MS-Pathogenese: MRT zeigt inflammatorische und degenerative Prozesse

Autor: Manuela Arand

Im MRT wird die Multiple Sklerose sichtbar. Im MRT wird die Multiple Sklerose sichtbar. © Science Photo Library/Zephyr

Neue MRT-Marker bringen die MS-Diagnostik vo­ran. Vor allem beim Monitoring inflammatorischer und neurodegenerativer Prozesse gibt es Fortschritte. Doch nicht alles ist reif für die Routine.

Die Bildgebung hat dazu beigetragen, dass sich die pathogenetischen Vorstellungen von der Multiplen Sklerose radikal verändert haben, erklärte Professor Dr. Mike P. Wattjes, Institut für Neuroradiologie der Medizinischen Hochschule Hannover. So ist klar geworden, dass graue Substanz und Rückenmark für die Pathogenese von hoher Bedeutung sind. Insbesondere der spinale Befall hat sich als starker Prädiktor für Langzeitbehinderung erwiesen. Auch weiß man mittlerweile, dass sich Inflammation sogar außerhalb des Hirnparenchyms manifestiert, zum Beispiel in den Leptomeningen.1

Standardisierten Protokollen folgen

Für die Neuroradiologie liegt die Herausforderung darin, das Wechselspiel der neuroinflammatorischen und neurodegenerativen Phänotypen optisch fassbar zu machen, um die Neurologen bei Diagnose, Verlaufskontrolle und Therapiemonitoring zu unterstützen. Damit dies gelingt, sollte die Untersuchung standardisierten Maßstäben folgen, beispielsweise dem Protokoll des Kompetenznetzes Multiple Sklerose oder des Netzwerks Magnetic Resonance Imgaging in MS (MAGNIMS). Das MAGNIMS-Protokoll wurde kürzlich überarbeitet.2 Zu ihm gehören T2-gewichtete, FLAIR- sowie T1-gewichtete Aufnahmen nach Gadoliniumgabe.

Dreidimensionale Sequenzen sind zweidimensionalen deutlich überlegen und sollten wenn möglich angestrebt werden, betonte Prof. Wattjes. „Für die Diagnose reicht 2D häufig aus, vor allem bei pädiatrischen Patienten. Aber wenn Sie 3D akquirieren, können Sie für das Verlaufsmonitoring auf die konventionelle T2-gewichtete Aufnahme verzichten und dadurch das Protokoll verkürzen.“

Auch für das Rückenmark exis­tiert ein standardisiertes Protokoll, das sagittale PD-, T2- und T1-Gad-Aufnahmen vorsieht. Um die diagnostische Sicherheit zu erhöhen, können axiale T2-gewichtete Aufnahmen herangezogen werden. Beim Rückenmark genügt übrigens – anders als beim Gehirn – eine Feldstärke von 1,5 T. 3T machen die Bilder nicht besser, und das 7T-MRT „ist experimentell und hat in der klinischen Praxis nichts zu suchen, auch weil die Kontraste höchst unterschiedlich sind und schwierig zu interpretieren“, findet Prof. Wattjes.

Diagnostische und differenzialdiagnostische Trennschärfe lassen sich verbessern, indem verschiedene MRT-Kontraste und -Sequenzen kombiniert werden, zum Beispiel FLAIR- plus sensitivitätsgewichtete Aufnahme (SWI). So erhält man einen Mix aus beiden Kontrasten.

MS-Läsionen

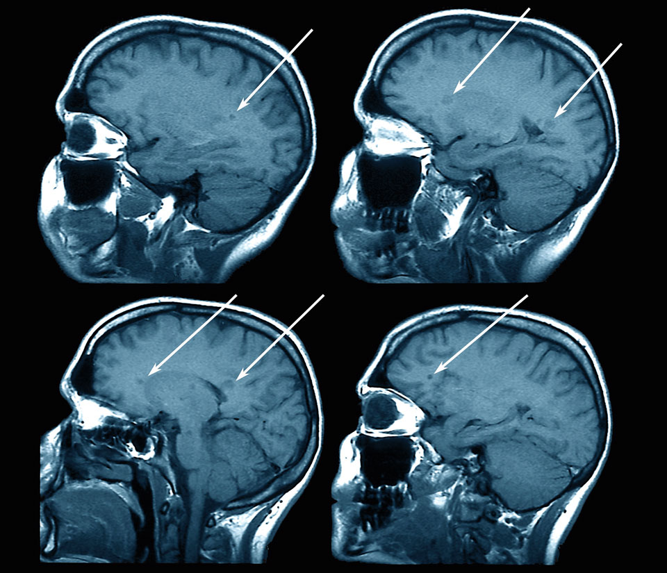
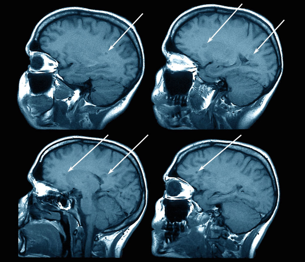
Sie stellen sich als White Spots dar mit zentraler Vene als Ausdruck der perivaskulären Inflammation (Central Vein Sign). „Sie können sich relativ sicher sein, dass es sich um eine chronisch-entzündliche MS-Läsion handelt, da wichtige Differenzialdia­gnosen wie z. B. vaskuläre Läsionen diese zentrale Vene nicht zeigen“, erläuterte Prof. Wattjes.3

MS-Läsionen sind nicht die einzigen mit einer zentralen Vene. Lässt sich im SWI-Imaging ein hypointenser Ring („smoldering lesion“) um die Läsion darstellen als Ausdruck eisenbeladener Makrophagen oder Mikroglia, handelt es sich aber mit hoher Wahrscheinlichkeit um eine chronisch-entzündliche ZNS-Läsion und nicht um eine der wichtigen MS-Differenzialdiagnosen.3 Smoldering Lesions finden sich häufig bei progredienten MS-Patienten. Um sie zu sehen, braucht es allerdings eine sehr gute Auflösung, die „sicher nicht überall verfügbar ist“, meinte der Neuroradiologe.

Er plädierte außerdem fürs Kontrastmittelsparen, da elementares Gadolinium im Gehirn akkumulieren kann: „In Deutschland werden Unmengen an Gadolinium in MS-Patienten hineingegossen – völlig zu Unrecht. Denn wir haben mit alternativen Bildgebungssequenzen die Möglichkeit, die Krankheitsaktivität auch ohne Kontrastmittel zu messen.“ Deshalb ist in den neuen MAGNIMS-Leitlinien Kontrastmittel für die Verlaufsuntersuchungen nur als „optional“ gekennzeichnet.

Die Sensitivität im Verlaufsmonitoring lässt sich u.a. durch Subtraktionsanalysen erhöhen.4 Die Software dafür ist laut Prof. Wattjes auf modernen Scannern implementiert, die Analyse kann also beim Neuroradiologen angefordert werden. Bei Patienten mit ausgeprägtem T2-Hintergrundrauschen kann sie genutzt werden, um neue Läsionen sicher zu identifizieren, indem quasi die Signale des alten Bildes von denen des neuen abgezogen werden. „Das ist besonders wichtig für Patienten mit SPMS, bei denen die inflam­matorische Krankheitsaktivität nicht mehr so prominent sichtbar ist“, erklärte Prof. Wattjes. „Dadurch können Sie viel Gadolinium einsparen.“ Da trifft es sich gut, dass die Künstliche Intelligenz, mit der solche Bilder ausgewertet werden, in den letzten Jahren deutlich weiterentwickelt wurde. Das Problem, dass die Systeme häufig nur lokal validiert sind, bleibt allerdings bestehen.

Leptomeningeale Entzündungsherde

Der Stellenwert der leptomeningealen Entzündungsherde als Marker der individuellen Krankheitsprogression ist noch zu klären. Zu Beginn der MS-Erkrankung findet man sie eher selten, bei chronischen Verläufen aber häufig, besonders bei der SPMS. Bekannt ist, dass im angrenzenden Kortex demyelinisierte Areale zu finden sind. „Vermutlich kommt es auch zur Neurodegeneration im Sinne einer kortikalen Atrophie“, meinte Prof. Wattjes. Mit kontrastmittelverstärkten 3D-FLAIR-Sequenzen lässt sich die leptomeningeale Inflammation gut sichtbar machen. Allerdings bleiben die Läsionen im Krankheitsverlauf weitgehend konstant, was den Stellenwert als Biomarker fraglich erscheinen lässt.

Hirnvolumen

Neurodegenerative Prozesse machen sich zu Beginn der Erkrankung klinisch wenig bemerkbar, sind aber in der Bildgebung schon früh evident. Das Hirnvolumen geht relativ früh im Krankheitsverlauf zurück und der Verlust beschleunigt sich im Verlauf deutlich.5 Für die Prognose ist die Hirnatrophie hoch relevant, deshalb ist es wünschenswert, sie früh zu erkennen.

Es gibt jedoch viele Faktoren, die das Hirnvolumen beeinflussen und die Interpretation erschweren (siehe Kasten). Wichtig vor allem: Die MS-Medikation selbst kann eine Pseudoatrophie auslösen. „Wenn Sie einen hochaktiven MS-Patienten antiinflammatorisch behandeln, verschwinden die Läsionen, aber auch relativ viel Volumen – die Seitenventrikel werden größer, ebenso die Sulci“, erklärte Prof. Wattjes. Das hat aber nichts mit Atrophie zu tun, sondern zeigt an, dass die Flüssigkeit verschwindet, die infolge der inflammatorischen Aktivität eingelagert wurde. 

Beeinflussbares Hirnvolumen

Diese Faktoren reduzieren Hirnvolumen 
  • Gewebeverlust (Myelin, Axone, evtl. Astrozyten)
  • Flüssigkeitsverschiebungen (Dehydratation, Ödemauflösung)
  • Alter
  • Alkohol
  • antiinflammatorische Medikamente
  • Rauchen
  • ApoE?
Diese Faktoren steigern Hirnvolumen 
  • neuronale Reparatur
  • Remyelinisierung
  • Astrogliose
  • Flüssigkeitsverschiebungen (Ödem, Entzündung)

Deshalb empfiehlt es sich, 6–12 Monate nach Therapiebeginn ein weiteres MRT anzufertigen und dieses dann als Basis für Verlaufsuntersuchungen zu nutzen.

Remyelinisierung

Beim Monitoring neurodegenerativer Veränderungen ist die Atrophie ein wichtiger Parameter. „Aber wir haben neue Methoden in petto, die Remyelinisierung und möglicherweise auch Neuroprotektion messen können“, so der Referent. Zum Beispiel die Magnetization Transfer Ratio (MTR): Je niedriger die Werte, desto geringer die Myelindichte. Die MTR erlaubt es, chronische Black Holes, also dauerhaft hypointense Läsionen, von denen abzugrenzen, die anfangs hypointens erscheinen, sich dann aber der normalen Mye­lindichte wieder angleichen.6 Sie eignet sich möglicherweise auch als Outcome-Parameter für die Therapie, um den Stopp der Demyelinisierung und die Remyelinisierung zu dokumentieren. Aktuelle Daten mit Siponimod zeigen, dass sich die MTR-Werte sowohl in der grauen als auch weißen Substanz unter der Therapie stabilisierten, während sie unter Placebo immer weiter abnahmen.7

Quelle: 93. Kongress der Deutschen Gesellschaft für Neurologie*

1. Reich DS et al. N Engl J Med 2018; 378: 169-180; DOI: 10.1056/NEJMra1401483
2. Wattjes MP et al.; submitted
3. Maggi P et al. Ann Neurol 2020; 88: 1034-1042; DOI: 10.1002/ana.25877
4. Moraal B et al. Ann Neurol 2010; 67: 667-675; DOI: 10.1002/ana.21958
5. Sastre-Garriga J et al. Nat Rev Neurol 2020; 16: 171-182; DOI: 10.1038/s41582-020-0314-x
6. van Waesberghe JH. AJNR Am J Neuroradiol 1998; 19: 675-683
7. Arnold DL et al. Kongress der American Academy of Neurology 2020, Oral Session S40, Präsentation S40.006

* Online-Veranstaltung

Farbige Magnetresonanztomographie (MRT)-Aufnahmen eines Patienten mit Multipler Sklerose (MS). Farbige Magnetresonanztomographie (MRT)-Aufnahmen eines Patienten mit Multipler Sklerose (MS). © Science Photo Library/Zephyr