Von Rezeptorblockade bis Plasmaaustausch Neues zum Nierenschutz bei AAV-Vaskulitis

Autor: Dr. Susanne Meinrenken

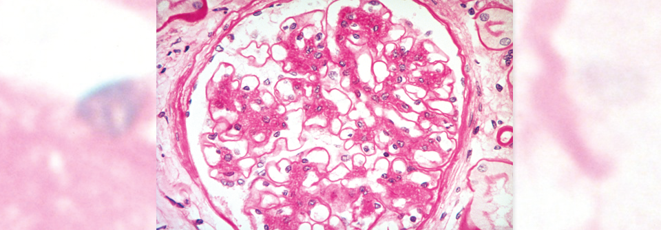
Glomerulonephritis bei ANCA-Vaskulitis im histologischen Schnitt. Zu sehen
ist ein Glomerulus mit typischer halbmondförmiger Schädigung (oben links). Glomerulonephritis bei ANCA-Vaskulitis im histologischen Schnitt. Zu sehen ist ein Glomerulus mit typischer halbmondförmiger Schädigung (oben links). © Science Photo Library / ZIAD M. EL-ZAATARI

Oberstes Gebot bei ANCA-assoziierten Vaskulitiden ist die Immunsuppression. Gemäß neuer Empfehlungen lässt sich die Glukokortikoiddosis deutlich reduzieren; v. a. die C5aR-Blockade ist nephroprotektiv. Ein Plasmaaustausch kommt nur selten in Frage.

Oberstes Gebot bei ANCA-assoziierten Vaskulitiden ist die Immunsuppression. Gemäß neuer Empfehlungen lässt sich die erforderliche Glukokortikoiddosis deutlich reduzieren; v. a. die C5aR-Blockade mit Avacopan ist nephroprotektiv. Ein Plasmaaustausch kommt nur selten infrage.

Zu den ANCA-assoziierten Vaskulitiden (AAV) gehören klassischerweise drei Krankheitsentitäten: Die Granulomatose mit Polyangiitis (GPA), die mikros­kopische Polyangiitis (MPA) und die eosinophile Granulomatose mit Polyangiitis (EGPA). Sie alle zeichnen sich durch antineutrophile zytoplasmatische Antikörper (ANCA) aus, die an Zielantigene auf neutrophilen Granulozyten und Monozyten binden. Die dadurch aktivierten Zellen…

Liebe Leserin, lieber Leser, aus rechtlichen Gründen ist der Beitrag, den Sie aufrufen möchten, nur für medizinische Fachkreise zugänglich. Wenn Sie diesen Fachkreisen angehören (Ärzte, Apotheker, Medizinstudenten, medizinisches Fachpersonal, Mitarbeiter der pharmazeutischen oder medizintechnischen Industrie, Fachjournalisten), loggen Sie sich bitte ein oder registrieren sich auf unserer Seite. Der Zugang ist kostenlos.

Bei Fragen zur Anmeldung senden Sie bitte eine Mail an online@medical-tribune.de.