Mittelohrentzündung bei Kindern – abwarten und Analgetikum schlucken

Autor: Dr. Andrea Wülker

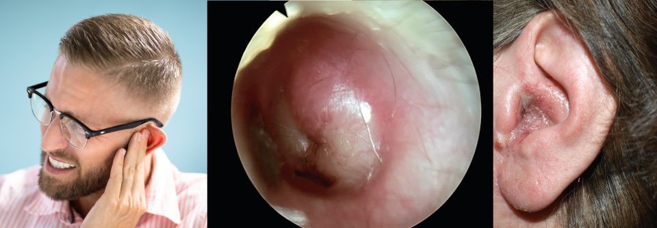
Bläschen deuten darauf hin, dass die Eustachi-Röhre wieder funktioniert. Bläschen deuten darauf hin, dass die Eustachi-Röhre wieder funktioniert. © Science Photo Library/PROFESSOR TONY WRIGHT, INSTITUTE OF LARYNGOLOGY & OTOLOGY

Die akute Otitis media betrifft vor allem Vorschulkinder, meist als Begleiterscheinung einer Infektion der oberen Atemwege. Die Diagnose erfolgt per Otoskopie, die Behandlung in erster Linie mit Analgetika. Antibiotika sind nur in bestimmten Situationen erforderlich.

Einer Otitis media geht meist ein Infekt der oberen Atemwege voraus, der das Mikrobiom in Nase und Rachen stört. Das ebnet pathogenen Bakterien den Weg, sodass diese über die Eustachi-Röhre ins Mittelohr gelangen und dort eine Infektion auslösen können, schreiben Dr. ­Roderick ­Venekamp von der Universität ­Utrecht und Kollegen. Junge Kinder sind besonders anfällig für akute Mittelohrentzündungen, da einerseits ihre ­Tuba ­auditiva kürzer und weiter ist als bei älteren und andererseits die Funktionen des kindlichen Immunsystems noch nicht ausgereift sind. Bis zum dritten Geburtstag erleidet die Hälfte der Kinder im Durchschnitt drei Mittelohrentzündungen.

Ohrenschmerzen sind das…

Liebe Leserin, lieber Leser, aus rechtlichen Gründen ist der Beitrag, den Sie aufrufen möchten, nur für medizinische Fachkreise zugänglich. Wenn Sie diesen Fachkreisen angehören (Ärzte, Apotheker, Medizinstudenten, medizinisches Fachpersonal, Mitarbeiter der pharmazeutischen oder medizintechnischen Industrie, Fachjournalisten), loggen Sie sich bitte ein oder registrieren sich auf unserer Seite. Der Zugang ist kostenlos.

Bei Fragen zur Anmeldung senden Sie bitte eine Mail an online@medical-tribune.de.