Eine Aortendissektion kann sich hinter unerwarteten Symptomen verbergen

Autor: Michael Brendler

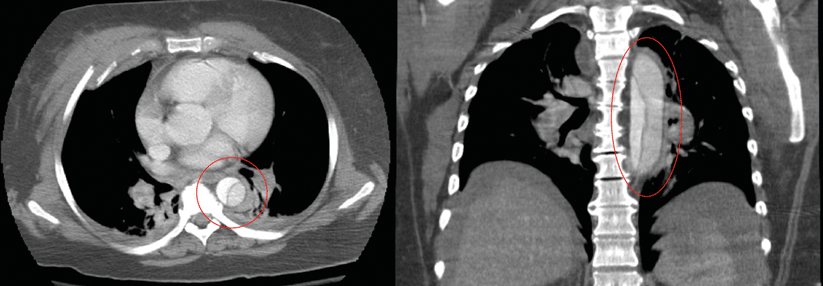
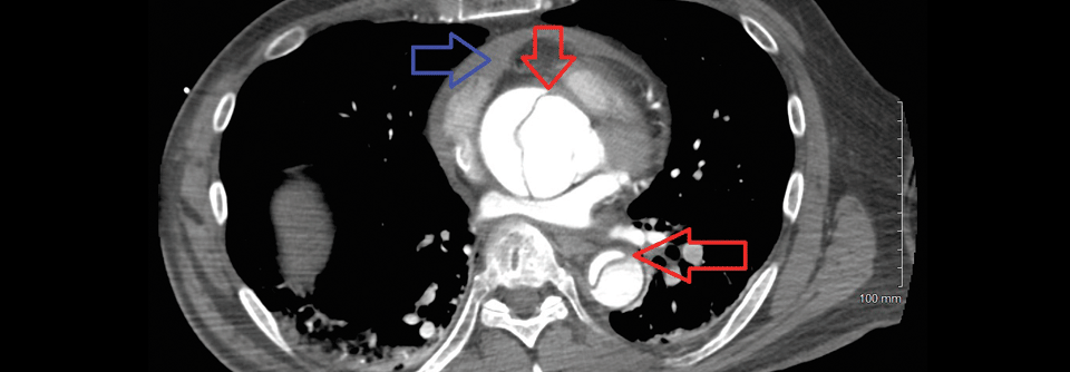
Nicht immer treten die für eine Aortendissektion typischen Zeichen auf. 1: Aorta descendens mit Dissektion. 2: Aortenisthmus. Nicht immer treten die für eine Aortendissektion typischen Zeichen auf. 1: Aorta descendens mit Dissektion. 2: Aortenisthmus. © wikimedia/Dr. Lars Grenacher (CC BY-SA 3.0)

Eine Aortendissektion wird sehr häufig übersehen. Nicht nur klassische Beschwerden, sondern auch neurologische Symptome sollten daran denken lassen.

Eine Aortendissektion wird bei 38 % der betroffenen Patienten übersehen, in 28 % der Fälle stellt man sie sogar erst nach dem Tod fest. Warum das so ist, zeigt eindrucksvoll eine Kasuistik aus einer kanadischen Notfallambulanz.

Bei der 57-jährigen Patientin sprach eigentlich alles für ein neurologisches Problem. Während der Physiotherapie war sie mit tonisch-klonischen Krämpfen zusammengeklappt. Der Anfall hatte sich auch im Krankenwagen fortgesetzt. Im Krankenhaus angekommen fiel neben einer rigiden Hyperflexion im Ellbogengelenk und der Hyperextension der linken Hüfte vor allem der niedrige Blutdruck ins Auge, berichten die Herzchirurgin Dr. Rachel Eikelboom und ihr Kollege von der…

Liebe Leserin, lieber Leser, aus rechtlichen Gründen ist der Beitrag, den Sie aufrufen möchten, nur für medizinische Fachkreise zugänglich. Wenn Sie diesen Fachkreisen angehören (Ärzte, Apotheker, Medizinstudenten, medizinisches Fachpersonal, Mitarbeiter der pharmazeutischen oder medizintechnischen Industrie, Fachjournalisten), loggen Sie sich bitte ein oder registrieren sich auf unserer Seite. Der Zugang ist kostenlos.

Bei Fragen zur Anmeldung senden Sie bitte eine Mail an online@medical-tribune.de.