Schädel-Hirn-Traumata Notfalleinsatz am Kinderkopf

Autor: Dr. Angelika Bischoff

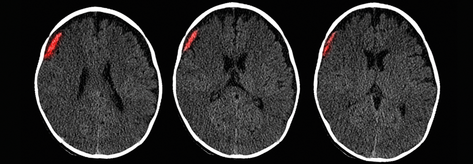
Subdurales Hämatom bei ein­em sechs Monate alten Säugling nach Kindesmisshandlung (vermutlich Schütteltrauma). Subdurales Hämatom bei ein­em sechs Monate alten Säugling nach Kindesmisshandlung (vermutlich Schütteltrauma). © Science Photo Library/Camazine, Scott

Präklinisch geht es bei Kindern mit Schädel-Hirn-Traumata vor allem darum, Symptome zu erfassen, die für die Akuttherapie relevant sind und das richtige Krankenhaus für die Versorgung auszuwählen. Was genau im Notfall zu tun ist, legt ein Expertenteam in einer aktuellen Leitlinie dar. 

Etwa ein Viertel aller Schädel-Hirn-Traumata (SHT) betrifft Patienten unter 15 Jahren, die  eine Hälfte erleidet sie im Schulalter, die andere im Vorschulalter. Zu 91 % bis 97 % handelt es sich um geringgradige Verletzungen, erklären die Autoren der Leitlinie. 2–4 % fallen in die Kategorie mittelgradig,  1–5 % sind schwergradig. Die Mortalität liegt insgesamt bei 0,5 %. Den höchsten Wert von fast 18 % erreicht sie in der Gruppe der 1- bis 3-Jährigen mit schwerem SHT. 

Für den Notarzt vor Ort gilt es zunächst, Vitalparameter zu erheben, schwere Begleitverletzungen zu dokumentieren sowie den Bewusstseinszustand, motorische Asymmetrien und die Pupillomotorik zu prüfen. Der Unfallhergang muss detailliert anamnestisch erfasst werden, da sich daraus Hinweise auf die Stärke der Gewalteinwirkung und mögliche intrakranielle Verletzungen ergeben können. Bedeutung hat der Verlauf des Bewusstseins, falls ermittelbar. Für eine intrakranielle Verletzung spricht, wenn der Patient zunächst klar war und dann eingetrübt ist. 

Immer Hypoglykämie ausschließen

Denken sollte der Notarzt daran, dass ein SHT auch Folge einer akuten Bewusstseinsstörung anderer Ursache sein kann: Prototyp Hypoglykämie. Da sich diese Ursache sofort beheben lässt, sollte immer bei Anlage eines Zugangs der Blutzucker gemessen werden. 

Häufige subjektive Symptome eines SHT sind Kopfschmerzen, Übelkeit und Schwindel. Hat ein Patient mit leichtem SHT (er ist definitionsgemäß wach) geringe, nicht progrediente Kopfschmerzen und fehlen andere Symptome, besteht nur eine minimale Wahrscheinlichkeit für eine morphologisch nachweisbare Hirnschädigung im CT. Das Gleiche gilt für ein isoliertes Erbrechen. 

Mit der Glasgow Coma Scale (GCS) wird das SHT nach den Kriterien Augenöffnen, verbale Antwort und motorische Reaktion in Schweregrade eingeteilt. (siehe Kas­ten). Die aktuelle Versorgung des Patienten hängt aber weniger vom Schweregrad des SHT ab als vom klinisch-neurologischen Befund. So kommt es z.B. darauf an, die motorische Antwort auf Schmerzreize seitengetrennt zu erfassen, um Hemiparesen zu erkennen. Abnorme Haltungsmuster müssen erkannt und die Hirnstammreflexe mittels Pupillenweite und Lichtreaktion erfasst werden. 

Die Schweregrade des Schädel-Hirn-Traumas nach der Glasgow Coma Scale

  • leichtes SHT: GCS 13–15
  • mittelschweres SHT: GCS 9–12
  • schweres SHT: GCS ≤ 8

Für Kinder < 24 Monate wurde der Bereich verbale Antwort modifiziert: 

  • Brabbeln, Plappern = 5 Punkte
  • irritables Schreien = 4 Punkte
  • Schreien auf Schmerzreiz = 3 Punkte 
  • Stöhnen, Jammern auf Schmerzreiz = 2 Punkte 
  • keine Antwort = 1 Punkt

Irreguläre Atmung zusammen mit Bradykardie und arterieller Hypertonie (Cushing-Trias) weisen auf eine Hirnstammschädigung mit erhöhtem Hirndruck hin. Hirndruckzeichen unterscheiden sich altersabhängig. Beim Säugling spannt sich die Fontanelle, die Schädelnähte klaffen weiter auseinander, der Kopf­umfang nimmt zu. Außerdem kann man das sog. Sonnenuntergangsphänomen beobachten: Die Kinder blicken bei geöffneten Lidern abwärts, der untere Teil der Kornea schiebt sich unter das Unterlid und die Iris mit darüberliegender Sklera sieht dann aus wie eine untergehende Sonne. Ältere Kinder fallen mit Kopfschmerzen, Erbrechen, einseitig erweiterter Pupille, Hemiparese, Beuge- und Strecksynergismen sowie Hyperreflexie auf. 

Eine unmittelbar lebensbedrohliche Hirnschädigung zeigen beim bewusstlosen Patienten ein- oder beidseits weit fixierte Pupillen an. Wache Patienten prüft man auf Orientierung, Hirnnervenfunktion, Koordination und Sprachfunktion.

Um die Atemwege zu sichern und eine Hypoxie zu ver­­meiden, müssen Bewusstlose sowie Patienten mit ­Apnoe oder Schnappatmung prähospital intubiert oder mit Larynx- bzw. Beutelmaske beatmet werden. Das Gleiche gilt im Falle von Begleitverletzungen mit hämodynamischer Instabilität oder therapierefraktärer Hypoxie (Sauerstoffsättigung < 90 %). 

Da eine Hypotension das spätere Outcome verschlechtert, sollte der systolische Blutdruck je nach Lebensalter in bestimmten Bereichen gehalten werden: 

  • Kinder über zehn Jahre: > 90 mmHg
  • Kinder zwischen ein und zehn Jahren: > 70  + 2 x Alter mmHg
  • Kinder unter einem Jahr: > 70 mmHg 
  •  Kinder im ersten Lebensmonat: ≥ 60 mmHg. 

Für die stationäre Einweisung gibt es klare Indikationen (s. Kasten). Kinder mit einem GCS-Score < 14, Impressionsfraktur oder neurologischer Symptomatik sollten möglichst binnen 30 Minuten in einem Traumazentrum versorgt werden. Bei anhaltender Bewusstlosigkeit (GCS < 9), zunehmender Eintrübung, Pupillenstörung, Lähmung oder zerebralen Anfällen ist die Verlegung in eine Klinik mit kinderneurologischer und -intensivmedizinischer Expertise ­ratsam.

Wann einweisen? 

Ins Krankenhaus gehören schädelhirnverletzte Kinder mit

  • GCS-Score < 14
  • andauernden Kopfschmerzen
  • wiederholtem Erbrechen
  • neu aufgetretenen Krampfanfällen
  • otogener oder nasaler Liquorrhö
  • Zeichen für Gerinnungsstörungen
  • fortschreitender oder wellenförmiger Symptomatik
  • Verdacht auf Kindesmisshandlung
  • lebensbedrohlichen Begleitverletzungen
  • Bewusstlosigkeit von mehr als 5 Sekunden Dauer
  • Schädelfraktur
  • schwerem Unfallmechanismus
  • Hirndruckzeichen (zunehmender Kopfumfang, Sonnenuntergangsphänomen, gespannte Fontanelle, Pupillendifferenz)

Im Zweifelsfall sollte man die Indikation zur stationären Einweisung eher großzügig stellen, vor allem bei Kleinkindern. 

Quelle: S2k-Leitlinie „Das Schädel-Hirn-Trauma im Kindes- und Jugendalter“, AWMF-Register-Nr.: 024-018, www.awmf.org