Gallengangsteine unter echoendoskopischer Kontrolle entfernen

Autor: Dr. Elke Ruchalla

Der „Blick“ mit dem Echoendoskop geht mit einem Winkel von 120° schräg nach vorne. Der „Blick“ mit dem Echoendoskop geht mit einem Winkel von 120° schräg nach vorne. © Leineweber T. Hamburger Ärzteblatt 2018; 72: 30-32 © Hamburger Ärzteverlag, Hamburg

Die konventionelle endoskopische retrograde Cholangiographie mittels Duodenoskop bekommt Konkurrenz. Eine effiziente Alternative ist die Echoendoskopie. Sie bewährt sich in der Diagnostik, aber auch bei der Entfernung der Gallengangsteine.

Kleinste Steine und Sludge im Gallengang können zu unspezifischen rezidivierenden Oberbauchschmerzen führen, die teilweise uncharakteristisch sind. Zudem bleiben transabdominelle Sonographie sowie Cholestaseparameter oft unauffällig, da die mobilen Konkremente nur intermittierend zu einer Obstruktion führen. Daran ist auch bei Patienten nach einer Cholezystektomie zu denken – immerhin 10 % von ihnen entwickeln selbst Jahre nach dem Eingriff Gallengangsteine.

Früher erfolgte in dieser Situation zumeist eine endoskopische retrograde Cholangiopankreatikographie (ERCP), erläutert der Gastroenterologe Dr. Thomas Leineweber vom Helios-Mariahilf-Krankenhaus in Hamburg-Harburg. Wegen der hohen Komplikationsrate gilt das Verfahren in diesem Rahmen aber als weitgehend obsolet. Aufgrund des Risikos einer Pankreatitis sollte die Darstellung des Pankreasgangs vermieden werden.

Als diagnostischer Standard gelten heute die Magnetresonanz-Cholangiographie und die Endosonographie (EUS), die beide inzwischen Eingang in die Leitlinien der Fachgesellschaft gefunden haben.

Die Indikation zur Endosonographie kann großzügig gestellt werden, wenn bei unklaren Oberbauchbeschwerden Gastroskopie oder transabdomineller Ultraschall unauffällig bleiben.

Papillenostium darstellen und sondieren

Dies gilt auch bei normalen Cholestasewerten. Lassen sich dabei Steine nachweisen, können diese unter bestimmten Voraussetzungen im Rahmen der EUS entfernt werden. Es lohnt sich daher, die Patienten nicht nur über die Gastroskopie, sondern auch über eine gegebenenfalls notwendige retrograde Cholangiographie aufzuklären, schreibt der Kollege.

Erscheint die echoendoskopische Entfernung der Gallengangsteine möglich, wird zunächst das Papillenostium dargestellt, sondiert und Galle aus dem Gallengang aspiriert. Anschließend kann unter endoskopischer Kontrolle die Papillotomie erfolgen. Die Steine werden über den vorher in den Gallengang eingebrachten Führungsdraht mit einem Ballonkatheter, seltener mit einem Dormia-Körbchen, entfernt.

Ablauf der ERC im Video nachvollziehen

Auf seiner Webseite stellt Dr. Leineweber Abbildungen und Videos mit Fallbeispielen zum Einsatz der Endosonographie in der Gastroenterologie zur Verfügung. Sie zeigen auch den Ablauf der ERC mit dem Echoendoskop.

Wegen ihrer zahlreichen Vorteile im Vergleich zur konventionellen Cholangiographie bzw. Steinextraktion via Duodenoskop (s. Kasten) sei die Endosonographie in Zukunft noch wesentlich häufiger anwendbar, meint der Autor abschließend. Auch wenn sie keine Standardmethode bei der Entfernung von Gallengangsteinen darstelle, bestehe bei erfahrenen Untersuchern doch ein gutes Aufwand-Nutzen-Verhältnis. Ganz ersetzen werde das Verfahren die ERC per Duodenoskopie voraussichtlich nicht – dafür seien die optischen Einschränkungen des Echoendoskops zu groß.

Vorteile der endosonographischen gegenüber der konventionellen ERC

  • Durch die Methode können auch kleinste Steine oder Ventilsteine nachgewiesen werden.
  • Der Patient muss nicht vom Endoskopie- auf den Röntgen-Durchleuchtungstisch umgelagert werden.
  • Röntgenkontrastmittel ist nicht nötig, der Patient wird keiner Röntgenstrahlung ausgesetzt.
  • Das Endoskop muss nicht gewechselt werden.
  • Gallen- und Pankreasgang können vor der Papillotomie nicht-invasiv dargestellt werden. So lässt sich der Sondierungswinkel optimal anpassen.
  • Die Duplexsonographie ermöglicht vor der Papillotomie eine Einschätzung des Blutungsrisikos aus dem Papillenostium.

Quelle Text und Abb.: Leineweber T. Hamburger Ärzteblatt 2018; 72: 30-32 © Hamburger Ärzteverlag, Hamburg

Im Vergleich zum Duodenoskop (links) hat das Echoendoskop (rechts) allerdings auch einige kleine Nachteile: Der „Blick“ geht mit einem Winkel von 120° schräg nach vorne – dadurch ist eine optimale Einstellung nicht immer möglich. Zudem ist die Spitze des Geräts länger, was die Manövrierfähigkeit einschränken kann. Im Vergleich zum Duodenoskop (links) hat das Echoendoskop (rechts) allerdings auch einige kleine Nachteile: Der „Blick“ geht mit einem Winkel von 120° schräg nach vorne – dadurch ist eine optimale Einstellung nicht immer möglich. Zudem ist die Spitze des Geräts länger, was die Manövrierfähigkeit einschränken kann. © Leineweber T. Hamburger Ärzteblatt 2018; 72: 30-32 © Hamburger Ärzteverlag, Hamburg
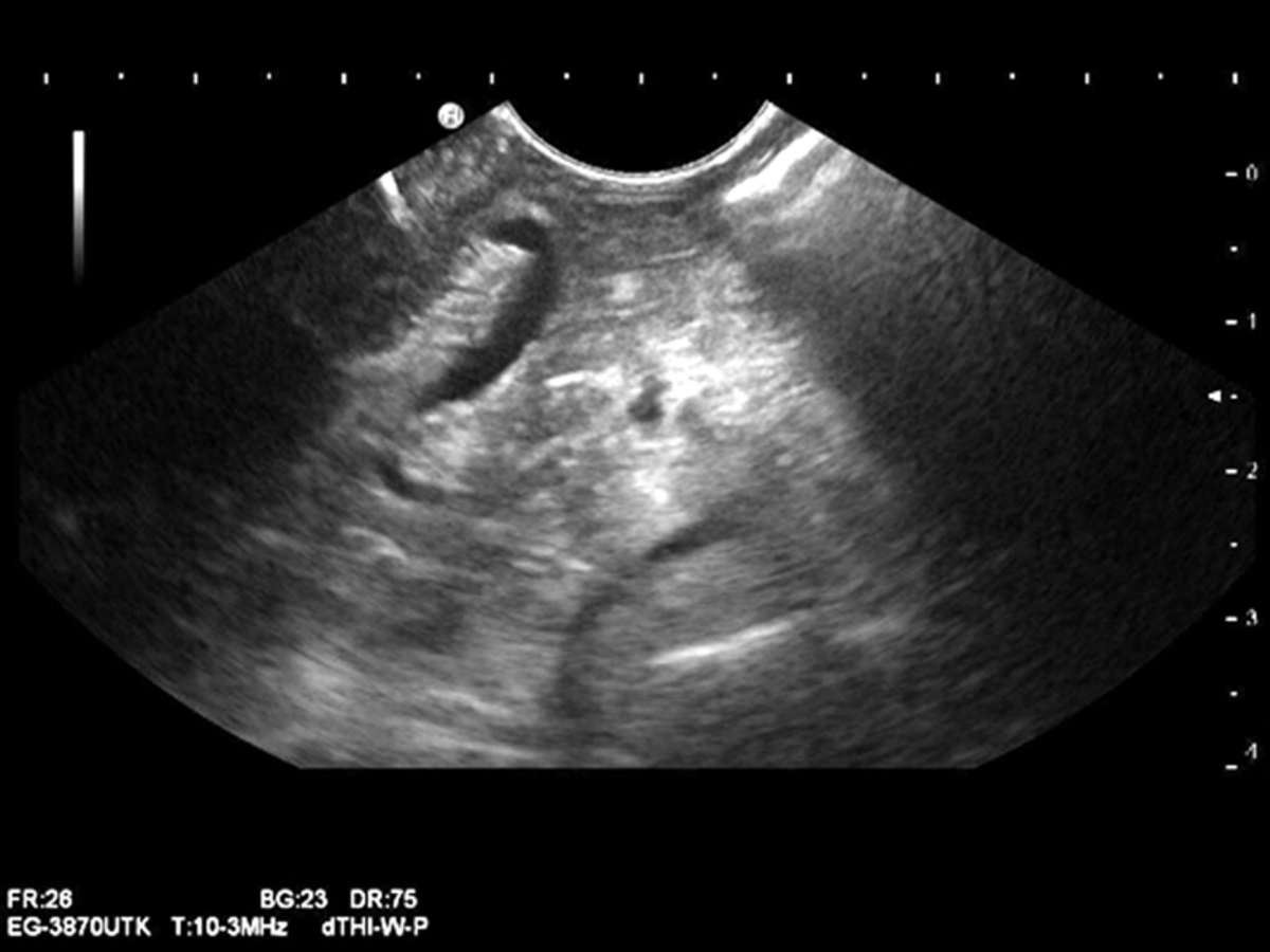
Bei der ERC mittels Echoendoskop wird die Papilla duodeni major per Papillotom sondiert und gespalten. Mit einem Draht (links oben im Bild) wird der Stein anschließend extrahiert. Bei der ERC mittels Echoendoskop wird die Papilla duodeni major per Papillotom sondiert und gespalten. Mit einem Draht (links oben im Bild) wird der Stein anschließend extrahiert. © Leineweber T. Hamburger Ärzteblatt 2018; 72: 30-32 © Hamburger Ärzteverlag, Hamburg