Pleuramesotheliom: Unspezifische Lungensymptome nach Kontakt mit Asbest

Autor: Dr. Dorothea Ranft

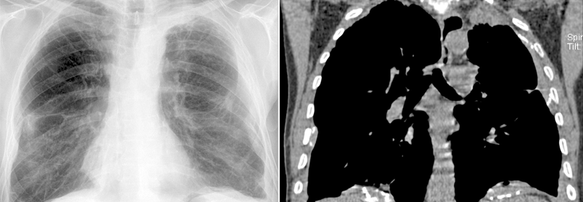
Das Röntgenbild (links) und das CT-Bild (rechts) sollten einen Verdacht auslösen. Die Pleura ist verdickt und es gibt einen Erguss. Das Röntgenbild (links) und das CT-Bild (rechts) sollten einen Verdacht auslösen. Die Pleura ist verdickt und es gibt einen Erguss. © wikipedia/Hellerhoff (CC 3.0)

Asbest ist zwar schon lange verboten, doch nun treten die Pleuramesotheliome zutage. Deren rechtzeitige Diagnose und Therapie ermöglicht zwar keine Heilung, kann das Leben aber verlängern.

Fast alle Patienten mit Pleuramesotheliom hatten Asbestkontakt. Wegen der langen Latenzzeit vergehen aber 20 bis 50 Jahre, bis sich der Tumor manifestiert. Deshalb muss die Anamnese auch einen entsprechend langen Zeitraum abdecken, schreibt Privatdozent Dr. Stefan­ B. Watzka vom Krankenhaus Nord, Wien. Ein erhöhtes Risiko für eine berufliche Exposition besteht vor allem in metallverarbeitenden Betrieben, auf Baustellen und im Schiffbau. Aber auch private Kontakte z.B. bei Hausrenovierungen sind nicht zu unterschätzen.

Sichere Diagnose nur mit histologischer Untersuchung

Erste Zeichen eines malignen Pleuramesothelioms (MPM) sind meist unspezifische Symptome wie Reizhusten, Dyspnoe, chronische Thoraxschmerzen und Erschöpfung. Auch ein Zwerchfellhochstand, unklare Pleuraergüsse oder ein Spontan­pneumothorax im höheren Alter können auf ein MPM hinweisen, schreibt der Thoraxchirurg. Vor allem bei anhaltenden Symptomen sollte man das MPM auf dem Schirm haben. Mitunter wird die Diagnose auch als Zufallsbefund nach der Untersuchung völlig beschwerdefreier Patienten gestellt.

Bei klinischem oder radiologischem Verdacht ist der erste dia­gnostische Schritt die Thorax-CT. Sie zeigt diffuse oder noduläre Pleura­verdickungen, disseminierte Rundherde und abgekapselte Ergüsse. Diese Befunde sind zwar typisch für das MPM, aber nicht pathognomonisch. Sichern lässt sich die Diagnose nur histologisch, z.B. mit einer Videothorakoskopie. Die Immunhistochemie ermöglicht den Nachweis von tumorspezifischen Markern und erlaubt die Einteilung in vier Subtypen: epitheloid, sarkomatoid, biphasisch-epitheloid und biphasisch-sarkomatoid.

Vor der Behandlung steht das Staging, dessen obligater Bestandteil die Thorax-CT mit Kontrastmittel ist. Auch PET-CT oder PET-Scan gehören zum Programm, um Fernmetastasen und kontralateralen Pleurabefall auszuschließen. Die Prognose des MPM ist zwar nach wie vor ungünstig. Aber es gibt protektive Faktoren und deutliche Unterschiede zwischen den Stadien.

Eine mikroskopisch komplette Resektion ist nicht möglich

Therapeutisch werden die besten Ergebnisse mit einem multimodalen Ansatz erzielt, also etwa mit einer Kombination von Chemotherapie mit Chirurgie oder Bestrahlung. Für die Erstlinienbehandlung eignet sich z.B. die Kombination von Cisplatin und Pemetrexed. Was die chirurgische Therapie betrifft, so ist eine mikroskopisch komplette Resektion (R0) beim malignen Pleuramesotheliom nicht erreichbar. Möglich ist eine maximale Zytoreduktion.

Dieser Eingriff kommt allerdings nur für Patienten im Frühstadium mit entsprechender Fitness und als Teil einer multimodalen Therapie in Betracht. Eindeutig kontraindiziert ist die Zyto­reduktion bei einem Befall der kontralateralen oder supraklavikulären Lymphknoten. Auch für Patienten mit Metastasen (M1) auf der Gegenseite oder einem sarkomatoiden Subtyp kommt die maximale Zytoreduktion nicht infrage. Als chirurgische Verfahren der ersten Wahl werden lungenerhaltende Operationen empfohlen. Dabei ist die erweiterte Pleurektomie/Dekortikation der extrapleuralen Pneumon­ektomie überlegen. Die Vorteile zeigten sich sowohl bezüglich des Langzeitüberlebens als auch der perioperativen Mortalität.

Wie ist die Prognose?

Operativ behandelte Patienten mit malignem Pleuramesotheliom überleben im Median 6 bis 12 Monate. Allerdings gibt es erhebliche Unterschiede zwischen den Tumorstadien. Patienten mit T1-Tumoren schaffen im Mittel 29 Monate, solche mit T4-Tumoren kaum mehr als 13 Monate. Für konservativ behandelte Patienten gibt es Prognose-Scores: Als ungünstig gelten Befall der Pleura, erhöhtes LDH, schlechter Performance-Status, Thoraxschmerzen, Thrombozytose, nicht-epitheloider Tumor und Alter > 75 Jahre. Für ein längeres Überleben sprechen fehlender Gewichtsverlust, Hämoglobin > 15,3 g/dl und ein Serumalbumin > 4,3 g/dl.

Lebensqualität lässt sich nachhaltig verbessern

Auch palliative Eingriffe haben sich bewährt, z.B. beim symptomatischen Pleura- oder Perikard­erguss oder wenn eine maximale chirurgische Zyto­reduktion nicht möglich ist. Infrage kommen Tumormassenreduktion, die Anlage eines permanenten Pleura- oder Perikardkatheters und die Talkum-Pleurodese. Diese Verfahren können zwar das Leben nicht verlängern, bessern aber die Lebensqualität nachhaltig. Eine weitere wichtige Komponente der multimodalen Behandlung ist die Strahlentherapie. Sie verringert das Auftreten von Lokalrezidiven nach maximaler chirurgischer Zyto­reduktion. Außerdem kann sie symptomatischen Palliativpatienten eine langfristige Symptomfreiheit verschaffen, betont Dr. Watzka. Seiner Ansicht nach sollte die Strahlentherapie auch beschwerdefreien Patienten mit begrenztem Lokalrezidiv empfohlen werden. 

Quelle: Watzka SB. J Pneumolog 2019, 7: 5-10

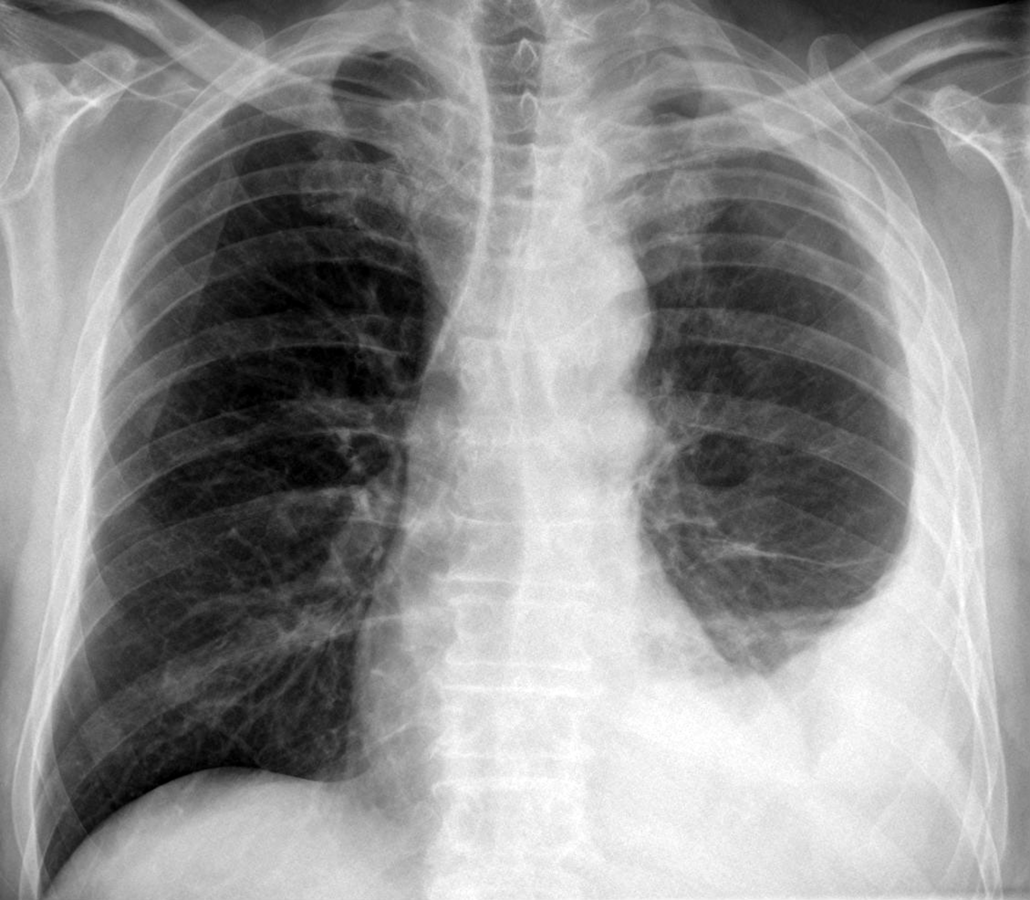
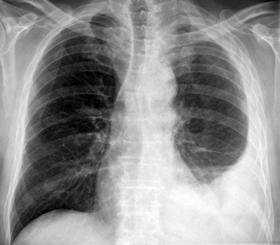
 Pleuramesotheliom im Röntgenbild des Thorax: Pleuraverdickung und -erguß links. Pleuramesotheliom im Röntgenbild des Thorax: Pleuraverdickung und -erguß links. © wikipedia/Hellerhoff (CC 3.0)
Mesotheliom der Pleura links in der Computertomographie: Mantelförmige Verdickung der Pleura mit Pleuraerguss. Mesotheliom der Pleura links in der Computertomographie: Mantelförmige Verdickung der Pleura mit Pleuraerguss. © wikipedia/Hellerhoff (CC 3.0)