Inkarzeration erkennen und bei Bauchschmerzen auch an innere Hernien denken

Autor: Dr. Angelika Bischoff

Leistenhernien gehören mit zu den häufigsten „Brüchen“. Leistenhernien gehören mit zu den häufigsten „Brüchen“. © iStock/PhotoGraphyKM

Eine äußere Hernie zu untersuchen bereitet meist keine Probleme. Mit der Zunahme laparoskopischer Eingriffe müssen Sie bei unklaren Bauchschmerzen aber auch immer häufiger einen inneren Weichteilbruch im Blick haben. Dann gilt es, die CT-Indikation großzügig zu stellen.

Die häufigsten „Brüche“ sind mit 80 % Leisten-, Hoden- und Schenkelhernien. Sie lassen sich relativ einfach diagnostizieren, weil sie sich meist sichtbar vorwölben, erklärte Dr. Ute Gunzenhäuser, Chirurgin an der Filderklinik, Filderstadt-Bonlanden. Die Betroffenen berichten über ziehende oder stechende Schmerzen im Bereich des Bruchs, die in die Umgebung ausstrahlen. Bei der klinischen Untersuchung achtet man darauf, ob die Hernie weich und reponibel ist. Befindet sich eine Darmschlinge im Bruchinhalt, lassen sich mit dem Stethoskop oft Darmgeräusche hören.

Draufdrücken und Patienten pressen oder husten lassen

Der Zustand des prolabierten Darmabschnitts – z.B. eingeklemmt oder nicht – lässt sich sonographisch beurteilen. Auf eine Inkarzeration weisen verdickte Darmwand, freie Flüssigkeit und eine kollabierte Darmschlinge hin. Als weiteres Indiz gilt die Druckdolenz der Vorwölbung, die sich durch Pressen oder Husten verstärken kann. Häufig leidet der Patient mit inkarzerierter Hernie unter Übelkeit, Erbrechen und starken Bauchschmerzen mit Abwehrspannung.

Notfallmäßig operiert werden muss, wenn der Weichteilbruch zum Ileus geführt hat oder die Durchblutung der Darmschlinge unterbrochen ist. Auf eine gestörte Blutzufuhr weisen Rötung oder Überwärmung über der Hernie hin. Auskultatorisch fehlen Darmgeräusche, wenn die Inkarzeration bereits fortgeschritten ist. Beim Darmverschluss kann der Rückstau zu Stuhlerbrechen führen. Schwieriger als die äußeren sind innere Hernien zu erkennen, da ihre Bruchpforten im Bauchraum verborgen liegen. Mit der zunehmenden Zahl an laparoskopischen Operationen werden auch die inneren Hernien häufiger. Lücken für die Darmschlingen können demnach entstehen

  • am Treitz’schen Band,
  • an Trokareintrittsstellen,
  • wenn das Mesenterium nach einer Darmresektion nicht komplett verschlossen wird.

Man sollte das Mesenterium besser gar nicht zunähen, zumal eine 15–20 cm große Öffnung keine Probleme machen dürfte, erklärte Dr. Gunzenhäuser. Sie hält es für viel schlimmer, wenn kleine Lücken resultieren oder neu entstehen, weil die Naht aufgeht. Ein hoher Bauchdruck, wie ihn adipöse Patienten aufweisen, begünstigt innere Hernien. Im Hinblick auf die steigende Anzahl bariatrischer Operationen kann dieses Risiko durchaus relevant werden, warnte die Kollegin.

Um zu klären, ob ein innerer Weichteilbruch Ursache von Bauchschmerzen ist, helfen weder klinische Untersuchung noch Laborwerte weiter. Bei entsprechenden Beschwerden muss man daher stets die Möglichkeit einer Hernie im Blick haben und frühzeitig und großzügig die Indikation für eine CT stellen. Ist auch deren Befund nicht wegweisend, führt bei persis­tierenden Beschwerden kaum ein Weg an einer explorativen Laparoskopie vorbei.

Netzbeschichtung verhindert ein Verkleben mit dem Darm

Häufig kann der in eine Hernie prolabierte Darm wieder reponiert werden und erholt sich. Rutscht er aber wiederholt rein, kann man die Bruchpforte mit einem beschichteten Netz verschließen (intraperitoneales Onlay-Mesh, IPOM). Dieses Netz ist zum Peritoneum hin so beschichtet, dass es nicht mit dem Darm verkleben kann. 

Kongressbericht: 53. Ärztekongress der Bezirksärztekammer Nord-Württemberg

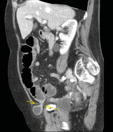
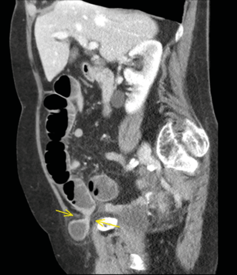
Typisches CT einer inkarzerierten Leistenhernie (Pfeil). Die Einklemmung hat schon zu einem Ileus (Spiegelbildung) geführt. Typisches CT einer inkarzerierten Leistenhernie (Pfeil). Die Einklemmung hat schon zu einem Ileus (Spiegelbildung) geführt. © Albertinen-Krankenhaus Hamburg