IgG4-assoziierte Erkrankungen Die Diagnostik gleicht einem Puzzlespiel

DGIM 2022 Autor: Maria Weiß

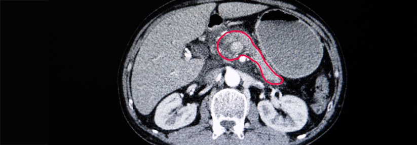
Eine eindeutige IgG4-Erhöhung im Serum zeigt sich in Europa anders als in Asien nur bei etwas mehr als der Hälfte der Patienten. Eine eindeutige IgG4-Erhöhung im Serum zeigt sich in Europa anders als in Asien nur bei etwas mehr als der Hälfte der Patienten. © iStock/jarun011

Gewichtsverlust, Abgeschlagenheit und Ikterus – hinter solchen Beschwerden kann Einiges stecken. Auch eine IgG4-assoziierte Erkrankung. Doch darauf muss man erstmal kommen.

Bei IgG4-assoziierten Erkrankungen dauert es oft lange, bis die richtige Diagnose steht. Grund für die Unsicherheit ist der uneinheitliche Organbefall mit einer Vielzahl möglicher Symptome und die mitunter ausbleibende IgG-Erhöhung, erklärte Prof. Dr. Alexander Kleger von der Klinik für Innere Medizin I am Universitätsklinikum Ulm.

Als typisches Beispiel schilderte er den Fall eines 58-Jährigen. Der Patient in gutem Allgemeinzustand klagte über Müdigkeit, Abgeschlagenheit und Appetitlosigkeit. Auffällig war sein ikterisches Hautkolorit. Über drei Monate hinweg hatte der vormals übergewichtige Mann 35 kg Gewicht verloren. Das Labor ergab einen deutlich erhöhten Bilirubinwert bei mäßig…

Liebe Leserin, lieber Leser, aus rechtlichen Gründen ist der Beitrag, den Sie aufrufen möchten, nur für medizinische Fachkreise zugänglich. Wenn Sie diesen Fachkreisen angehören (Ärzte, Apotheker, Medizinstudenten, medizinisches Fachpersonal, Mitarbeiter der pharmazeutischen oder medizintechnischen Industrie, Fachjournalisten), loggen Sie sich bitte ein oder registrieren sich auf unserer Seite. Der Zugang ist kostenlos.

Bei Fragen zur Anmeldung senden Sie bitte eine Mail an online@medical-tribune.de.