Mit stereotaktischem Geschick gegen ventrikuläre Tachykardien

Autor: Dr. Sascha Bock

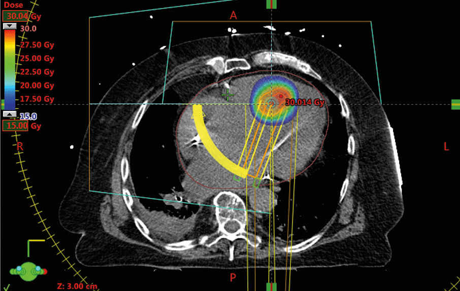
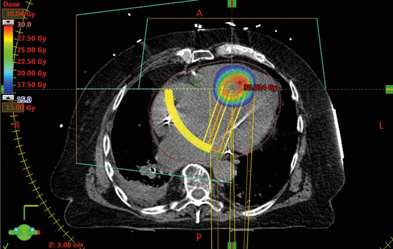
Mapping auf hochauflösendem Niveau (links): Mehr als 10 000 Datenpunkte lieferten ein Bild des linken Ventrikels. So ließ sich das arrhythmogene Areal genau identifizieren und das Zielvolumen für die Bestrahlung berechnen (rechts). Mapping auf hochauflösendem Niveau (links): Mehr als 10 000 Datenpunkte lieferten ein Bild des linken Ventrikels. So ließ sich das arrhythmogene Areal genau identifizieren und das Zielvolumen für die Bestrahlung berechnen (rechts). © Universitätsklinikum Schleswig-Holstein, Campus Kiel

15 beteiligte Fachleute von der Elektrophysiologie bis zur Strahlenphysik warteten gespannt im Vorraum, als in Kiel erstmals in Deutschland ein Patient mit therapie­refraktären Kammertachykardien bestrahlt wurde. Die Radiatio gelang – und könnte terminal Kranken künftig etwas Lebensqualität zurückgeben.

Myokardnarben stören die Erregungsleitung teils derart, dass lebensgefährliche Arrhythmien die Patienten plagen. Belastende Schocks eines implantierten Defibrillators sind die Folge. Im Extremfall löst das Gerät mehrmals täglich aus, wie bei dem 79-jährigen Mann mit terminaler Herzinsuffizienz, den Professor Dr. Hendrik Bonnemeier, Klinik für Innere Medizin III, Universitätsklinikum Schleswig-Holstein, Campus Kiel, und Kollegen behandelten.

„Stärker, als kurz an den Kuhzaun zu fassen“

Trotz Dreifach­therapie mit Antiarrhythmika traten bis zu zweimal am Tag ventrikuläre Tachykardien (VT) auf, die automatisch terminiert wurden. „Ein solcher 40-Joule-Schock ist natürlich stärker, als kurz mal an den Kuhzaun zu fassen“, erklärt Prof. Bonnemeier im Gespräch mit Medical Tribune. Betroffene hätten Angst vor der nächsten Rhythmusstörung und vor der nächsten Defiattacke. Die Lebensqualität sinkt deutlich, bei einer ohnehin schlechten Lebenserwartung.

Um arrhythmogenen Arealen den Garaus zu machen, kommt in vielen Fällen die Katheterablation zum Einsatz. Diese stößt allerdings oft an ihre Grenzen (s. Kasten). Zahlreiche Studien zu dem Verfahren zeigen konsistent, dass ca. 40–50 % der Patienten mit kardiomyopathie­bedingten VT davon profitieren – und zwar nicht prognostisch, sondern vielmehr durch eine Reduktion der abgegebenen Schocks. Selbst wenn die Verödung primär erfolgreich war, die Rezidiv­rate liegt hoch.

Hinderliche Anatomie

Nicht alle Patienten mit Kammerarrhythmien sprechen auf eine Katheterablation an. Das liegt vor allem an der Anatomie. Im Gegensatz zum Vorhof, wo die applizierte Energie ein ca. 1,5 mm dickes Myokard durchdringen muss, ist der ven­trikuläre Muskel 1,5 cm dick. 3 mm bis maximal 4 mm schafft die endokardiale Ablation, die Verödung von epikardial noch mal so viel. Damit bleibt in der Mitte noch Gewebe übrig, sodass etwaige intramurale Narben weiterhin Tachykardien auslösen können.

Zudem eignet sich die VT-Ablation einer weiteren Untersuchung zufolge bei stark reduzierter Pumpfunktion eher weniger. Der 79-Jährige wies eine linksventrikuläre Ejektionsfraktion von 10 % auf, er hatte somit eine maximal schlechte Prognose, so Prof. Bonnemeier. Um Patienten wie diesem zu helfen, plant der Kieler Kollege gemeinsam mit Professor Dr. Jürgen Dunst von der Klinik für Strahlentherapie bereits seit Längerem eine Studie zur stereotaktischen Radiatio von Kammertachykardien (s. Kasten). Nach monatelanger Vorbereitung erfolgte die Therapie des herzinsuffizienten Mannes im November 2018 vorab als individueller Heilversuch.

Europaweite Studie

Mit der europaweiten Multicenterstudie RAVENTA zur stereotaktischen Bestrahlung ventrikulärer Arrhythmien wollen die Forscher neben Sicherheit und Effektivität des Verfahrens herausfinden, was auf zellulärer Ebene im Myokard passiert. Denn „das Interessante ist, dass wir eigentlich keine Narbe setzen“, so Prof. Bonnemeier. Nach der Bestrahlung des Zielvolumens steige das Troponin kaum an. Der Kollege hofft auf mindestens 30–40 geeignete Studienteilnehmer. Bereits in zwei Jahren könnte die Untersuchung dann abgeschlossen sein.

Vor der eigentlichen Bestrahlung machten die Experten die Zielregion im Myokard ausfindig, also den Ort der frühesten elektrischen Aktivität während einer VT. Dazu nutzten sie eines der modernsten verfügbaren Mapping-Systeme. Dieser spezielle Katheter mit 64 Elektroden auf mehreren Lamellen misst die Reizweiterleitung und nimmt über 10 000 Datenpunkte auf. Je mehr Werte es gibt, desto enger lässt sich später das Zielvolumen definieren. Zum Vergleich: Andere Verfahren liefern im besten Fall 150–200 Datenpunkte.

Gelegentliche Arrhythmien werden bleiben

Mapping plus hochauflösendes CT erlaubten die exakte Lokalisation des arrhythmogenen Herdes (s. Abb.). Letztlich wurde ein 2,5 cm³ großes Areal im Septum mit 25 Gy gezielt bestrahlt. Die Radiatio erfolgte atemsynchron und das Prozedere dauerte weniger als 30 Minuten. Seit der Behandlung fühlt sich der Patient laut Prof. Bonnemeier deutlich besser. Strahlenassoziierte Komplikationen traten keine auf. Gelegentlich kommt es noch zu Kammertachykardien, die aber spontan sistieren. „Diese wird er auch weiterhin haben“, erklärt der Kollege. Wichtig ist: Die selbstlimitierenden Arrhythmien spielen klinisch keine Rolle, ein Defi-Schock bleibt aus. Der 79-jährige Mann ist damit der erste Patient in Deutschland und einer der ersten weltweit, bei dem eine therapierefraktäre VT mittels Radiatio erfolgreich behoben wurde. Bereits Ende 2017 publizierte ein US-amerikanisches Team eine Pilotstudie mit fünf Teilnehmern, deren Arrhythmien fast vollständig verschwanden (Reduktion um 99,9 %). Darauf folgte eine prospektive Phase-I/II-Studie mit 19 Patienten und ähnlichen Ergebnissen. Alle Betroffenen, die die Behandlung bislang erhalten haben, litten unter einer terminalen Herzinsuffizienz, meistens auf dem Boden einer ischämischen Kardiomyo­pathie. Herzchirurgische Optionen kamen nicht infrage. Bei diesen Patienten hält der Kieler Kollege die Bestrahlung für einen guten Ansatz. „Und der klappt auch.“ Ob durch die Maßnahme die Überlebensrate steigt, bleibt vorerst offen. Primär handelt es sich um einen palliativen Ansatz, der die Lebensqualität verbessert. „Das ist kein Verfahren, das wir jetzt wie Brot und Butter anbieten möchten“, betont Prof. Bonnemeier. Jüngeren mit bekannten VT und gelegentlichen Defi-Schocks solle man keine falschen Hoffnungen machen. Erst wenn Herzinsuffiziente unter maximaler Medikation immer wieder traumatisierende Schockereignisse erleben, könnte die Bestrahlung womöglich eine Option werden. Unter dem Gesichtspunkt der Palliation rückt die potenzielle kardiale Spättoxizität der Radiotherapie in den Hintergrund.

Medical-Tribune-Bericht

Mapping auf hochauflösendem Niveau: Mehr als 10 000 Datenpunkte lieferten ein Bild des linken Ventrikels. Mapping auf hochauflösendem Niveau: Mehr als 10 000 Datenpunkte lieferten ein Bild des linken Ventrikels. © Universitätsklinikum Schleswig-Holstein, Campus Kiel
So ließ sich das arrhythmogene Areal genau identifizieren und das Zielvolumen für die Bestrahlung berechnen. So ließ sich das arrhythmogene Areal genau identifizieren und das Zielvolumen für die Bestrahlung berechnen. © Universitätsklinikum Schleswig-Holstein, Campus Kiel