Gastroösophageales Adenokarzinom: Inhibitoren von HER2, Tight Junctions und FGFR getestet

Autor: Dr. Miriam Sonnet

Durch die neuen Ansätze kann die Krebstherapie noch zielsicherer werden. Durch die neuen Ansätze kann die Krebstherapie noch zielsicherer werden. © iStock/olm26250

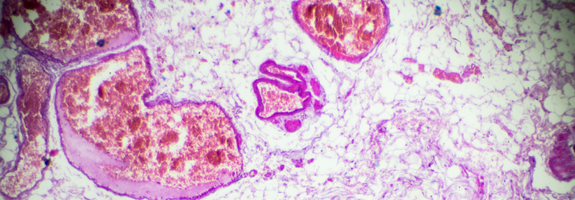
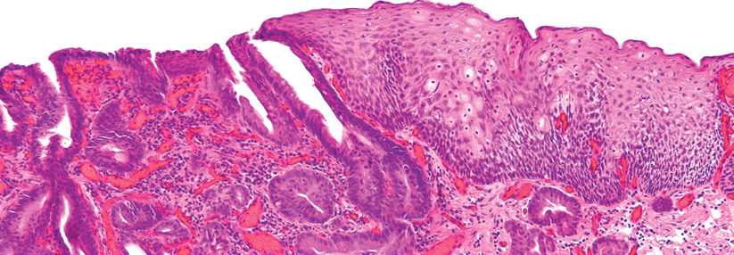
Bisher waren zielgerichtete Therapien bei gastro­ösophagealen Adenokarzinomen nur mäßig erfolgreich. Neue Substanzen – darunter FGFR-Inhibitoren und Claudin­ 18.2 – sollen das Behandlungsspektrum erweitern und die Prognose verbessern.

Die molekulare Heterogenität gastroösophagealer Adenokarzinome erschwert den Einsatz einer Präzisionsmedizin. So variieren die molekularen Alterationen oftmals zwischen Primärtumor und Metastasen – ein Grund, warum zielgerichtete Therapien bisher nur begrenzt Erfolge verzeichneten, berichtete der Onkologe Professor Dr. Andrés­ Cervantes­ von der Universität Valencia. Neue molekulare Zielstrukturen sollen dies ändern und das Behandlungsspektrum ergänzen. Sie müssen jedoch erst noch erprobt werden.

Transmembranrezeptoren

Zu den neuen Targets gehören Transmembranrezeptoren und die damit zusammenhängenden Signalwege. Für deren Blockade ist Trastuzumab, ein Anti-HER2-Antikörper,…

Liebe Leserin, lieber Leser, aus rechtlichen Gründen ist der Beitrag, den Sie aufrufen möchten, nur für medizinische Fachkreise zugänglich. Wenn Sie diesen Fachkreisen angehören (Ärzte, Apotheker, Medizinstudenten, medizinisches Fachpersonal, Mitarbeiter der pharmazeutischen oder medizintechnischen Industrie, Fachjournalisten), loggen Sie sich bitte ein oder registrieren sich auf unserer Seite. Der Zugang ist kostenlos.

Bei Fragen zur Anmeldung senden Sie bitte eine Mail an online@medical-tribune.de.