelenklinien
  • Ödem
  • ggfs. ausgestanztes Ulkus an druckbelasteter Stelle mit hyperkeratotischem Rand

Die Charcot-Arthropathie verläuft in mehreren Stadien (s. Tabelle). Bis zum Stadium II dominiert die konservative Therapie. In der frühen Phase hat die Entlastung des Fußes für mindestens drei Monate größten Stellenwert, um Knocheneinbrüche zu verhindern. Ab Stadium III kommt bei Bedarf der Chirurg ins Spiel. Seine Aufgabe ist es in erster Linie, Ulzerationen zu verhindern bzw. operativ zu sanieren.

Die Stadien der Charcot-Arthropathie
Stadium
Beschreibung
radiologische Zeichen
klinische Zeichen
0InitialstadiumRöntgen/MRT unauffälligbeschwerdefrei
IDestruktionDemineralisierungZeichen einer Entzündung, erhöhte Temperatur
IaFragmentationsphase Fragmentation, Osteolyse,
Gelenkdestruktion
Gelenkinstabilität, -deformität, zunehmende Deformität, Remineralisierung
IbLuxationsphase
IIReparationKnochenneubildungEntzündungszeichen rückläufig
IIIKonsolidierungknöcherne Fusionbleibende Deformität
IVUlkusstadiumdeformiertes Fußskelett Ulkus mit massiver Infektgefährdung
nach Eichenholtz SN. Charcot Joints; C.C. Thomas 1966

Hauptziel der Therapie: Amputation verhindern

Das Problem: Die Patienten spüren die Veränderungen wegen ihrer Neuropathie zu spät oder gar nicht. Dadurch verzögert sich die Vorstellung beim Fuß- oder Unfallchirurgen bzw. beim Orthopäden oft so lange, bis sich eine Amputation nicht mehr vermeiden lässt.

Außerdem hapert es meist an der laut Dr. Rapke unverzichtbaren interdisziplinären Zusammenarbeit in der Wundbehandlung. Und selbst wenn die klappt, wird die Weiterversorgung mit dem richtigen orthopädischen Schuhwerk versäumt. Im multiprofessionellen Setting sieht er die besten Aussichten, um die Situation der Betroffenen zu verbessern. Nur durch eine konsequente Therapie mit engem Monitoring lässt sich das Hauptziel erreichen: Amputationen vermeiden.

Quelle: Wundkongress 2019

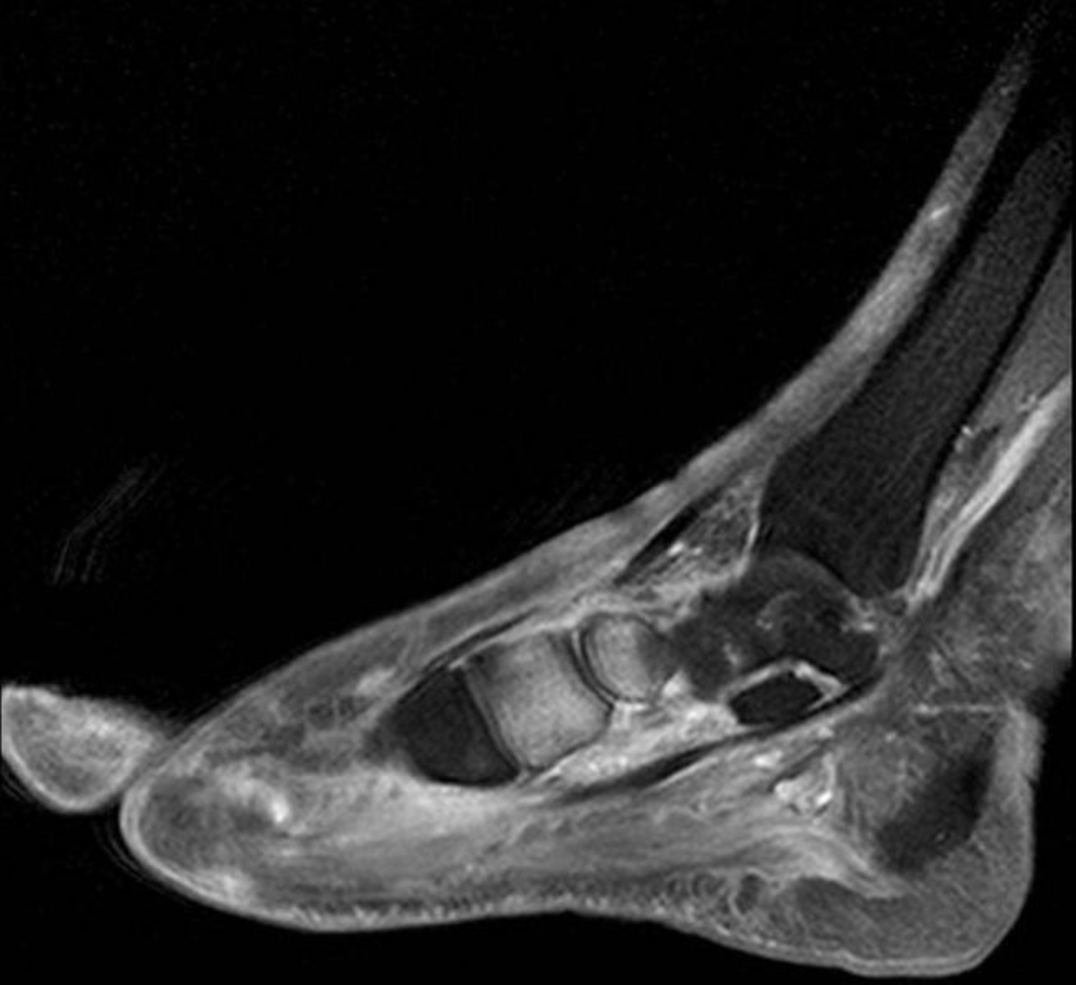
Geschwollener, schmerzunempfindlicher rechter Fuß ohne Hautverletzung bzw. Infektion bei Diabetes mellitus Geschwollener, schmerzunempfindlicher rechter Fuß ohne Hautverletzung bzw. Infektion bei Diabetes mellitus © wikimedia/Radschläger13 (CC BY-SA 4.0)
Dies ist ein Bild einer diabetischen Charcot-Fußdeformität mit einem ulzerierten Abszess. Dies ist ein Bild einer diabetischen Charcot-Fußdeformität mit einem ulzerierten Abszess. © wikimedia/Medicalpal (CC BY-SA 4.0)