Morbus Paget: Krebserkrankung trifft nicht nur Frauen

Autor: Dr. Dorothea Ranft

Dass der Morbus Paget bei Männern auftritt, ist zwar eher selten, aber nicht unmöglich. Dass der Morbus Paget bei Männern auftritt, ist zwar eher selten, aber nicht unmöglich. © Sorhage B. Wehrmed Monatsschr 2019; 63: 313-316 © Beta Verlag & Marketinggesellschaft mbH, Bonn

Wenn ein vermeintliches Ekzem auf topische Steroide nicht anspricht, besteht Tumorverdacht: Es könnte sich um einen Morbus Paget handeln. Der manifestiert sich nicht nur an der weiblichen Brust, sondern auch am männlichen Urogenitaltrakt, wie ein Fall aus Koblenz zeigt.

Ursprünglich wegen aktinischer Keratosen suchte ein 54-jähriger Mann die Dermatologen des Koblenzer Bundeswehrzentralkrankenhauses auf. Durch einen Zufall bemerkten die Ärzte eine leicht erhabene Rötung am linksseitigen Skrotum – etwa in der Größe einer 2-Euro-Münze. Die ekzematöse nicht-juckende Läsion bestand schon seit sechs Monaten. Zuerst vermuteten die Spezialisten ein nummuläres Ekzem, doch das verschriebene topische Steroid zeigte keine Wirkung. Wegen Verdacht auf einen Morbus Paget entnahmen sie daraufhin ambulant eine Biopsie.

Epitheliale Metastase eines tiefer gelegenen Tumors

Bei der makroskopischen Untersuchung fiel auf, dass die Läsion nicht „zerfloss“ wie ein allergisches Ekzem, sondern scharf begrenzt war, schreibt Dr. Bernhard Sorhage, einer der behandelnden Ärzte. Mit ihrem diskreten Randwall ähnelte sie einem Rumpfhautbasaliom. Die histologischen Befunde bestätigten den Verdacht der Kollegen, dass es sich um einen Morbus Paget handelt. Zur vollständigen Entfernung überwiesen sie den Patienten in die Urologie, wo auch nach einem möglichen Primärtumor gesucht werden sollte. Doch der Patient bricht nach der Exzision den Kontakt zu den Ärzten ab.

Dabei wäre die Identifikation des Primärtumors besonders wichtig gewesen. Denn wie Dr. Sorhage betont, handelt es sich beim Paget nicht – wie früher angenommen – um eine Präkanzerose, sondern um ein tiefergelegenes Karzinom, dessen Zellen in die Epidermis einwandern.

Der M. Paget existiert in zwei Formen: Die klassische mammäre Erkrankung manifestiert sich meist einseitig im Bereich der Mamille oder der Areola und wird oft als Ekzem fehlgedeutet. Der seltenere extramammäre M. Paget geht von den apokrinen Schweißdrüsen der Axillen oder Genitalregion aus und findet sich in seltenen Fällen auch im Nabelbereich. Dass es wie in der Kasuistik einen Mann betrifft, bei dem Paget-Zellen in die Skrotalhaut einwandern, ist ungewöhnlich, denn sowohl die klassische als auch die extramammäre Form betrifft meist Frauen.

Histologisch wird über immuno­histochemische Marker eine primäre und eine sekundäre Form unterschieden. Der primäre extramammäre M. Paget zeichnet sich zusätzlich dadurch aus, dass er auf die Epidermis begrenzt bleibt und sich langsam ausbreitet.

Karzinome auch am Anus und im Bauchraum

Bei der sekundären Variante zeigen sich häufig Malignome der apokrinen Schweißdrüsenausführungsgänge, die von Karzinom- oder Pagetzellen des Urogenital- bzw. Gastrointestinaltrakts ausgehen. Außerdem hat etwa ein Fünftel der Patienten mit sekundärem Morbus Paget ein viszerales Karzinom, Metastasen sind ebenfalls möglich. Eine perianale Lokalisation ist in etwa einem Drittel der Fälle mit einem Kolon- oder Rektumkarzinom assoziiert.

Quelle Text und Abb.: Sorhage B. Wehrmed Monatsschr 2019; 63: 313-316 © Beta Verlag & Marketinggesellschaft mbH, Bonn

Kein Ekzem, sondern M. Paget: Effloreszenz am Skrotum mit scharfer Begrenzung und diskretem Randwall. Kein Ekzem, sondern M. Paget: Effloreszenz am Skrotum mit scharfer Begrenzung und diskretem Randwall. © Sorhage B. Wehrmed Monatsschr 2019; 63: 313-316 © Beta Verlag & Marketinggesellschaft mbH, Bonn
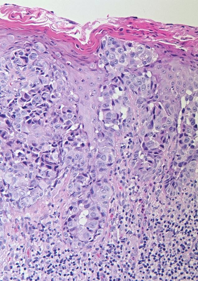
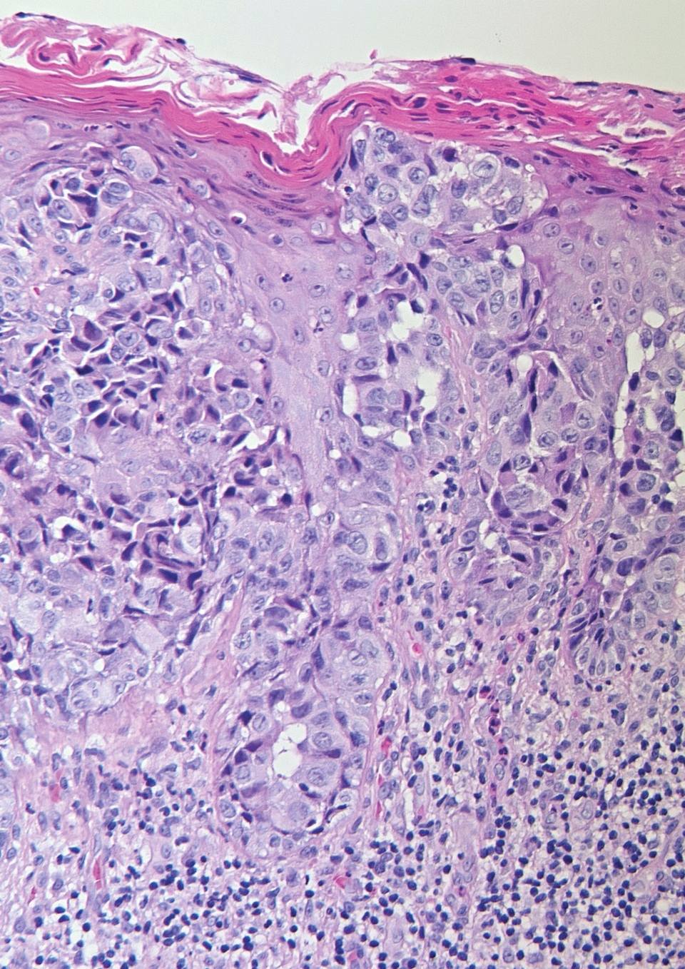
Große Krebszellen mit atypischen Kernen ziehen sich durchs gesamte Epithel. Große Krebszellen mit atypischen Kernen ziehen sich durchs gesamte Epithel. © Sorhage B. Wehrmed Monatsschr 2019; 63: 313-316 © Beta Verlag & Marketinggesellschaft mbH, Bonn