Durchfall und Verstopfung: Was sind die Ursachen?

Autor: Dr. Anja Braunwarth

Jeder fünfte Erwachsene leidet unter Verstopfung – überwiegend sind es Frauen. Jeder fünfte Erwachsene leidet unter Verstopfung – überwiegend sind es Frauen. © fotolia/petzshadow

Öfter als dreimal am Tag oder drei Tage lang überhaupt nicht: Die Definition von Diarrhö und Obstipation fällt leicht. Die Ursachensuche dagegen kann sich aufwendiger gestalten.

Bei beiden Symptomen ist es sinnvoll, zunächst zwischen akut und chronisch zu unterscheiden. Für den Durchfall gilt eine Grenze von vier Wochen, für die Obstipation von drei Monaten, schreibt Professor Dr. Rainer Schöfl vom Ordensklinikum Linz. Zur Anamnese gehören die Fragen nach Konsistenz, Beimengungen, Reisen, neuen Haustieren, Ernährung, psychischer Situation, weiteren Betroffenen, Allergien, Sport und Medikamenten.

Kohlenhydrat-Malabsorption zählt zu wichtigsten Auslösern

Akute Durchfallerkrankungen werden meist durch Toxine oder Keime ausgelöst. Schmerzen, Fieber, Blähungen, Übelkeit und Erbrechen geben oft schon Hinweise auf den Erreger, möglicher Gewichtsverlust, Kollapsneigung und Harnmenge lassen auf den Grad der Dehydratation schließen. Die Diagnostik beschränkt sich meist auf die Stuhlkultur. Je nach Dauer, Schweregrad oder aus seuchenhygienischen Überlegungen können die Bestimmung von Clostridium-difficile-Toxinen oder verschiedene PCR-Messungen die Abklärung ergänzen.

Symptome jenseits des Darms

Chronische Durchfälle werden nicht selten von weiteren Symptomen begleitet, die bei der Ursachensuche weiterhelfen. Juckreiz z.B. kann auf eine cholestatische Lebererkrankung im Rahmen einer chronisch-entzündlichen Darmerkrankung (CED) hinweisen. Für die CED sprechen auch Iridozyklitis oder Arthritis. Anale Probleme gibt es gehäuft beim M. Crohn, eine Dermatitis herpetiformis bei der Zöliakie. Trophische Störungen an Haaren, Nägeln, Haut und Schleimhäuten lassen an eine Malabsorption denken.

Als wichtigste Ursachen nennt Prof. Schöfl Kohlenhydrat-Malabsorptionssyndrome wie Laktose-, Fruktose- oder Sorbit-Intoleranz, bakterielle Fehlbesiedlung, Medikamente, exokrine Pankreasinsuffizienz oder Zöliakie. Medikamente können durch Auslassversuche ermittelt werden, Malabsorptionen durch H2-Atemtests oder Ausschlussdiäten. Besteht der Verdacht einer bakteriellen Fehlbesiedlung, kann man eine Probetherapie, z.B. mit Rifaximin 3 x 400 mg über zwölf Tage, ansetzen. Die Diagnose der exokrinen Pankreasinsuffizienz gelingt über die Messung der fäkalen Elastase, die der Zöliakie durch Antikörpermessung und Biopsie.

Intoleranz oder Entzündung? Calprotectinmessung klärt auf

Eine sekretorische Diarrhö entsteht, wenn die Mukosa aktiv Elektrolyte und Wasser in das Darmlumen abgibt. Typische Ursachen sind chronisch-entzündliche Darmerkrankungen oder die mikroskopische Colitis. Auch Durchblutungsstörungen, chronische Infektionen, Allergien und ein Gallensäureverlust-Syndrom können dahinterstecken. In der Diagnostik hat die Koloskopie größten Stellenwert, beim Gallensäureverlustsyndrom lohnt ein Test mit Cholestyramin. Hypermotile Durchfälle beruhen auf neuronalen, hormonellen oder medikamentösen Fehlsteuerungen der Peristaltik. Quantitativ wohl die größte Bedeutung hat an diesem Krankheitsbild das Reizdarmsyndrom vom Diarrhötyp. Seltener stört ein Hormonüberschuss, z.B. bei Hyperthyreose, die Darmbeweglichkeit. In der Abgrenzung von Reizdarm und Nahrungsmittelunverträglichkeiten zur echten Entzündung hilft die Calprotectinmessung weiter. Unter einer Obstipation leidet etwa jeder fünfte Erwachsene, zu 75 % sind es Frauen. Treten die Beschwerden akut auf, muss man an einen Darmverschluss denken. Ein paralytischer Ileus entsteht z.B. postoperativ, durch Pankreatitis oder Divertikulitis. Auch anale Probleme wie Fissuren/Hämorrhoiden, Elektrolytstörungen (Kalium, Kalzium) oder neurologische Erkrankungen (Bandscheibenprolaps, Insult) können zum plötzlichen Stuhlverhalt führen. In chronischen Fällen differenziert man zwei wichtige Formen. Die „Slow-Transit“-Verstopfung, die das gesamte Kolon betrifft, und die „Outlet Obstruction“ durch ein mechanisches Hindernis wie Polypen, Tumoren, Stenosen, Rektozelen oder Prolapse im Anorektalbereich. Beim Reizdarm vom Obstipationstyp mischt sich ein fluktuierender Slow Transit mit anderen Symptomen des Syndroms.

MR-Defäkographie bei Verdacht auf Rektozelen

Slow-Transit-Patienten brocken sich ihre Beschwerden oft durch den Lebensstil ein, z.B. durch ungenügende Aufnahme von Ballaststoffen oder Flüssigkeit. Manchmal verzögern autonome Polyneuropathien (Dia­betes!), Elektrolytverschiebungen, hormonelle Störungen (Hypothy­reose, M. Addison) oder neurologische Erkrankungen die Passage. In diese Kategorie fällt auch die medikamenteninduzierte Obstipation durch Opioide oder Diuretika. Diagnostisch ist eine Koloskopie unverzichtbar. Will man den Schweregrad der Verstopfung quantifizieren oder bestehen differenzialdiagnostische Unsicherheiten, rät Prof. Schöfl zur Bestimmung der Kolontransitzeit (s. Kasten). Bei Verdacht auf Rektozelen oder Beckenbodendyssynergien kommt oft eine MR-Defäkographie zum Einsatz.

Die Transitzeit messen

Um die Kolontransitzeit zu bestimmen, müssen die Patienten sechs Tage lang Kapseln mit röntgendichten Markern schlucken. Am 7. Tag wird dann eine Abdomenübersicht angefertigt. Aus der Zahl der noch verbliebenen Marker lässt sich auf die Transitzeit schließen. Normalerweise liegt sie unter 72 Stunden.

Quelle: Schöfl R. internistische praxis 2018; 59: 418-424

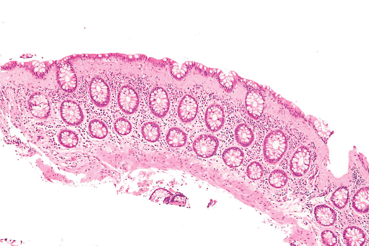
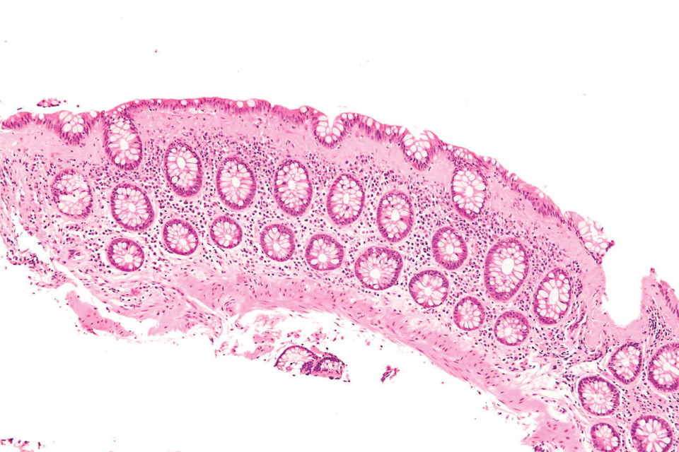
Bei der mikroskopischen Colitis tummeln sich Lymphozyten im Mukosaepithel. Ursache ist vermutlich eine Autoimmunreaktion. Bei der mikroskopischen Colitis tummeln sich Lymphozyten im Mukosaepithel. Ursache ist vermutlich eine Autoimmunreaktion. © wikimedia/Nephron