Stressfrakturen Höchstleistung auf Biegen und Brechen

Autor: Dr. Melanie Söchtig

Ein Vitamin-D-Screening ist insbesondere bei
Risikosportarten sinnvoll. Ein Vitamin-D-Screening ist insbesondere bei Risikosportarten sinnvoll. © Chinnapong- stock.adobe.com

Stressfrakturen treten typischerweise bei sportlich aktiven Menschen auf – häufig bereits in jungen Jahren. Verschiedene Faktoren beeinflussen das Risiko, darunter neben Sportart und Geschlecht auch die Versorgung mit Mikronährstoffen.

Im Gegensatz zu Insuffizienzfrakturen, die auf eine Grundkrankheit wie Osteoporose zurückzuführen sind, entstehen Stressfrakturen an gesunden Knochen infolge einer dauerhaften Überlastung. In etwa 70 % der Fälle handelt es sich bei den Patienten um Leistungssporttreibende, meist bereits im Alter von unter 25 Jahren. Dabei können Hobbysportler ebenso betroffen sein wie Profis – das Verhältnis beträgt rund 1:2.

Bestimmte Sportarten scheinen für Stressfrakturen zu prädestinieren, schreiben Prof. Dr. ­Beat ­Knechtle vom Institut für Hausarztmedizin der Universität Zürich und Kollegen. So ging beispielsweise aus den Daten von mehr als elf Millionen College-Athleten in den USA hervor, dass Stressfrakturen öfter bei Frauen auftreten sowie gehäuft bei den Sportarten Crosslauf (Geländelauf), Gymnastik, Leichtathletik, Basketball und Hallenleichtathletik. Unter den Männern häuften sich die Ereignisse nur im Zusammenhang mit Crosslaufen. In einer weiteren Studie mit knapp 15.000 Sporttreibenden verteilten sich die aufgetretenen Frakturen folgendermaßen: Basketball (21,3 %), Baseball (13,7 %), Leichtathletik (11,4 %), Rudern (9,5 %), Fußball (8,4 %), Aerobic (5,3 %) und klassisches Ballett (4,9 %).

Zu den wichtigsten intrinsischen Risikofaktoren zählt eine geringe Knochendichte. Hiervon sind insbesondere Menschen betroffen, die intensiv Ausdauersport (z.B. Laufen, Radfahren, Schwimmen) treiben, im Gegensatz zu Kraft- und Ballsportarten. Ihre Knochendichte kann sogar niedriger sein als die von körperlich inaktiven Menschen.

„Athletische Triade“ macht Knochen anfälliger

Dass Frauen generell ein höheres Risiko für Stressfrakturen tragen als Männer, könnte unter anderem an einer geringeren Knochendichte aufgrund niedriger Vitamin-D- oder Kalziumspiegel liegen. Zudem laufen Frauen mittlerweile auch im Breitensport Gefahr, eine sogenannte „athletische Triade“ zu entwickeln, bei der Stressfrakturen gehäuft auftreten. Dabei handelt es sich um ein Zusammentreffen von Menstruationsstörungen, gestörtem Essverhalten sowie Osteopenie bzw. Osteoporose. Durch den erhöhten Energieverbrauch und/oder die verminderte Energiezufuhr kommt es zu einer Abnahme des Östrogens und Veränderungen im Knochenstoffwechsel, was einen Verlust der Knochenmasse nach sich ziehen kann.

Auch hinsichtlich des Fraktur­mus­ters weisen weibliche Patienten Besonderheiten auf. So wurde bei ihnen ein gehäuftes Auftreten von Beckenfrakturen festgestellt. Dies betraf insbesondere Langstreckenläuferinnen. Andere Sportarten scheinen sich hingegen günstig auf die Knochendichte des Beckens auszuwirken. So war beispielsweise bei Eiskunstläuferinnen eine erhöhte Knochendichte im Bereich des Beckens und der Beine zu verzeichnen. Dies ist vermutlich durch die harten Landungen auf den Füßen nach Sprungfiguren bedingt.

Die extrinsischen Risikofaktoren für Stressfrakturen umfassen unter anderem eine geringe Aufnahme von Vitamin D und/oder Kalzium. Grundsätzlich sollte bei Erwachsenen ohne Symptome auf  die routinemäßige Bestimmung des Vitamin-D-Spiegels verzichtet werden, für Sporttreibende ist diese allerdings ratsam. Die Autoren empfehlen einen Mindestwert von 32 ­ng/ml (80 nmol/l) oder besser noch 40 ng/ml (100 nmol/l) 25(OH)D. Die Überprüfung sei insbesondere bei Ausübung einer Sportart, die mit einem erhöhten Risiko für  Stressfrakturen einhergeht, sinnvoll.

Bislang konnte kein eindeutiger Nutzen einer erhöhten Kalzium- und Vitamin-D-Zufuhr zur Prävention von Stressfrakturen belegt werden. Jedoch führte in einer randomisierten Studie mit über 5.000 Militär­rekrutinnen die Zufuhr von 2.000 mg Kalzium und 800 IU Vit­amin D zu einer um 21 % geringeren Inzidenz von Stressfrakturen. Aufgrund dieser und ähnlicher Beobachtungen stellt sich die Frage, ob Sporttreibende generell Vitamin D supplementieren sollten, damit ein Mangel gar nicht erst auftritt.

Gezieltes Krafttraining stärkt das Skelett

Eine weitere Möglichkeit zur Prävention von Stressfrakturen könnte gezieltes Krafttraining darstellen. Dabei wird nicht nur der Muskel-, sondern auch der Knochenstoffwechsel angekurbelt, was zum Erhalt der Knochenmasse beiträgt. Ein Training zur Stärkung der Rücken- und Oberschenkelmuskulatur kann etwa die Knochenmasse im Bereich von Wirbelsäule und Schenkelhals erhalten. Evidenz hierfür findet sich unter anderem in einer prospektiven Studie mit gesunden Frauen in der Postmenopause. Studienteilnehmerinnen, die zwei Jahre lang ein Training zur Stärkung der Rückenmuskulatur absolvierten, hatten acht Jahre danach nicht einmal halb so viele Wirbelfrakturen wie die Kontrollgruppe.

Quelle: Knechtle B et al. Swiss Med Forum 2022; 22: 503-506;  DOI: 10.4414/smf.2022.09000

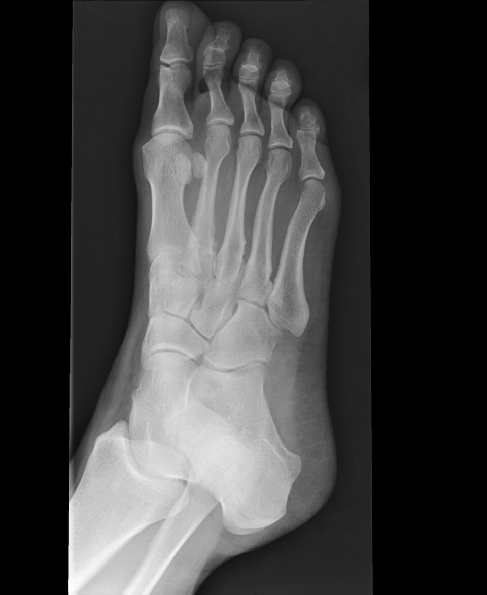
Stressfraktur des 2. Mittelfußknochens: Vor allem Läufer und Turner tragen ein erhöhtes Risiko.
Stressfraktur des 2. Mittelfußknochens: Vor allem Läufer und Turner tragen ein erhöhtes Risiko. © Science Photo Library / Marazzi, Dr. P.