Dysphagie Eosinophile Ösophagitis ohne Eos?

Autor: Maria Weiß

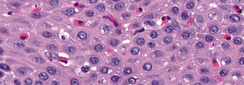
Nicht bei jeder eosinophilen Ösophagitis stößt man wie hier auf das eosinophile Infiltrat. Nicht bei jeder eosinophilen Ösophagitis stößt man wie hier auf das eosinophile Infiltrat. © Immanuel Albertinen Diakonie/endoskopiebilder.de

Bei der eosinophilen Ösophagitis sollte man sich in der Diagnostik nicht auf das eosinophile Infiltrat versteifen. Es gibt auch Formen ohne dieses Merkmal, die genauso behandelt werden müssen.

Die Symptomatik der eosinophilen Ösophagitis (EoE) ist sehr charakteristisch. Über 95 % der Betroffenen beschreiben eine ösophageale Dysfunktion, bei der feste Speisen wie Brot, Fleisch oder Reis plötzlich nicht mehr „rutschen“ wie in einem „stockenden Kolonnenstau“ erklärte Prof. Dr. Alex Straumann vom Universitätsspital Zürich. Bei über 35 % sitzt die Nahrung irgendwann in der Speiseröhre fest und muss notfallmäßig endoskopisch entfernt werden. Über die Hälfte der Patienten klagt zusätzlich über schluckunabhängige retrosternale Schmerzen. Nach endoskopischer fraktionierter Biopsie kann die Diagnose anhand typischer histologischer Veränderungen und eines eosinophilen Infiltrats gestellt…

Liebe Leserin, lieber Leser, aus rechtlichen Gründen ist der Beitrag, den Sie aufrufen möchten, nur für medizinische Fachkreise zugänglich. Wenn Sie diesen Fachkreisen angehören (Ärzte, Apotheker, Medizinstudenten, medizinisches Fachpersonal, Mitarbeiter der pharmazeutischen oder medizintechnischen Industrie, Fachjournalisten), loggen Sie sich bitte ein oder registrieren sich auf unserer Seite. Der Zugang ist kostenlos.

Bei Fragen zur Anmeldung senden Sie bitte eine Mail an online@medical-tribune.de.