Vermeidbare ZNS-Infektionen Jedem Zweiten drohen Langzeitfolgen

Autor: Dr. Angelika Bischoff

Es gibt mehr als 20 impfpräventable Krankheiten, die mit neurologischen Manifestationen einhergehen können. Es gibt mehr als 20 impfpräventable Krankheiten, die mit neurologischen Manifestationen einhergehen können. © iStock/Remains

Diverse Infektionen machen sich akut im ZNS bemerkbar und gehen mit neurologischen Folgeschäden einher. Durch konsequentes Impfen könnte man viele von ihnen verhindern.

FSME, Influenza A, Polio, Pertussis, Masern – dies sind nur fünf Beispiele von mehr als 20 impfpräventablen Krankheiten, die mit neurologischen Manifestationen einhergehen können. Bei vielen sind diese auf eine Meningitis oder Enzephalitis beschränkt, bei anderen kommen sie eher heterogen daher. Beispielsweise steht bei der Dengue-Virusinfektion zwar die Enzephalitis im Vordergrund, doch es werden auch Enzephalopathie, Myelitis, Guillain-Barré-Syndrom oder Myositis beobachtet.

Zentralnervöse Manifestationen ziehen bei 40–60 % der Betroffenen Folgeprobleme nach sich. Erkenntnisse, wie groß die Gefahr erregerspezifisch betrachtet ist, sind jedoch limitiert, erklärte Professor Dr. Martin Häusler, Klinik für Kinder- und Jugendmedizin der RWTH Aachen. Man weiß aber, dass akute Enzephalitiden insgesamt bei etwa der Hälfte der Erkrankten u.a. Lähmungen, kognitive Probleme, Sprachstörungen, Epilepsie oder Persönlichkeitsveränderungen verursachen. Eine Restitutio ad integrum wird Studien zufolge nur in den ersten sechs bis zwölf Monaten beobachtet.

Am Syndrom beteiligt

Nur wenige Infektionen führen zu einer spezifischen Beteiligung des Nervensystems. Bekannt sind
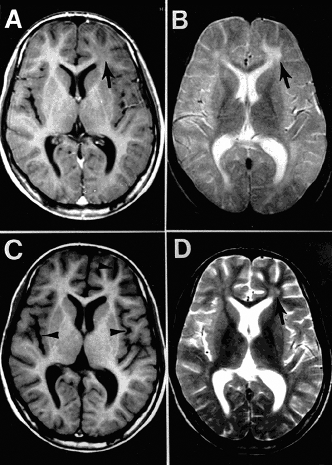
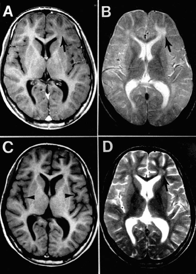
  • subakute sklerosierende Panenzephalitis (SSPE) bei Masern,
  • Schlaganfall bzw. Vaskulitis bei Varizellen,
  • schlaffe Parese bei Poliomyelitis,
  • Nervenparesen bei Diphtherie und
  • die Embryopathie bei Röteln.

Eine prospektive Studie zu neurologischen Komplikationen der Diphtherieergab, dass verschiedene Nerven betroffen sein können, von peripheren über Zwerchfell- bis hin zu Hirnnerven. Eine Schädigung kleiner Nervenfasern ist assoziiert mit einem Verlust an motorischem Tonus. Die meisten Patienten erholen sich jedoch.

Röteln können umfassende Organschäden verursachen

Unter den Langzeitfolgen der Poliomyelitissteht zwar die schlaffe Lähmung im Vordergrund, es treten u.a. aber auch kognitive und psychiatrische Störungen, Kreislauf- sowie Atemwegserkrankungen auf. Die Lähmung verursacht eine Deformierung des Körpers und funktionelle Einschränkungen, die den Organismus insgesamt schwächen, erläuterte Dr. Häusler. Man dürfe daher nicht nur auf die neurologischen Konsequenzen schauen. Über den Tellerrand blicken sollte man auch bei der Rötelnembryopathie, denn sie bedeutet mehr als die Lehrbuch-Trias aus Herzfehler, Taubheit und Katarakt. Die Störung der Zellproliferation an ganz verschiedenen Stellen und der Organdifferenzierung betrifft nicht nur die frühe, sondern die gesamte intrauterine Entwicklung. So resultieren komplexe umfassende Organschäden. Bei Kindern, die an einer durch Zecken übertragenen Enzephalitis erkrankt waren, besteht ein hohes Risiko für jahrelang persistierende Symptome wie Kopfschmerzen, Geräuschempfindlichkeit, Schlafstörungen, psychiatrische und kognitive Probleme, motorische Störungen, Krampfanfälle und Sehprobleme. Ähnliches gilt für die tuberkulöse Meningitis.

Quelle: 15. Kongress für Infektionskrankheiten und Tropenmedizin (Online-Veranstaltung)

Subakute sklerosierende Panenzephalitis bei Einweisung (A, B) und drei Monate später (C, D). Es besteht eine Anomalie im linken Frontallappen (Pfeil in A, B, D) sowie eine diffuse Atrophie im Kortex (Pfeile in C). Subakute sklerosierende Panenzephalitis bei Einweisung (A, B) und drei Monate später (C, D). Es besteht eine Anomalie im linken Frontallappen (Pfeil in A, B, D) sowie eine diffuse Atrophie im Kortex (Pfeile in C). © wikimedia/Bonthius D, Stanek N, Grose C/CDC