Das bereitet auch dem Arzt Kopfschmerzen

Autor: Dr. Hannah Goldbach / Elisa Sophia Breuer

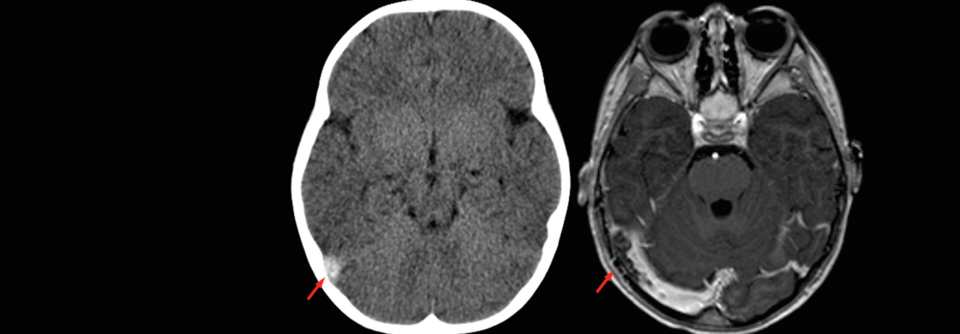
Anzeichen für eine Sinusvenenthrombose (Pfeil) sind kontinuierlich zunehmende Schmerzen und epileptische Anfälle.
Anzeichen für eine Sinusvenenthrombose (Pfeil) sind kontinuierlich zunehmende Schmerzen und epileptische Anfälle. © wikimedia/Hellerhoff

Hinter schweren Kopfschmerzen können lebensbedrohliche Erkrankungen wie Meningitis, Thrombosen oder Dissektion stecken. Dann ist rasches Handeln gefragt.

Rund 2 % der Notfallpatienten stellen sich aufgrund von Kopfschmerzen vor. Die Herausforderung dabei: Allein von dem klinischen Phänotyp lässt sich nicht auf die Ursache schließen, schreiben Privatdozent Dr. Christoph J. Schankin, Neurologische Klinik, Inselspital, Universitätsspital Bern, und Kollegen.

So ist der primäre und damit gutartige Kopfschmerz vom sekundären zu unterscheiden. In 2 % liegt eine bedrohliche Ursache wie eine intrakranielle Blutung oder eine Infektion des ZNS zugrunde. Deshalb erfordert die Diagnose „primärer Kopfschmerz“ immer den Ausschluss der sekundären Form. Insbesondere bei Migränehistorie ist dies nicht immer einfach.

Die ausführliche Anamnese beinhaltet…

Liebe Leserin, lieber Leser, aus rechtlichen Gründen ist der Beitrag, den Sie aufrufen möchten, nur für medizinische Fachkreise zugänglich. Wenn Sie diesen Fachkreisen angehören (Ärzte, Apotheker, Medizinstudenten, medizinisches Fachpersonal, Mitarbeiter der pharmazeutischen oder medizintechnischen Industrie, Fachjournalisten), loggen Sie sich bitte ein oder registrieren sich auf unserer Seite. Der Zugang ist kostenlos.

Bei Fragen zur Anmeldung senden Sie bitte eine Mail an online@medical-tribune.de.