Die Vaskulitis wurde erst entdeckt, als sich die Haut der Lungenkranken auflöste

Autor: Dr. Alexandra Bischoff

Der zerstörerische Inhalt ermöglicht es 
Eosinophilen, große Parasiten abzutöten. Manchmal geht der Schuss aber nach hinten los. Der zerstörerische Inhalt ermöglicht es Eosinophilen, große Parasiten abzutöten. Manchmal geht der Schuss aber nach hinten los. © iStock.com/Dr_Microbe

Hinter einem langjährigen Asthma bronchiale kann auch eine Vaskulitis stecken. Bis diese diagnostiziert wird, vergeht jedoch meist einige Zeit, da systemische Glukokortikoide die eigentliche Ursache maskieren können.

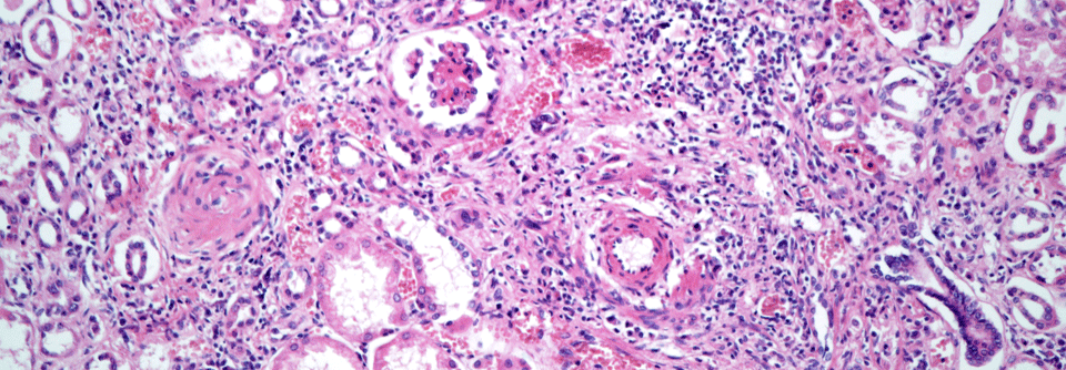
Eine 55-jährige Asthmatikerin suchte wegen chronischer Müdigkeit, Abgeschlagenheit, Myalgien und rezidivierenden Hautläsionen die Klinik für Innere Medizin des Kantonsspitals in Münsterlingen auf. Bei der klinischen Untersuchung zeigten sich neben obstruktiven Atemgeräuschen ca. 5 mm große, teilweise erhabene, livide Läsionen im Bereich der Unterschenkel, die weder schmerzhaft noch wegdrückbar waren. Im Labor fielen eine ausgeprägte Eosinophilie (11 G/l), eine Anämie (Hb 70 g/l) sowie eine humorale Entzündungsaktivität auf.

Erkrankung tritt überwiegend im mittleren Alter auf

Als die Suche nach HIV, Parasiten, einer gastrointestinalen Blutungsquelle und einer hämatologischen Neoplasie…

Liebe Leserin, lieber Leser, aus rechtlichen Gründen ist der Beitrag, den Sie aufrufen möchten, nur für medizinische Fachkreise zugänglich. Wenn Sie diesen Fachkreisen angehören (Ärzte, Apotheker, Medizinstudenten, medizinisches Fachpersonal, Mitarbeiter der pharmazeutischen oder medizintechnischen Industrie, Fachjournalisten), loggen Sie sich bitte ein oder registrieren sich auf unserer Seite. Der Zugang ist kostenlos.

Bei Fragen zur Anmeldung senden Sie bitte eine Mail an online@medical-tribune.de.