Frakturen nach der Menopause Mit alten Gewohnheiten brechen

Autor: Dr. Elke Ruchalla

Ob traumatisch oder nicht: Ein Bruch ist ein Bruch. Ob traumatisch oder nicht: Ein Bruch ist ein Bruch. © Science Photo Library/Steven Needell

Zieht sich eine Frau im postmenopausalen Alter einen Knochenbruch zu, ist es mühsam, zwischen traumatischer und atraumatischer Fraktur zu unterscheiden. Das Risiko für Folgefrakturen scheint in jedem Fall erhöht und sollte eine ggf. entsprechende Osteoporose-Diagnostik nach sich ziehen.

Bei Frakturen von Frauen nach der Menopause machen Kliniker einen feinen Unterschied. Sogenannte traumatische Frakturen treten nach einem adäquaten Verletzungsmechanismus auf, etwa einem Verkehrsunfall. Eine weitere Untersuchung der Knochenqualität unterbleibt. Meist klären Ärzte nur nicht-traumatische (pathologische) Frakturen, etwa solche nach einem Sturz aus geringer Höhe, weiter auf ihre Ursache hin ab, schreiben Dr. Carolyn Crandall­ von der David Geffen School of Medicine der University of California in Los Angeles und ihre Kollegen.

Die Wissenschaftler haben Daten von fast 67.000 Frauen – im Schnitt über 60 Jahre alt – für ihre Auswertung herangezogen. Es handelte sich dabei um eine Subgruppe der Women’s Health Initiative. In der Analyse stellte sich heraus, dass gut jede zehnte Frau (7.142 Patientinnen) im Nachbeobachtungszeitraum von etwa acht Jahren einen Knochenbruch erlitten hatte. Bei einem Zehntel von diesen wiederum (721 Frauen) kam es im Verlauf zu einem zweiten Bruch. Das Risiko für eine Fraktur war insgesamt um rund 50 % höher als bei Frauen ohne vorherigen Knochenbruch. Und bei Aufteilung nach traumatischer bzw. nicht-traumatischer Erstfraktur unterschied sich das Wiederholungsrisiko kaum, auch wenn es nach traumatischen Frakturen etwa geringer ausfiel (Hazard Ratio 1,25 vs. 1,52 bei nicht-traumatischen Frakturen).

Demnach scheint der Frakturmechanismus belanglos, wenn es darum geht, das Risiko für Zweitfrakturen einzuschätzen, schreiben Professor Dr. Anne Schafer und Dr. Dolores Shoback­ von der Endocrine Research Unit, San Francisco Veterans Affairs Health Care System. Die Unterscheidung unterliegt zudem einer gewissen Subjektivität und kann sogar gefährlich werden. Denn Frauen mit Frakturen nach passendem Trauma laufen Gefahr, gegebenenfalls nicht rechtzeitig über ein zukünftiges, erhöhtes Risiko informiert zu werden und eine passende Prävention zu erhalten.

Nach einer Fraktur welcher Art auch immer muss eine eingehende Anamnese folgen, die Risikofaktoren für ein „brüchiges“ Skelett einschätzt, so die Expertinnen. Untersuchungen auf sekundäre Ursachen einer Osteo­porose können sich je nachdem anschließen, unter Umständen auch eine Knochendichtemessung. Ebenso empfehlen sie eine Beratung zu Ernährung, körperlichem Training, Rauchstopp etc. In manchen Fällen kann dann eine medikamentöse Therapie angezeigt sein.

Quellen:
1. Crandall CJ et al. JAMA Intern Med 2021; DOI: 10.1001/jamainternmed.2021.2617
2. Schafer AL, Shoback DM. A.a.O.; DOI: 10.1001/jamainternmed.2021.2599

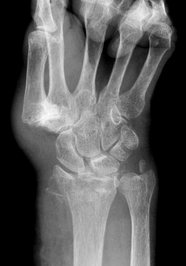
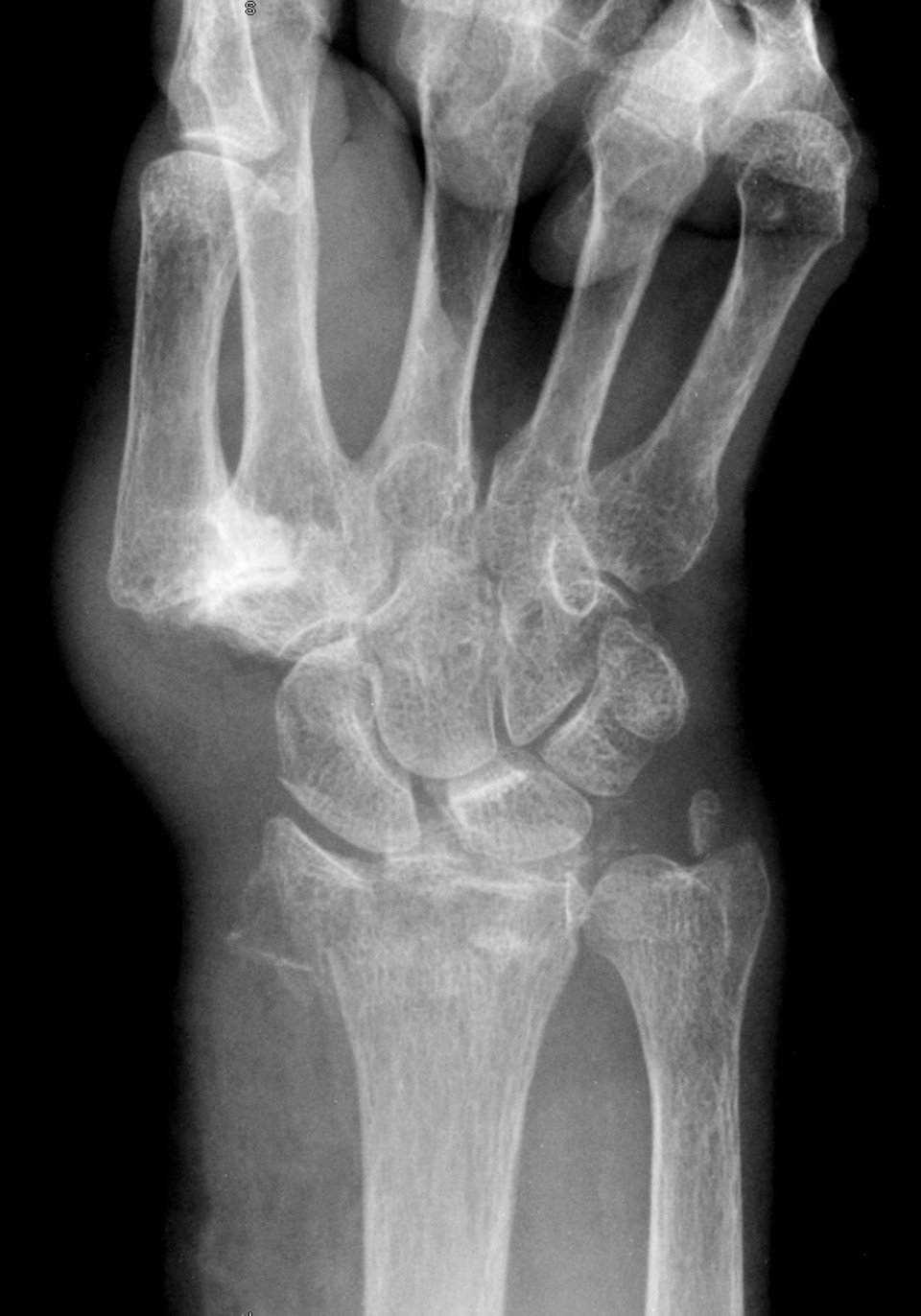
Colles-Fraktur des distalen Radius und Abrissfraktur des Processus styloideus ulnaris­ im Handgelenk einer 94-Jährigen. Colles-Fraktur des distalen Radius und Abrissfraktur des Processus styloideus ulnaris­ im Handgelenk einer 94-Jährigen. © Science Photo Library/Steven Needell