Gutartig oder nicht? Nebennierentumoren richtig einordnen

Autor: Dr. Andrea Wülker

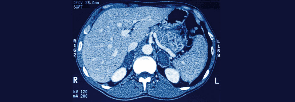
Benigne, aber problematisch: Diese Adenome bildeten Kortisol im Übermaß. Der Patient litt unter einem Cushing-Syndrom. Benigne, aber problematisch: Diese Adenome bildeten Kortisol im Übermaß. Der Patient litt unter einem Cushing-Syndrom. © Science Photo Library/CNRI

Raumforderungen in den Nebennieren entdeckt man meist als Zufallsbefund. Ob der Tumor heraus operiert werden muss, sollte interdisziplinär diskutiert und entschieden werden.

Nebennierentumoren können entweder direkt von der Nebenniere ausgehen oder Metastasen eines anderen Primärtumors sein. Haben sie eine gewisse Größe erreicht, machen sie sich mitunter durch Flankenschmerzen oder abdominelle Symptome bemerkbar. Manche Nebennierentumoren fallen auf, weil sie übermäßig Hormone produzieren und Bluthochdruck oder andere Folgen nach sich ziehen. Doch die allermeisten werden zufällig bei einer aus anderem Grund veranlassten abdominellen Bildgebung gefunden („Inzidentalome“), schreiben Professor Dr. Robert­ Rosenberg­ vom Kantonsspital Baselland, Liestal, und Kollegen.

Die meisten adrenalen Inzidentalome sind benigne und nicht hormonaktiv. Sie beeinträchtigen…

Liebe Leserin, lieber Leser, aus rechtlichen Gründen ist der Beitrag, den Sie aufrufen möchten, nur für medizinische Fachkreise zugänglich. Wenn Sie diesen Fachkreisen angehören (Ärzte, Apotheker, Medizinstudenten, medizinisches Fachpersonal, Mitarbeiter der pharmazeutischen oder medizintechnischen Industrie, Fachjournalisten), loggen Sie sich bitte ein oder registrieren sich auf unserer Seite. Der Zugang ist kostenlos.

Bei Fragen zur Anmeldung senden Sie bitte eine Mail an online@medical-tribune.de.