Perikarditis – Neue Leitlinie gibt Ihnen einen klaren Therapie-Plan an die Hand

Autor: Dr. Carola Gessner

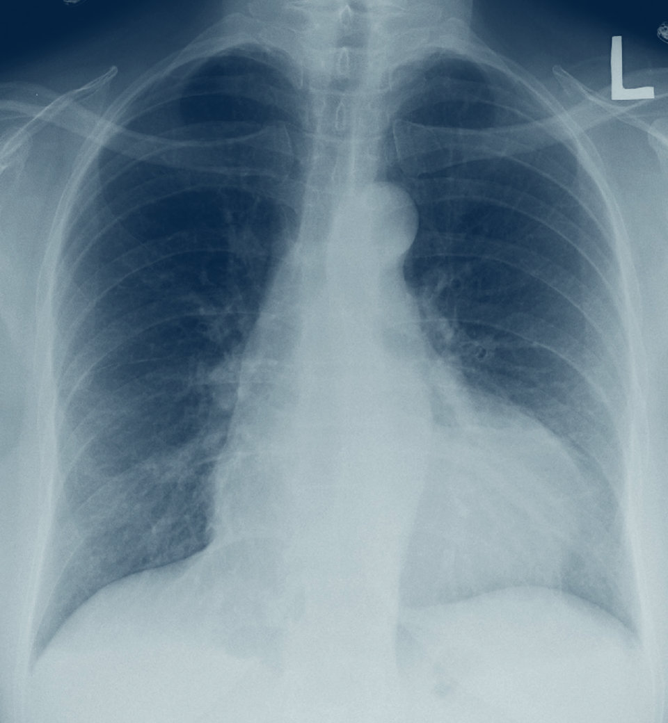
Ein großer Perikarderguss hat das Herz radiologisch stark vergrößert.
© wikimedia/James Heilmann. Ein großer Perikarderguss hat das Herz radiologisch stark vergrößert. © wikimedia/James Heilmann.
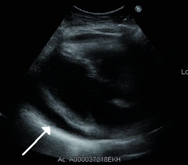
Echokardiographisch lässt sich die Flüssigkeitsansammlung im Herzbeutel sehr deutlich darstellen.
© wikimedia/James Heilmann. Echokardiographisch lässt sich die Flüssigkeitsansammlung im Herzbeutel sehr deutlich darstellen. © wikimedia/James Heilmann.
In diesem Perikarditis-EKG sieht man ST-Hebungen über der Vorderwand. 
© wikimedia/James Heilmann. In diesem Perikarditis-EKG sieht man ST-Hebungen über der Vorderwand. © wikimedia/James Heilmann.

Jeder fünfte Patient mit akuter Perikarditis ist besser in der Klinik aufgehoben. Neben Fieber und großem Perikarderguss zählt das Versagen der ASS/NSAR-Therapie zu den Einweisungsgründen. Und wie lange muss sich der Betroffene nach der akuten Phase schonen? Auch diese Frage beantwortet die „Herzbeutel-Leitlinie“.

Während weltweit die Tuberkulose an der Spitze der Perikarditis-Verursacher steht, zeichnen in unseren Breiten vor allem Virusinfektionen verantwortlich – z.B. mit Entero-, Herpes- oder Adenoviren. Autoimmunerkrankungen, Krebs, Medikamente oder iatrogene Ursachen könnten aber ebenfalls hinter einer Herzbeutelentzündung stecken, erklärte Dr. Antonio Brucato, Ospedale Papa Giovanni XXIII in Bergamo, Italien.

 

Nimmt Ihr Patient? Antikoagulanzien?


Haben Brustschmerz, Reibegeräusch bei der Auskultation oder typische EKG-Veränderungen den Perikarditisverdacht geweckt, gilt es, Patienten zu identifizieren, die stationär behandelt werden müssen. Zu den Hochrisiko-Kriterien gehören:

  • Fieber >…

Liebe Leserin, lieber Leser, aus rechtlichen Gründen ist der Beitrag, den Sie aufrufen möchten, nur für medizinische Fachkreise zugänglich. Wenn Sie diesen Fachkreisen angehören (Ärzte, Apotheker, Medizinstudenten, medizinisches Fachpersonal, Mitarbeiter der pharmazeutischen oder medizintechnischen Industrie, Fachjournalisten), loggen Sie sich bitte ein oder registrieren sich auf unserer Seite. Der Zugang ist kostenlos.

Bei Fragen zur Anmeldung senden Sie bitte eine Mail an online@medical-tribune.de.