Künstliche Intelligenz erkennt Retinopathie
Die Retinopathie als häufige Folge des Diabetes kann dank der Technik nun leichter entdeckt werden.
© iStock/metamorworks
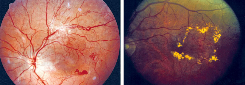
Eine automatisiertes Verfahren verspricht das akkurate und schnelle Screening auf diabetische Retinopathie – ohne die Expertise eines Fachkollegen. Hausärzte können das KI-gestützte System nutzen, um Patienten in nur 60 Sekunden auf die Diabetesspätfolge zu untersuchen, heißt es in einer Pressemitteilung. Der Algorithmus konnte in einer kürzlich durchgeführten Studie bei 95,5 % der Betroffenen die Retinopathie korrekt erkennen (Sensitivität). Die Spezifität des Systems betrug 86 %.
Für die Untersuchung waren 893 Diabetiker mit dem System begutachtet worden. Nur in wenigen Fällen mussten die Pupillen der Patienten geweitet werden. Um die Ergebnisse zu validieren, wurde jeder Befund anschließend von einem Ophthalmologen überprüft.
Quelle: Pressemitteilung – American Academy of Ophthalmology
Bereiche
- Allergologie
- Allgemeinmedizin
- Alternativmedizin
- Angiologie
- Chirurgie
- Dermatologie
- Diabetologie
- Endokrinologie
- Gastroenterologie
- Geriatrie
- Gynäkologie
- HNO
- Infektiologie
- Innere Medizin
- Kardiologie
- Naturheilkunde
- Nephrologie
- Neurologie
- Onkologie und Hämatologie
- Ophthalmologie
- Orthopädie
- Pädiatrie
- Palliativmedizin und Schmerzmedizin
- Pneumologie
- Psychiatrie
- Rheumatologie
- Sportmedizin
- Urologie
- Alle Beiträge
- Kongress aktuell