Krampfader aus dem Kinderhoden schneiden? Fünf Faktoren für die OP-Indikation

Autor: Friederike Klein

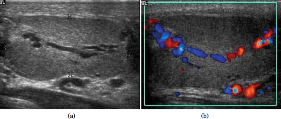
Intratestikuläre Varikozele. Es sind dilatierte röhrenförmige Strukturen zu erkennen (links). Vaskulärer Reflux während des Valsalva-Manövers (rechts). Intratestikuläre Varikozele. Es sind dilatierte röhrenförmige Strukturen zu erkennen (links). Vaskulärer Reflux während des Valsalva-Manövers (rechts). © wikimedia/Chee-Wai Mak and Wen-Sheng Tzeng

Für die Diagnose von Varikozelen bei Kindern und Jugendlichen wird das Skrotum abgetastet und sein Volumen ermittelt. Ein kleiner Hoden bzw. Hodenhochstand können dann Anlass für eine OP geben. Ganz so einfach ist es leider doch nicht.

Nach wie vor wird die Indikation für die Therapie einer Varikozele bei Kindern und Jugendlichen kontrovers diskutiert. Die Evidenzlage ist einfach zu schlecht, berichten Dr. Theocharis­ Yiakoumos­ und Professor Dr. Tilman Kälble von der Klinik für Urologie und Kinderurologie des Klinikums Fulda. Die Aussagekraft von Faktoren wie Hodenvolumen(differenz), Spermio­gramm bzw. Fertilität, Hormonstatus und Schmerzen wurde in Studien unterschiedlich bewertet. Zudem persistieren Schmerzen nach einer Therapie bei bis zur Hälfte der Patienten. Darüber müssen Ärzte im Vorfeld aufklären.

Die Autoren sprechen sich für eine umfassende Diagnostik aus. Die körperliche Untersuchung beinhaltet Inspektion und Palpation des Skrotums und erfolgt in einer warmen Umgebung sowohl im Stehen als auch im Liegen mit und ohne Valsalva-Manöver. Unterschieden werden drei Schwere­grade:

  • Grad I: palpabel nur bei Valsalva-Manöver
  • Grad II: palpabel ohne Valsalva-Manöver
  • Grad III: sichtbar und in Ruhe tastbar

Mittels Dopplersonographie lässt sich der Reflux bzw. die Dilatation des Plexus pampiniformis als Ursache der Varikozele nachweisen. Es bestehen jedoch keine eindeutigen Daten, ab welchem Durchmesser die Varikozele klinisch bei Kindern und Jugendlichen relevant ist. Weiterhin wird das Hodenvolumen bestimmt, am besten per Hodensonographie. Sie ist genauer und weniger abhängig vom Untersucher als die Volumetrie mit dem Prader-Orchimeter.

Mikrochirurgisch oder laparoskopisch verfahren

Eine sekundäre Varikozele kann man mithilfe der Nierensonographie ausschließen. Diese Untersuchung sollte nach Meinung von Dr. Yiakoumos und Prof. Kälble routinemäßig durchgeführt werden, insbesondere bei isoliertem rechtsseitigem Befund. Für ältere Jugendliche empfehlen sie, den Hormonstatus von luteinisierendem Hormon, follikelstimulierendem Hormon und Testosteron zu erheben. Jedoch gilt es, die Indikation zum Spermiogramm kritisch zu prüfen, da keine Normwerte für unter 18-Jährige existieren.

Die Fachgesellschaft European Association of Urology empfiehlt in ihrer Leitlinie die Therapie von Varikozelen bei Kindern und Jugendlichen in folgenden Situationen:

  • kleiner Hoden (Differenz > 2 ml oder 20 %)
  • Hodenhochstand, der zusätzlich die Fertilität beeinflussen kann
  • bilateral tastbare Varikozelen (normalerweise meist linksseitig)
  • ältere Jugendliche mit pathologischem Spermiogramm
  • Symptome

An der Fuldaer Klinik stellt eine Varikozele nur in der Adoleszenz bei kleinem Hoden und wiederholten Messungen eine OP-Indikation dar. Ist ein Eingriff erforderlich, weisen laut den Kollegen mikrochirurgische inguinale und laparoskopische Verfahren mit Lymphgefäßschonung das geringste Persistenz- und Komplikationsrisiko auf.

Quelle: Yiakoumos T, Kälble T. Urologe A 2020; 59: 284-288; DOI: 10.1007/s00120-020-01118-8

Dilatierte röhrenförmige Strukturen zu erkennen (links). Vaskulärer Reflux während des Valsalva-Manövers (rechts). Dilatierte röhrenförmige Strukturen zu erkennen (links). Vaskulärer Reflux während des Valsalva-Manövers (rechts). © wikimedia/Chee-Wai Mak and Wen-Sheng Tzeng