Periphere arterielle Verschlusskrankheit: Untersuchung und Diagnose

Autor: Dr. Angelika Bischoff

Lassen sich die Fußpulse nicht tasten, bedeutet dies nicht unbedingt, dass eine PAVK vorliegt. Zur Absicherung wird zusätzlich der Knöchel-Arm-Index gemessen. Lassen sich die Fußpulse nicht tasten, bedeutet dies nicht unbedingt, dass eine PAVK vorliegt. Zur Absicherung wird zusätzlich der Knöchel-Arm-Index gemessen. © Mediengruppe Oberfranken – Fachverlage GmbH & Co. KG, Kulmbach

Fußpulse messen! Das ist die Basismaßnahme, um der peripheren arteriellen Verschlusskrankheit auf die Spur zu kommmen. Mit Knöchel-Arm-Index, Stufen­oszillographie und Farbduplexsonographie lassen sich dann Schweregrad und Ausdehnung beurteilen. Auf die CT- oder MRT-Angiographie kann man dagegen in der Primärdiagnostik verzichten.

Rund 60 % der Patienten mit einer PAVK haben gleichzeitig eine KHK, außerdem erleiden sie signifikant häufiger ischämische Schlaganfälle. Die PAVK als Markerkrankheit der Atherosklerose frühzeitig zu erkennen, kann deshalb unabhängig von ihrer Therapie dazu beitragen, die koronare und zerebrale Morbidität zu verringern, schreibt Dr. Christoph Ploenes vom Gefäßzentrum an der Schön Klinik Düsseldorf.

Bei typischem Risikoprofil nach der PAVK suchen

Das Risiko für andere Manifestationen der Atherosklerose ist auch dann erhöht, wenn die PAVK keine Symptome verursacht. Und das geschieht häufig nur deshalb nicht, weil die Betroffenen einen eingeschränkten Aktionsradius haben oder eine periphere Neuropathie besteht, die die Schmerzempfindung beeinträchtigt. Deshalb sollten auch beschwerdefreie Patienten mit typischem kardiovaskulärem Risikoprofil auf eine PAVK untersucht werden.

Anamnese und körperliche Untersuchung weisen den Weg zur weiteren Diagnostik. Klinische Merkmale einer PAVK sind Schmerzen im Sinne einer Claudicatio intermittens (s. Kasten), fehlende oder abgeschwächte Fußpulse, auskultatorisches Strömungsgeräusch im Gefäßverlauf, schlecht heilende Fußwunden sowie pedaler Ruheschmerz bei horizontaler Lagerung des Beines. Vor allem die beiden letztgenannten Kriterien weisen auf das Vorhandensein einer kritischen Beinischämie hin.

Die Definition der Claudicatio intermittens

Die Claudicatio ist ein belastungsabhängiger, reproduzierbarer Muskelschmerz, der sich in Ruhe rasch bessert und je nach Lokalisation der Engstelle gluteal, in der Oberschenkel-, Waden- oder Fußmuskulatur verspürt wird. Eine Claudicatio liegt definitionsgemäß nicht vor, wenn die Beschwerden in Gehpausen persistieren und nur im Sitzen zurückgehen oder wenn sie sich im Liegen genauso präsentieren. Ein weiteres Ausschlusskriterium sind symmetrische beidseitige Beinschmerzen in Abhängigkeit von der Körperhaltung. Passt ein Schmerz nicht in die Definition, kann man eine PAVK praktisch ausschließen. Auch seitengleich gut tastbare Fußpulse sprechen zumindest gegen eine gravierende arterielle Durchblutungsstörung.

Lassen sich die Fußpulse nicht tas­ten, bedeutet dies nicht unbedingt, dass eine PAVK vorliegt. Denn Fußödeme, Hautverhärtungen oder Wunden können die Tastbarkeit verringern. Um die klinische Verdachtsdiagnose abzusichern, wird deshalb zusätzlich der Knöchel-Arm-Index (Ankle-Brachial-Index, ABI) gemessen. Als pathologisch gilt ein Quotient aus Fuß- und Armarteriendruck von < 0,9. Bei einer schweren PAVK liegt der ABI < 0,5. Quotienten > 1,3 sprechen für eine zirkuläre Mediasklerose, die eine aussagekräftige Messung unmöglich macht. Sie findet man vor allem bei Patienten mit Diabetes mellitus und bei fortgeschrittener Niereninsuffizienz. Über die Höhe der Engstelle sagt der ABI nichts aus.

Farbduplexsonographie ist unverzichtbar

Die stenotische Veränderung lässt sich mit der Stufenoszillographie nach Genesius und Keller identifizieren. Mit der Methode werden die von der arteriellen Perfusion abhängigen pulssynchronen Schwankungen des Beinvolumens registriert. Unverzichtbarer Bestandteil der Diagnostik ist die Farbduplexsonographie, mit der man Morphologie der Engstelle und Flussdynamik darstellen kann. Das normalerweise biphasische Flussprofil wird nach einer arteriellen Obstruktion monophasisch, was ein vorgeschaltetes Strombahnhindernis beweist. Das Verfahren ermöglicht häufig auch, den Zugangsweg für einen Kathetereingriff zu planen. Mit den genannten Maßnahmen gelingt es, eine PAVK sicher zu diagnostizieren sowie ihren Schweregrad und ihre Ausdehnung gut zu erfassen. Schnittbilduntersuchungen wie MRT- bzw. CT-Angiographie werden nur gebraucht, wenn eine weitere Abklärung erforderlich ist oder man für die Therapieentscheidung zusätzliche Informationen benötigt.

Digitale Subtraktionsangio­graphie nur selten indiziert

In der Primärdiagnostik der PAVK sind sie laut Dr. Ploenes fehl am Platz, da sie häufig einen Normalbefund zeigen oder falsch-positiv ausfallen, wenn sie eine morphologische Auffälligkeit abbilden, die gar keine hämodynamische Relevanz hat. Die invasive digitale Subtraktionsangio­graphie ist nur noch bei unklaren Befunden in der MRT- oder CT-Angiographie indiziert. Dies kann der Fall sein, wenn die Arterienwände, insbesondere am Unterschenkel, stark kalzifiziert sind.

Quelle: Ploenes C. internistische praxis 2020; 62: 569-575

Um den Knöchel-Arm-Index zu berechnen, erfolgt die Doppler-Druckmessung der Aa. brachialis (1), dorsalis pedis (2) und tibialis posterior (3). Gebildet wird jeweils der Quotient aus Fuß- und Armarteriendruck. Um den Knöchel-Arm-Index zu berechnen, erfolgt die Doppler-Druckmessung der Aa. brachialis (1), dorsalis pedis (2) und tibialis posterior (3). Gebildet wird jeweils der Quotient aus Fuß- und Armarteriendruck. © Mediengruppe Oberfranken – Fachverlage GmbH & Co. KG, Kulmbach
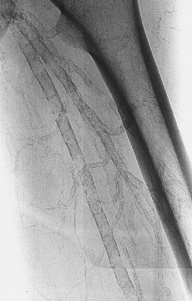
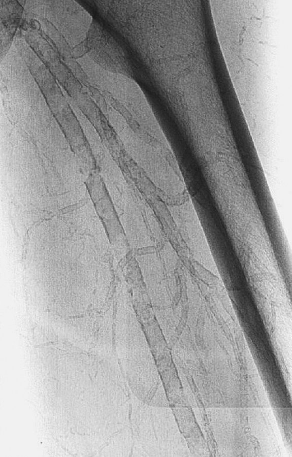
Solch eine Mediasklerose blockiert die ABI-Messung Solch eine Mediasklerose blockiert die ABI-Messung © Mediengruppe Oberfranken – Fachverlage GmbH & Co. KG, Kulmbach