Durchblicken bei der endokrinen Orbitopathie – Thyreostatika, Antikörper oder Chirurgie?

Autor: Dr. Dorothea Ranft

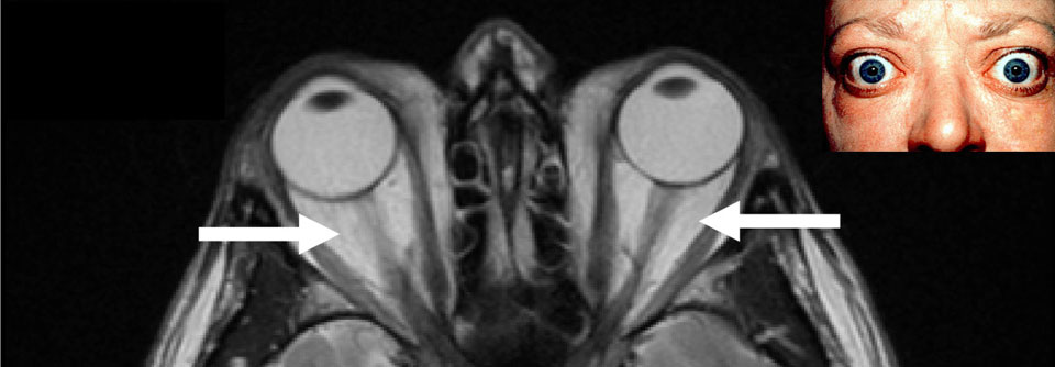
Die fortgeschrittene endokrine Orbitopathie ist gekennzeichnet durch einen Exophthalmus sowie eine Verminderung von Beweglichkeit und Sehvermögen. Therapeutisch kommt ein Eingriff infrage, in Zukunft womöglich auch ein monoklonaler Antikörper. Die fortgeschrittene endokrine Orbitopathie ist gekennzeichnet durch einen Exophthalmus sowie eine Verminderung von Beweglichkeit und Sehvermögen. Therapeutisch kommt ein Eingriff infrage, in Zukunft womöglich auch ein monoklonaler Antikörper. © Science Photo Library/Clinical Photography

Vor allem Basedow-Patienten leiden häufig an einer endokrinen Orbitopathie. Bei quälenden Symptomen sollte man nicht auf die Wirkung der Thyreostatika warten. Eine rasche antientzündliche Therapie ggf. plus Bestrahlung kann die Erkrankung in 80 % der Fälle inaktivieren.

Die endokrine Orbitopathie macht sich oft mit Schmerzen hinter dem Augapfel bzw. beim Auf-, Ab- und Seitblick bemerkbar. Objektiv fallen Entzündungszeichen wie Rötung der Augenlider und Konjunktiven sowie Chemosis und Karunkelschwellung auf. Für eine Progredienz spricht die Zunahme des Exophthalmus ebenso wie Verminderung von Beweglichkeit und Sehvermögen. Abhängig vom Ausmaß der Entzündung unterscheidet man drei Schweregrade: leicht, moderat und visusbedrohend (s. Kasten).

Bei der leichten Orbitopathie ist es unter Umständen möglich, der Progression mit Selen (200 µg/Tag) entgegenzuwirken. Rauchenden Patienten sollten Sie zudem eine Nikotinkarenz ans Herz legen, denn ohne diesen Schritt…

Liebe Leserin, lieber Leser, aus rechtlichen Gründen ist der Beitrag, den Sie aufrufen möchten, nur für medizinische Fachkreise zugänglich. Wenn Sie diesen Fachkreisen angehören (Ärzte, Apotheker, Medizinstudenten, medizinisches Fachpersonal, Mitarbeiter der pharmazeutischen oder medizintechnischen Industrie, Fachjournalisten), loggen Sie sich bitte ein oder registrieren sich auf unserer Seite. Der Zugang ist kostenlos.

Bei Fragen zur Anmeldung senden Sie bitte eine Mail an online@medical-tribune.de.