Neues Verfahren vereinfacht Diagnose eines Barrett-Ösophagus

Autor: Josef Gulden

in der ITT-Population gab es zehnmal so viele Nachweise.
in der ITT-Population gab es zehnmal so viele Nachweise. © iStock/Catalin Rusnac

Britische Wissenschaftler haben ein neues Verfahren entwickelt, um Zellmaterial aus der Speiseröhre zu sammeln und zu analysieren. In einer Phase-3-Studie half die „Cyto­sponge-TFF3“ genannte Technik, Barrett-Ösophagi und Magenkarzinome zu erkennen.

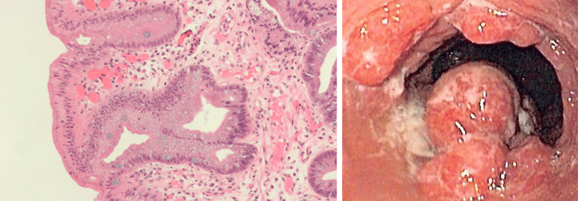
Die rechtzeitige Behandlung eines dysplastischen Barrett-Ösophagus kann seine Progression zum Adenokarzinom verhindern, doch dafür muss er erst einmal erkannt werden. Ein Team um Professor Dr. Rebecca C. Fitzgerald von der Universität und den Universitätskliniken Cambridge entwickelte daher einen Test, der helfen soll, die Indikation zur Endoskopie einzuengen. Bei der „Cytosponge-TFF3“ genannten Technik schluckt der Patient eine Kapsel, die einen komprimierten Schwamm enthält. Im Magen löst sie sich auf, der Schwamm expandiert. Mithilfe eines Fadens wird er wieder hochgezogen, streift dabei an der Innenseite des Ösophagus entlang und sammelt Zellmaterial ein. Dieses wird auf das Vorliegen des Trefoil factor 3 (TFF3) untersucht, der als Biomarker für intestinale metaplastische Zellen gilt.

Zehn Mal so viele Nachweise in der ITT-Population

In einer Phase-3-Studie wurden nun über 13 000 Patienten so randomisiert, dass etwa der Hälfte von ihnen eine Cytosponge-TFF3-Untersuchung angeboten wurde (Interventionsarm). Bei 1750 von ihnen wurde diese auch durchgeführt. Primärer Endpunkt war die Diagnoserate eines Barrett-Ösophagus in den zwölf Monaten nach Studieneinschluss. Diese lag im Interventionsarm bei 2 %, im Kontrollarm bei weniger als 1 %; die Differenz betrug 18,3 Fälle pro 1000 Personenjahre, was etwa einer Verzehnfachung der Nachweise entspricht. Dysplatische Barrett-Ösophagi oder Ösophagus-Magen-Karzinome wurden nur im Interventionsarm gefunden (n = 4; n = 5). 13 % der Patienten, bei denen die Cytosponge-Prozedur durchgeführt wurde. Anschließend erfolgte eine Endoskopie. Bei 59 % von ihnen lautete die endgültige Diagnose: Barrett-Ösophagus. Die häufigste Nebenwirkung der Untersuchung war ein rauer Hals (4 %), bei einem Patienten löste sich der Schwamm vom Faden und musste endoskopisch geborgen werden.

Im Falle von Refluxbeschwerden kann man mithilfe des Cytosponge-Verfahrens also die Diagnose eines Barrett-Ösophagus verbessern, schließen die Autoren. Allerdings werde der Test zu häufigeren Endoskopien führen, von denen einige falsch positiv ausfallen werden.

Quelle: Fitzgerald RC et al. Lancet 2020; 396: 333-344; DOI: 10.1016/S0140-6736(20)31099-0