Knieschmerzen bei Kindern: Was steckt dahinter?

Autor: Dr. Sascha Bock

Für die Schmerzen im Knie eines Kindes gibt es verschiedene Ursachen. Für die Schmerzen im Knie eines Kindes gibt es verschiedene Ursachen. © wikimedia/Kinderradiologie Olgahospital Klinikum Stuttgart; wikimedia/Hellerhoff; wikimedia/nomen 49

Von harmlosen Wachstumsschmerzen bis zur gelenkschädigenden Osteochondrosis dissecans – für Kniebeschwerden bei Kindern gibt es zahlreiche Ursachen. Ein Kollege erklärt, wie Sie Pathologien entdecken und wann schnelles Handeln gefragt ist.

Oft ist es gar nicht so einfach, zwischen heiklen und unkritischen Auffälligkeiten zu unterscheiden, wenn Kinder von Knieschmerzen berichten, weiß Dr. Jochen Jung, Orthopäde am Diakonie Krankenhaus in Bad Kreuznach. „Nächtliche Wachstumsschmerzen kennen wir alle. Da sind wir entspannt.“ Hat sich aber ein Erguss als Warnzeichen gebildet oder treten die Symptome wiederholt an der gleichen Stelle auf, gilt es, genauer hinzuschauen (s. Tabelle).

Zeit zum Handeln bei Kindern mit Knieschmerzen?
entspannt bleibenweitere Diagnostik einleiten
  • Schmerzen/Beschwerden wechseln
  • kein Gelenkerguss
  • keine Belastungsabhängigkeit
  • Wechseln der Seiten
  • Hüfte ist frei
  • keine Unterbrechung von Sport/Spielen
  • Schmerzen/Beschwerden konstant
  • Gelenkerguss
  • Belastungsabhängigkeit
  • immer die gleiche Seite betroffen
  • Hüfte schmerzhaft
  • Unterbrechung von Sport/Spielen
  • Blockierungen im Gelenk

Beinachse wird i.d.R. erst ab dem 10./11. Lebensjahr gerade

Immer sollte man die Hüfte mit untersuchen! Denn Kinder mit einer Epiphysiolysis capitis femoris oder mit einem Morbus Perthes beispielsweise geben häufig Knieschmerzen an. Unter den knie­eigenen Pathologien finden sich viele mit guter Prognose. Dr. Jung warnte jedoch vor zwei „Kniekillern“.

Meist gute Prognose

Die Beinachse wird i.d.R. erst ab dem 10./11. Lebensjahr gerade. Davor laufen die meisten auf physiologischen X-Beinen herum. Allerdings triggert das Genu valgum aufgrund der Gelenkanatomie eher eine spätere Arthrose als das Genu varum, erklärte der Kollege. Wichtig sei es, Kinder mit relevanter Fehlstellung herauszufischen, um diese rechtzeitig zu korrigieren. Besonders bei Übergewichtigen fällt es mitunter jedoch schwer, die Beinachse klinisch korrekt zu beurteilen.

O, warum man den M. Blount auf dem Schirm haben sollte

Vom Genu varum ist der Morbus Blount abzugrenzen. Dieser begegnet einem in der Praxis inzwischen wieder häufiger. Nicht, weil die Inzidenz steigt, sondern weil sich mi­grationsbedingt vermehrt Kinder mit der Erkrankung vorstellen, so die Erfahrung von Dr. Jung.
Vor allem dunkelhäutige Patienten aus Afrika entwickeln die Wachstumsstörung der proximalen media­len Tibia.
Finden sich ausgesprochen starke O-Beine und liegt ein entsprechender Migrationshintergrund vor, sollte man folglich an den M. Blount denken.

Als „langwierig und nervig, aber harmlos“ bezeichnete Dr. Jung den Morbus Osgood-Schlatter, der typischerweise sportlich aktive Jungen plagt. Wenn ein deutlicher Druckschmerz an der Tuberositas tibiae besteht und die Beschwerden bei Belastung zunehmen, lässt sich die Diagnose im Prinzip schon klinisch stellen. Das Röntgen kann die Osteo­nekrose bestätigen. Therapeutisch steht die Sportreduktion im Mittelpunkt. „Uns ist aber allen klar, dass diese Empfehlung vergessen ist, sobald der Patient die Praxis verlässt“, so die Erfahrung des Referenten. Sein pragmatischer Kompromiss lautet, sich zu schonen, solange es wehtut. Auf keinen Fall sollten die Eltern ihren Kindern Ibuprofen o.Ä. geben, um den Sport zu ermöglichen. Das weibliche Pendant des Morbus Schlatter mit ähnlicher Therapie und Prognose nennt sich Patella­spitzensyndrom. Die Reizung der Patellarsehne am Knochenansatz betrifft vorwiegend Mädchen in der Pubertät. Auch hier genügt i.d.R. die klinische Diagnose (Druckschmerz, Zunahme bei Belastung). In der Adoleszenz kann eine Patella partita symptomatisch werden. Pathophysiologisch lockert sich die knorpelige Verbindung der zwei (oder mehr) Kniescheibenteile. Ein Gelenk, das „sich komisch bewegt“ Der Zug der Quadrizepssehne führt dann zu Beschwerden. Neun von zehn Betroffenen sind weiblich. Ging den Schmerzen ein Sturz voraus, denkt so mancher nach dem Röntgen fälschlicherweise an eine Fraktur, mahnte Dr. Jung. Wenn eine Ruhigstellung keine Abhilfe schafft, gibt es die Möglichkeit, zu resezieren. Beim Scheibenmeniskus handelt es sich um eine angeborene fehlerhafte Anlage des (lateralen) Meniskus, die ebenfalls erst verzögert Symptome verursachen kann. Kinder haben aufgrund der unspezifischen Beschwerden oft längere Ärzteodysseen hinter sich. In der Praxis klagen sie über ein Gelenk, das „sich komisch bewegt“. Beim passiven Durchbewegen spürt man dann ein laterales Schnappen. Für die Prognose ist es entscheidend, dass der Meniskus nicht vollständig reseziert wird. Ansonsten droht im späteren Leben eine Arthrose. Ebenfalls unter passivem Beugen und Strecken gibt sich die Plica mediopatellaris durch ein Schnappen zu erkennen. Dieses obliterierte Band findet sich in jedem Knie und macht selten Beschwerden. Falls doch, löst das Drücken auf den medialen Femurkondylus Schmerzen aus. Mit einer arthroskopischen Entfernung ist der Spuk schnell vorbei.

Potenzielle Kniekiller

Kann ein Kind das Bein nicht strecken, sollte man es direkt in die Klinik schicken. Womöglich stört der freie Gelenkkörper (Gelenkmaus) einer Osteochondrosis dissecans. Für eine Refixierung bleibt Dr. Jung zufolge maximal eine Woche Zeit. Bis zu 60 % der Patienten hätten im jungen oder mittleren Erwachsenenalter eine „knackige Arthrose“. Lieber einmal zu viel zur MRT als einmal zu wenig Das Tückische: Unspezifische belastungsabhängige Schmerzen erschweren die Diagnose. Ziehen diese sich über Monate hin, rät der Kollege, lieber einmal zu viel zur MRT als einmal zu wenig. Frühe Stadien lassen sich konservativ behandeln. An einem Sportverbot führt jetzt kein Weg vorbei! Nicht umsonst lautet ein Sprichwort: Sitzt die Maus noch fest im Haus, treibt der Sport sie bald heraus. Bei einer Patellaluxation kommt es auf die Ätiologie an. So hat eine einmalige akute traumatische Verrenkung nach Reposition eine gute Prognose. Diagnostisch darf die MRT aber nicht fehlen, um einen Knorpelschaden an der Kniescheibe auszuschließen. Daneben gibt es Faktoren, die eine Luxation ohne adäquates Trauma begünstigen. Dazu zählen eine hyperlaxe ligamentäre Führung, Achsfehler sowie eine Trochleadysplasie. In einigen Fällen gestaltet sich die Therapie sehr komplex und es besteht ein hohes Arthroserisiko.

Quelle: Kongressbericht, 32. Pädiatrie zum Anfassen

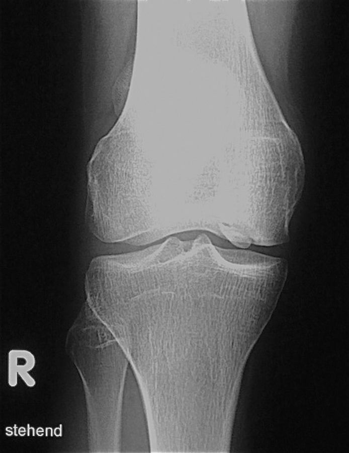
Der Morbus Blount, eine Wachstumsstörung der medialen Tibia-Epiphysenfuge, betrifft vor allem afrikanischstämmige Kinder. Der Morbus Blount, eine Wachstumsstörung der medialen Tibia-Epiphysenfuge, betrifft vor allem afrikanischstämmige Kinder. © wikimedia/Kinderradiologie Olgahospital Klinikum Stuttgart
Eine Fraktur? Weit gefehlt. Bei einer Patella bipartita verschmelzen die Ossifikationskerne nicht. Eine Fraktur? Weit gefehlt. Bei einer Patella bipartita verschmelzen die Ossifikationskerne nicht. © wikimedia/Hellerhoff
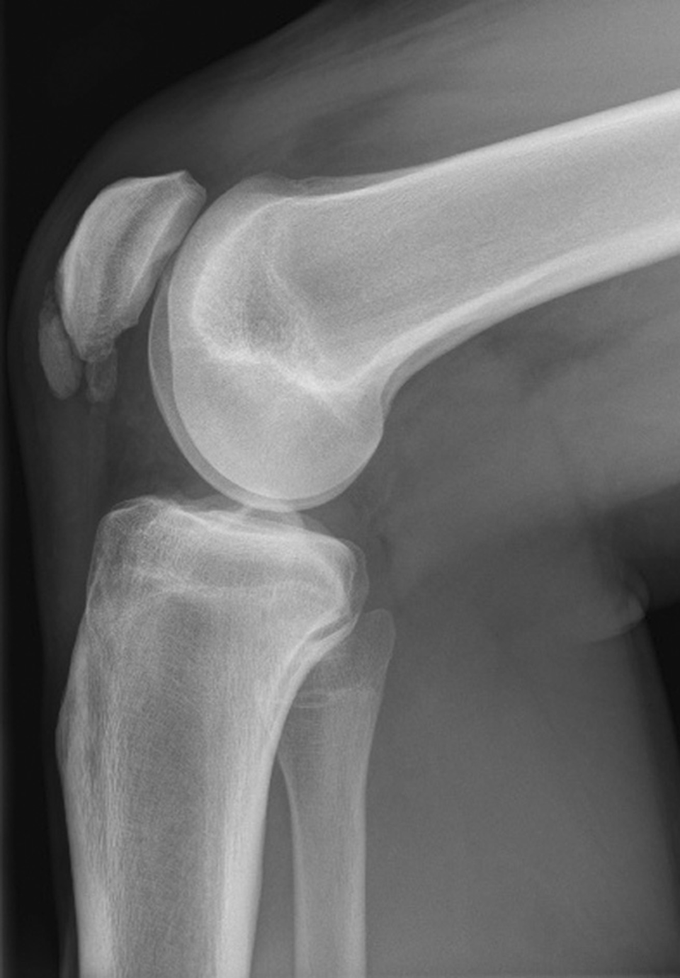
Das Patellaspitzensyndrom (M. Sinding-Larsen-Johansson) ist quasi der weibliche M. Osgood-Schlatter mit einer Osteonekrose der Patellaspitze. Das Patellaspitzensyndrom (M. Sinding-Larsen-Johansson) ist quasi der weibliche M. Osgood-Schlatter mit einer Osteonekrose der Patellaspitze. © wikimedia/nomen 49
Ein Kniekiller: die Osteochondrosis dissecans. Die „Gelenkmaus“ hängt im medialen Kondylus. Ein Kniekiller: die Osteochondrosis dissecans. Die „Gelenkmaus“ hängt im medialen Kondylus. © wikimedia/nomen 49