Keine Leistenzerrung: Chondrosarkom verursachte Schmerzen in der Adduktorenregion

Autor: Dr. Angelika Bischoff

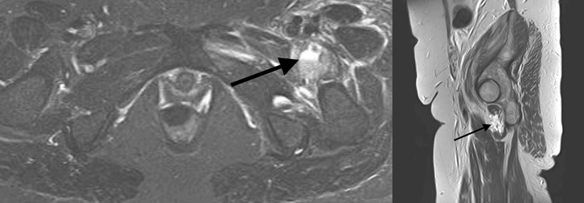
Röntgenologisch zeigt sich im Sitzbein eine tumoröse Auftreibung mit angedeuteter Periostreaktion (Abb. 1). Im Kontrastmittel-MRT stellt sich im Os ischii eine hypodense Läsion dar (Abb. 2). Das postoperative MRT ergibt keine Hinweise auf ein Rezidiv (Abb. 3). Röntgenologisch zeigt sich im Sitzbein eine tumoröse Auftreibung mit angedeuteter Periostreaktion (Abb. 1). Im Kontrastmittel-MRT stellt sich im Os ischii eine hypodense Läsion dar (Abb. 2). Das postoperative MRT ergibt keine Hinweise auf ein Rezidiv (Abb. 3). © Gulbins H, Johann M. Wehrmedizinische Monatsschrift 2020; 64: 218-220 © Beta Verlag & Marketinggesellschaft mbH, Bonn

Adduktorenverletzungen sind bei Fußballspielern keine Seltenheit. Dass ein Truppenarzt dennoch genauer hinschaute, rettete einem 23-Jährigen wohl das Leben.

Ein junger Soldat klagte beim Truppenarzt über anhaltende Schmerzen in der linken Leiste. Er habe sich wahrscheinlich beim Fußballspielen vor vier Wochen die Leiste gezerrt. Aber es würde nicht besser, sondern eher schlimmer.

Bei der klinischen Untersuchung war die passive Beweglichkeit der linken Hüfte nicht eingeschränkt. Musste der Mann aber das Bein aktiv gegen Widerstand an den Körper heranführen, verspürte er einen ziehenden Schmerz. Der Arzt vermutete eine Insertionstendinose und verordnete Physiotherapie.

So ganz geheuer war dem Kollegen die Sache aber nicht, da die Schmerzen ungewöhnlich lange bestanden hatten und zuletzt sogar in Ruhe aufgetreten waren. Deshalb schickte er…

Liebe Leserin, lieber Leser, aus rechtlichen Gründen ist der Beitrag, den Sie aufrufen möchten, nur für medizinische Fachkreise zugänglich. Wenn Sie diesen Fachkreisen angehören (Ärzte, Apotheker, Medizinstudenten, medizinisches Fachpersonal, Mitarbeiter der pharmazeutischen oder medizintechnischen Industrie, Fachjournalisten), loggen Sie sich bitte ein oder registrieren sich auf unserer Seite. Der Zugang ist kostenlos.

Bei Fragen zur Anmeldung senden Sie bitte eine Mail an online@medical-tribune.de.