Hämorrhagische Cholezystitis oft als Appendizitis fehlgedeutet

Autor: Kathrin Strobel

Eine Cholezystektomie erhöht bei aktiver Entzündung das Risiko für Komplikationen. Eine Cholezystektomie erhöht bei aktiver Entzündung das Risiko für Komplikationen. © iStock.com/marvinh

Schmerzen im Oberbauch, Übelkeit und Obstipation – hinter diesen Symptomen kann eine hämorrhagische Cholezystitis stecken.

Eine 65-jährige Patientin klagt über Schmerzen im Oberbauch, Übelkeit und Obstipa­tion. Die Kollegen in einer englischen Notaufnahme vermuten zunächst eine akute Appendizitis. Mit stechenden Schmerzen und Druckempfindlichkeit in der Darmbeingrube stellt sich ein weiterer Patient vor. Der 87-Jährige leidet unter COPD, eine Appendektomie hat er bereits hinter sich. Da die Bauchschmerzen von produktivem Husten begleitet werden, werten die Ärzte seine Symptome anfangs als COPD-Schub und behandeln den Herren entsprechend. In beiden Fällen sind die Leukozyten zumindest leicht erhöht und ist die Leberfunktion beeinträchtigt. Der Mann hat zusätzlich eine makrozytäre Anämie.

Eine hämorrhagische Gallenblasenentzündung zu erkennen, ist nicht trivial, erklären Munir­ Tarazi­ vom Department of General Surgery des Tunbridge Wells Hospital im englischen Tunbridge Wells und seine Kollegen. So sind die Symptome auf den ersten Blick häufig irreführend und die Cholezystitis mit klassischen bildgebenden Verfahren oft nur schlecht darzustellen. Im CT lässt sich die ggf. verdickte Wand der geblähten Gallenblase erkennen und das Blut im Inneren wird als heterogene Masse sichtbar. Im Ultraschall erscheint das Blut als echoreiche Region.

Antikoagulanzien gelten als potenzielle (Mit-)Verursacher

So war es auch bei den zwei beschriebenen Patienten: Erst CT und Ultraschall offenbarten die akute Hämorrhagie in der Gallenblase. Da die Cholezystektomie bei aktiver Entzündung das Risiko für Komplikationen erhöht, kann eine perkutane Cholezystostomie angezeigt sein – auch wenn diese Studien zufolge oft weniger effektiv ist. Als Alternative nennen die Autoren die konservative Behandlung mit Antibiotika. Antikoagulanzien sollten die Patienten absetzen. Denn diese werden als potenzielle (Mit-)Verursacher der hämorrhagischen Cholezystitis gehandelt.

Intravenöse Antibiotika und perkutane Cholezystostomie

Tatsächlich war bei 45 % der in der Literatur besprochenen Fälle eine antikoagulative Therapie mit im Spiel – auch bei den Patienten aus England, die beide Warfarin eingenommen hatten. Als weitere mögliche Risikofaktoren werden chronische Niereninsuffizienz, Gallenblasenneoplasien, Hämophilie, Vaskulitiden und Steroid­einnahme diskutiert.

Die beiden Patienten aus dem Beispiel kamen mit einem blauen Auge davon. Im Falle des 87-Jährigen führte das Team der Autoren eine perkutane Cholezystostomie durch, bei der sie 300 ml Blut absaugen konnten. Unter intravenöser Antibiose erholte sich der Mann vollständig. Die Dame erhielt vorerst nur Antibiotika und konnte das Krankenhaus fünf Tage später verlassen. Die Cholezystektomie erfolgte elektiv zu einem späteren Zeitpunkt.

Quelle: Tarazi M et al. J Surg Case Rep 2019: rjy360

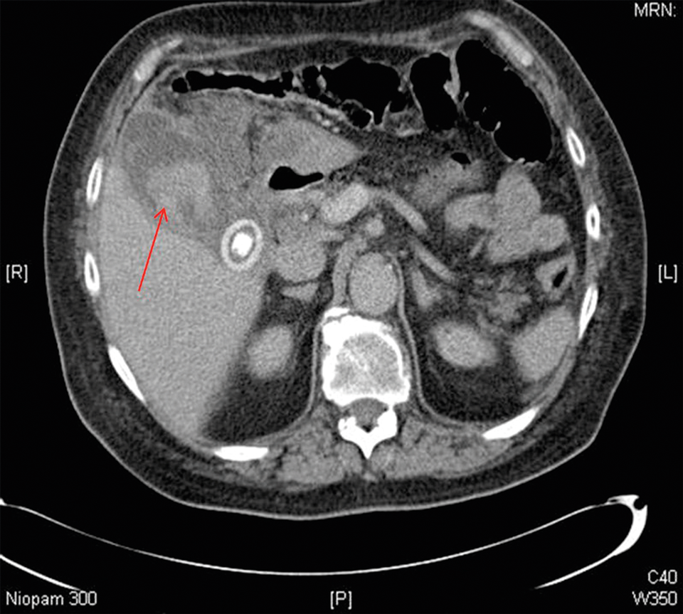
Es ist nicht die Leber, die blutet: Die Hämorrhage befindet sich in der geblähten Gallenblase und ist als heterogene Masse zu erkennen. Zusätzlich sind Wandverdickungen auf dem CT sichtbar (roter Pfeil). Es ist nicht die Leber, die blutet: Die Hämorrhage befindet sich in der geblähten Gallenblase und ist als heterogene Masse zu erkennen. Zusätzlich sind Wandverdickungen auf dem CT sichtbar (roter Pfeil). © Tarazi M et al. J Surg Case Rep 2019: rjy360