Diagnostik Lebererkrankungen Nadel in den Arm statt in die Leber?

Autor: Dr. Judith Lorenz

Außer PLIN2 fließen in den Algorithmus die Parameter Bauchumfang, Triglyzeride, Alanin-Aminotransferase (ALT) und das Vorliegen eines Diabetes ein. Außer PLIN2 fließen in den Algorithmus die Parameter Bauchumfang, Triglyzeride, Alanin-Aminotransferase (ALT) und das Vorliegen eines Diabetes ein. © SciePro – stock.adobe.com

Eine nicht-alkoholische Lebererkrankung mittels Blutuntersuchung diagnostizieren? Das funktioniert, sagen Forscher aus Italien.

Metabolische Lebererkrankungen sind aktuell eine große medizinische Herausforderung: Sowohl nicht-alkoholische Fettleber (NAFLD) als auch nicht-alkoholische Steatohepatitis (NASH) greifen epidemieartig um sich. Wird der Entzündungsprozess nicht gestoppt, drohen Fibrose und Zirrhose mit potenziell tödlichem Ausgang. Bei der Diagnosesicherung führt bislang kein Weg an der Leberbiopsie vorbei. Das könnte sich jedoch bald ändern, berichten Dr. Giulia­ Angelini­ von der Università Cattolica del Sacro Cuore in Rom und Kollegen. Die Forschenden haben eine Methode entwickelt, mit der man anhand einer Blutprobe nicht nur das Vorliegen, sondern auch den Schweregrad der NASH und der Leberfibrose exakt bestimmen kann.

Das Verfahren basiert unter anderem auf der Beobachtung, dass im Rahmen der Leberverfettung Lipidtröpfchen in zirkulierenden peripheren Monozyten abgelagert werden. Bei diesem Speicherprozess spielt das Protein Perilipin-2 (PLIN2) eine wichtige Rolle.

Algorithmus an insgesamt 250 Patienten entwickelt

An Erwachsenen mit einer histologisch nachgewiesenen NAFLD oder NASH mit oder ohne Leberfibrose entwickelten die Forscher den Algorithmus, der die NASH mit hoher Sensitivität, Spezifität und Genaugkeit vorhersagte. 100 Personen bildeten die Entwicklungs- und 150 die Validierungskohorte.

Außer PLIN2 fließen in den Algorithmus die Parameter Bauchumfang, Triglyzeride, Alanin-Aminotransferase (ALT) und das Vorliegen eines Diabetes ein. Die Prädiktion der Leberfibrose basiert auf der Bestimmung von RAB14 (Ras-related protein Rab-14) in Blutmonozyten, welches bei der Akkumulation extrazellulärer Matrixproteine beteiligt ist. Zusätzlich berücksichtigt dieser zweite Algorithmus die Parameter Alter, Bauchumfang, HDL-Cholesterin, Plasmaglukose und ALT. Beide Algorithmen waren den bisher genutzten Markern und Methoden (wie dem Fibrose-Score FIB4 oder der Scherwellen-Elastografie) überlegen.

Die Forschenden sehen ein großes Potenzial in der sog. Liquid Biopsy: Mit ihrer Hilfe könnten zukünftig Fettlebererkrankungen nicht-invasiv diagnostiziert, Therapieindikationen überprüft, das Fortschreiten der Leberprozesse verfolgt sowie das Ansprechen auf die Therapie objektiviert werden.

Quelle: Angelini G et al. Gut 2022; DOI: 10.1136/gutjnl-2022-327498

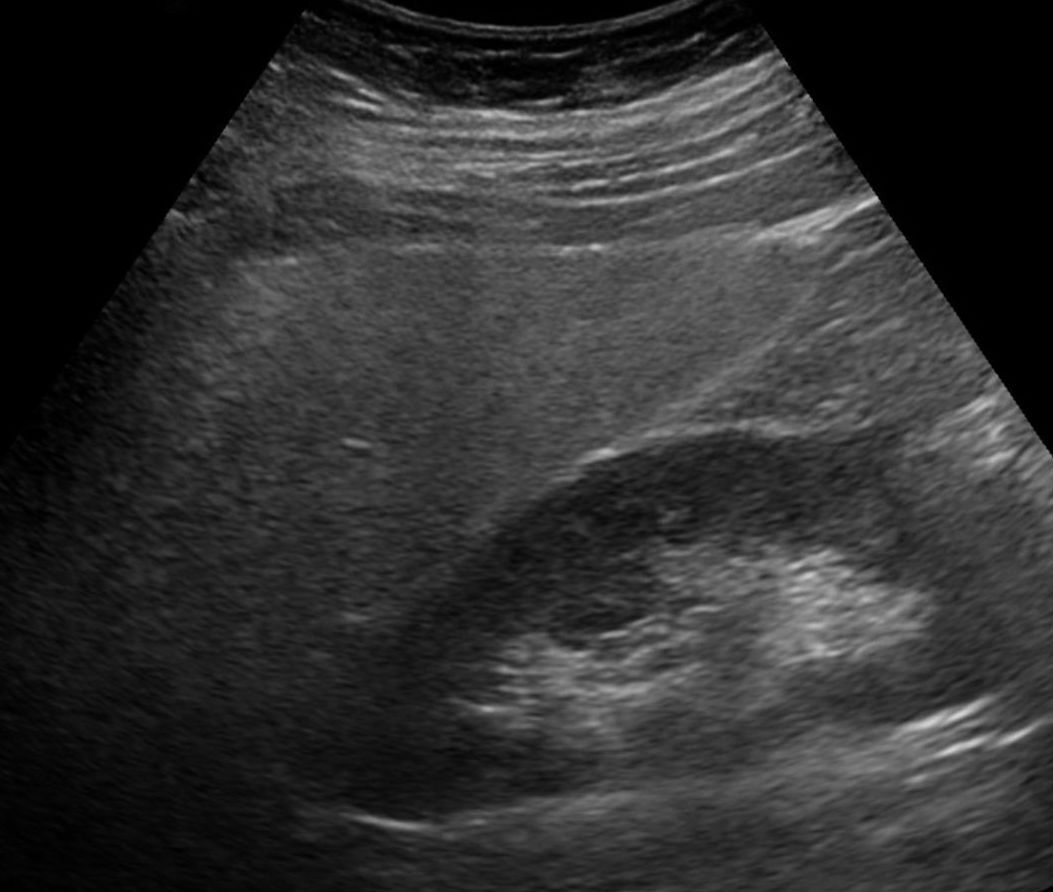
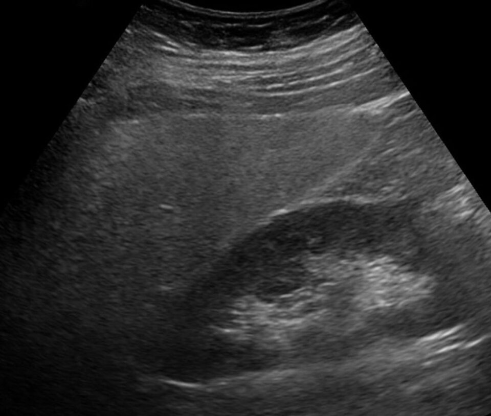
Im Ultraschall lässt sich eine Fettleber an ihrer höheren Echogenität erkennen – oft schon bevor Symptome auftreten. Im Ultraschall lässt sich eine Fettleber an ihrer höheren Echogenität erkennen – oft schon bevor Symptome auftreten. © wikimedia/Hellerhoff (CC BY-SA 3.0)