Gestörter Kalziumstoffwechsel durch Hyperparathyreoidismus

Autor: Dr. Alexandra Bischoff

Die minimalinvasive Resektion hat eine hohe Erfolgsrate und gilt als komplikationsarm. (Agenturfoto) Die minimalinvasive Resektion hat eine hohe Erfolgsrate und gilt als komplikationsarm. (Agenturfoto) © iStock/Bergringfoto

Patienten mit primärem Hyperparathyreoidismus leiden häufig unter unspezifischen Symptomen. Viele sind ständig müde, fühlen sich abgeschlagen und antriebslos. Ein Blick auf den Kalziumspiegel liefert meist den entscheidenden Hinweis.

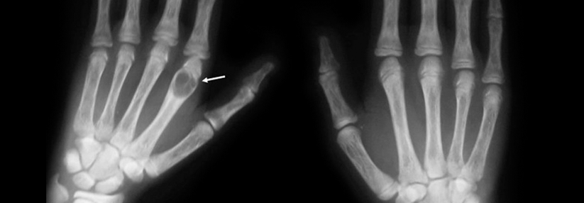
Der primäre Hyperparathyreo­idismus (pHPT) ist eine endokrine Erkrankung, bei der eine oder mehrere Nebenschilddrüsen zu viel Parathormon produzieren. Die vom Kalziumregelkreis unabhängige Produktion des Hormons führt zur vermehrten Resorption des Minerals aus dem Darm sowie zur Knochendemineralisation, was sich letztlich im Anstieg der Kalziumkonzentration im Blut zeigt.

Vor allem Frauen in der Postmenopause betroffen

Die Prävalenz der Erkrankung steigt bei beiden Geschlechtern mit zunehmendem Alter an und manifestiert sich insbesondere bei postmenopausalen Frauen im Alter zwischen 50 und 79 Jahren, schreiben Dr. ­Roswitha ­Köberle von der Klinik für Allgemein-, Viszeral-, Gefäß- und…

Liebe Leserin, lieber Leser, aus rechtlichen Gründen ist der Beitrag, den Sie aufrufen möchten, nur für medizinische Fachkreise zugänglich. Wenn Sie diesen Fachkreisen angehören (Ärzte, Apotheker, Medizinstudenten, medizinisches Fachpersonal, Mitarbeiter der pharmazeutischen oder medizintechnischen Industrie, Fachjournalisten), loggen Sie sich bitte ein oder registrieren sich auf unserer Seite. Der Zugang ist kostenlos.

Bei Fragen zur Anmeldung senden Sie bitte eine Mail an online@medical-tribune.de.