Neues zur Diagnostik und Therapie der Divertikelkrankheit

Autor: Dr. Alexandra Bischoff

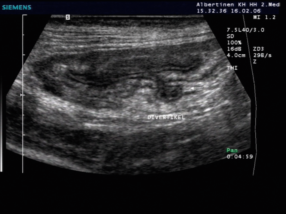
Mit Hilfe der Sonographie lassen sich Divertikel gut aufspüren. Mit Hilfe der Sonographie lassen sich Divertikel gut aufspüren. © Albertinen-Krankenhaus Hamburg/sonographiebilder.de

Im Management der Divertikelkrankheit hat sich einiges geändert. Unter anderem erhalten Patienten mit akuter unkomplizierter Divertikulitis nicht mehr unbedingt Antibiotika und werden auch zurückhaltender operiert.

Unter dem Begriff Divertikelkrankheit werden von der Divertikulose bis zur perforierten Divertikulitis alle klinischen Veränderungen in Zusammenhang mit den Aussackungen der Dickdarmwand zusammengefasst. Divertikel treten überwiegend im linksseitigen Kolon (Sigma) auf und sind meist asymptomatisch. Wenn sie sich aber entzünden, kommt es zu typischerweise linksseitigen Unterbauchschmerzen, Fieber und verändertem Stuhlverhalten. Zudem sind komplizierte Verläufe mit starken Schmerzen, Blutungen, Abszessbildung oder Perforation möglich.

Sonographie hat den Kontrasteinlauf abgelöst

Die genaue Ursache der Divertikulose ist bislang ungeklärt. Allerdings konnten bei Betroffenen verschiedene strukturelle und funktionelle Veränderungen der Darmwand, eine gestörte Kollagensynthese, ein erhöhter intraluminaler Druck sowie Veränderungen der enterischen Nervenfunktion nachgewiesen werden. Auch eine genetische Prädisposition spielt offenbar eine Rolle. Zu den Risikofaktoren zählen neben Alkohol- und Tabakkonsum auch Übergewicht und Diabetes mellitus. Während Vitamin D nachweislich protektiv wirkt, ist der Schutz durch eine ballaststoffreiche Ernährung bisher nicht ausreichend wissenschaftlich belegt. Anscheinend haben auch einige Medikamente (darunter NSAR, Steroide, Opioide) einen negativen Effekt und können Komplikationen wie akute Divertikulitis, Blutungen, Perforationen oder Abszesse verursachen.

Hinsichtlich Diagnostik und Therapie hat sich in den letzten beiden Jahrzehnten einiges verändert. Dr. Angelo Zullo vom Nuovo­ Regina Margherita Hospital in Rom und seine Kollegen sprechen sogar von einer „kopernikanischen Wende“.

Diagnostik

Neben Klinik und Labor spielt die Bildgebung eine entscheidende Rolle. Die Basisdiagnostik der akuten Divertikulitis ist heute die Sonographie, die den Kolonkontrasteinlauf mit Barium abgelöst hat. Mit dem modernen kontrastmittelgestützten Ultraschall lassen sich zudem divertikulitisbedingte Komplikationen wie Fisteln oder Perforationen diagnostizieren.

Bei unklarem Ultraschallbefund, starken akuten Schmerzen unklarer Ursache oder Divertikelblutung ist eine CT des Abdomens indiziert, die neben der diagnostischen Beurteilung auch die gezielte Drainage von Abszessen bestimmter Größe (> 5 cm) und Lokalisation er­möglicht. Bei hämodynamisch instabilen Patienten und/oder aktiver Blutung kann die CT-Angiographie weiterhelfen.

Therapie

Die aktuelle Leitlinie der American Gastroenterological Association empfiehlt bei einer unkomplizierten Divertikulitis ohne Risikofaktoren statt der bisherigen routinemäßigen Gabe von Antibiotika je nach Fall individuell zu entscheiden.

Nicht alle mit unkomplizierter Divertikulitis brauchen eine OP

Der Benefit einer Antibiose nach dem Gießkannenprinzip gegenüber einer konservativen Behandlung wird von wissenschaftlicher Seite immer mehr infrage gestellt. Ferner scheint eine kürzere (über 5 Tage) und orale Gabe genauso effektiv zu sein wie die traditionelle Variante (5–10 Tage i.v.). Eine antibiotische Therapie ist vor allem bei Risiko­patienten zur Prävention von Komplikationen sinnvoll.

Auch die Indikation zur OP nach einem zweiten Schub wird zunehmend kritisch hinterfragt. Vor allem bei jungen oder adipösen Patienten mit chronisch rezidivierender Divertikulitis wurde bislang dazu geraten. Studien zeigen aber, dass nicht alle Patienten mit unkomplizierter Divertikulitis eine OP benötigen. Daher sollten individuelle Risikofaktoren in die Entscheidung für oder gegen einen Eingriff einbezogen werden.

Quelle: Zullo A et al. Ann Gastroenterol 2019; 32: 541-553; DOI: 10.20524/aog.2019.0410

Hier ragt ein kleines Divertikel aus dem Kolon. Hier ragt ein kleines Divertikel aus dem Kolon. © Albertinen-Krankenhaus Hamburg/sonographiebilder.de
Divertikulitis mit gedeckter Perforation. Im umliegenden Fettgewebe sind Gas­bläschen zu erkennen (Pfeil). Sie erscheinen als echoreiche Reflexe. Divertikulitis mit gedeckter Perforation. Im umliegenden Fettgewebe sind Gas­bläschen zu erkennen (Pfeil). Sie erscheinen als echoreiche Reflexe. © Albertinen-Krankenhaus Hamburg/sonographiebilder.de