Hypertonie: Renale Denervierung macht Eindruck

Autor: Dr. Andrea Wülker

Der Katheter verödet die sympathischen Nervenfasern mittels Ultraschall (rote Kreise). Der Katheter verödet die sympathischen Nervenfasern mittels Ultraschall (rote Kreise). © ReCor Medical. Inc., Medtronic GmbH

Mittels renaler Denervierung soll der Druck bei therapieresistenter Hypertonie sinken. Bisher überzeugte das Verfahren kaum. Zwei aktuelle Studien mit verändertem Design und neuen Kathetern lassen jetzt wieder hoffen.

Die beiden Studien, deren Ergebnisse mit Spannung erwartet wurden, schlossen unterschiedliche Patientenpopulationen ein. An der internationalen, randomisierten und einfach verblindeten Proof-of-concept-Studie SPYRAL HTN-ON MED des Teams um Dr. David E. Kandzari vom Piedmont Heart Institute in Atlanta nahmen bislang 467 Menschen mit unkontrollierter Hypertonie im Alter von 20–80 Jahren teil, die erste Analyse erfasste 80 von ihnen.1

Die in der Praxis gemessenen systolischen Blutdruckwerte lagen zwischen 150 und 180 mmHg, die diastolischen bei mindestens 90 mmHg. In der 24-Stunden-Messung musste der systolische Wert zwischen 140 und 170 mmHg betragen und die Patienten mussten seit mindestens sechs Wochen auf ein bis drei blutdrucksenkende Medikamente in stabilen Dosierungen eingestellt sein. Die Teilnehmer unterzogen sich alle einer Angiographie, anschließend erhielten sie randomisiert entweder eine renale Denervierung (RDN) mittels Radiofrequenzablation oder eine Scheinbehandlung. Primärer Endpunkt war die Veränderung der Blutdruckwerte. Anhand von Bluttests überprüften die Untersucher, wie zuverlässig die Antihypertensiva­einnahme erfolgte.

Nach sechs Monaten wiesen die RDN-Patienten eine signifikant bessere Blutdrucksenkung auf als diejenigen aus der Kontrollgruppe. In der ambulanten 24-Stunden-Messung wurde nach RDN eine Senkung des Blutdrucks um 9,0/6,0 mmHg und bei den Scheinbehandelten um 1,6/1,9 mmHg beobachtet. Die Praxiswerte minderten sich durch die RDN um durchschnittlich 9,4/5,2 mmHg, im Kontrollkollektiv um 2,6/1,7 mmHg. In beiden Gruppen gab es keine gravierenden unerwünschten Ereignisse.

In der zweiten internationalen, randomisierten und einfach verblindeten Studie RADIANCE-HTN SOLO setzten die Studienärzte um Dr. Michel Azizi von der Université Paris-Descartes, eine andere RDN-Technik ein und denervierten mittels endovaskulärem Ultraschall.2 Dafür rekrutierten sie Patienten im Alter von 18–75 Jahren mit kombiniertem systolisch-diastolischem Hochdruck, die während der Untersuchung keine Medikamente für diese Indikation einnehmen durften.

Antihypertensiva-Verbot galt vor und nach der Intervention

Die ambulant gemessenen Blutdruckwerte der Teilnehmer mussten zwischen 135/85 mmHg und 170/105 mmHg betragen und die Nierenarterien anatomisch für eine RDN geeignet sein. Erhielten die Hypertoniker vorher bis zu zwei Antihypertensiva, gab es zunächst eine vierwöchige Auswaschphase. Primärer Endpunkt war die Veränderung des ambulant gemessenen Blutdrucks nach zwei Monaten. Während der zweimonatigen Nachbeobachtungszeit durften die Teilnehmer keine Antihypertensiva einnehmen – Ausnahmen gab es nur, wenn bestimmte Blutdruckkriterien überschritten wurden. Zur Auswertung kamen die Daten von 146 Patienten, 74 bekamen die RDN, 72 die Scheinbehandlung.

Nach zwei Monaten war der durchschnittliche ambulant gemessene systolische Blutdruck in der RDN-Gruppe um 8,5 mmHg gesunken, in der Kontrollgruppe dagegen nur um 2,2 mmHg. Schwere unerwünschte Wirkungen traten in beiden Kollektiven nicht auf.

Ob der Effekt anhält, muss sich erst zeigen

Ist die renale Denervierung damit schon reif für einen breiten klinischen Einsatz? Wohl eher nicht. Kommentatoren der beiden Studien erkennen zwar an, dass sowohl SPYRAL HTN-ON MED als auch RADIANCE-HTN SOLO Anlass zu Optimismus geben.3,4 Aber sie betonen auch, dass es noch viel zu tun gibt: Beispielsweise müsse geklärt werden, ob der blutdrucksenkende Effekt der RDN von Dauer ist und das Verfahren sich auch langfristig als sicher erweist. Außerdem müssten diejenigen Hypertoniker identifiziert werden, die davon am meisten profitieren. Schließlich sei zu prüfen, ob die dadurch erzielte Blutdrucksenkung Herz, Hirn und Nieren schützt und die kardiovaskuläre Morbidität und Mortalität senkt. 

1. Kandzari DE et al. Lancet 2018; online first
2. Azizi M et al. A.o.O.
3. Blankestijn PJ, Bots ML. A.o.O.
4. Kjeldsen SE et al. A.o.O.

Dieses Gerät nutzt vier Elektroden (gelb) mit Hochfrequenzstrom. Dieses Gerät nutzt vier Elektroden (gelb) mit Hochfrequenzstrom. © ReCor Medical. Inc., Medtronic GmbH
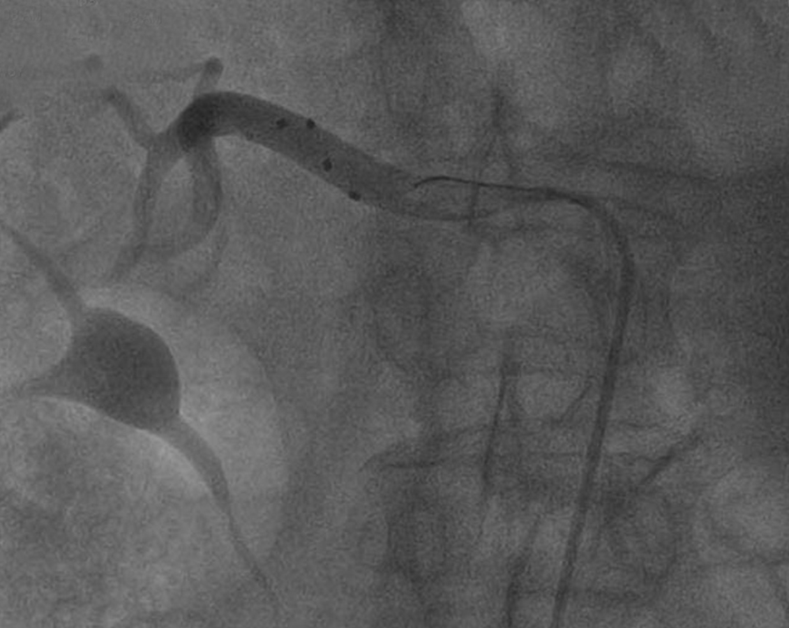
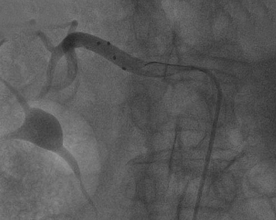
Radiofrequenz­ablation in Aktion: Die schwarzen Punkte sind die vier Elektroden. Radiofrequenz­ablation in Aktion: Die schwarzen Punkte sind die vier Elektroden. © Medtronic GmbH