Medikation Lungenfibrose bei Rheuma aufhalten

DGIM 2022 Autor: Stephanie Käufl

In jedem Fall gilt es, den Lungenumbau so gut wie möglich aufzuhalten. In jedem Fall gilt es, den Lungenumbau so gut wie möglich aufzuhalten. © iStock/magicmine

Rheuma betrifft nicht nur die Gelenke. Entzündung und Fibrose können auch die Lunge schachmatt setzen. Doch der zerstörerische Prozess lässt sich mit Medikamenten aufhalten. Je früher man damit startet, desto größer die Chancen auf Erfolg.

Bei einer Reihe von rheumatischen Erkrankungen ist die Lunge in Form einer interstitiellen Lungenerkrankung (ILD) beteiligt. Am häufigsten kommt dies bei der systemischen Sklerose vor. Dabei ist die ILD eine Komplikation, die sehr früh beginnt: Schon im ersten Erkrankungsjahr machen sich Auswirkungen auf die Lungenfunktion bemerkbar. Langfristig reduziert die Lungenbeteiligung die Zehn-Jahres-Überlebensrate der systemischen Sklerose von 82 % auf 69 %, erläuterte Prof. Dr. Gabriela Riemekasten, Leiterin der Klinik für Rheumatologie an der Universität zu Lübeck.  

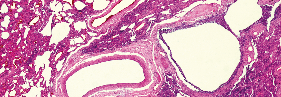
Häufig liegt Mosaikmuster vor

Histologisch finden sich bei der interstitiellen Lungenerkrankung im interstitiellen Gewebe…

Liebe Leserin, lieber Leser, aus rechtlichen Gründen ist der Beitrag, den Sie aufrufen möchten, nur für medizinische Fachkreise zugänglich. Wenn Sie diesen Fachkreisen angehören (Ärzte, Apotheker, Medizinstudenten, medizinisches Fachpersonal, Mitarbeiter der pharmazeutischen oder medizintechnischen Industrie, Fachjournalisten), loggen Sie sich bitte ein oder registrieren sich auf unserer Seite. Der Zugang ist kostenlos.

Bei Fragen zur Anmeldung senden Sie bitte eine Mail an online@medical-tribune.de.