Riesiger Halstumor plagt 25-Jährigen

Autor: Dr. Anja Braunwarth

Im MRT maß der Tumor am rechten lateralen Halsdreieck 8,5 x 5,3 cm. Im MRT maß der Tumor am rechten lateralen Halsdreieck 8,5 x 5,3 cm. © Baumann D et al. Hamburger Ärzteblatt 2019; 73: 32-33 © Hamburger Ärzteverlag, Hamburg

Lange Zeit läuft der mesenchymale Tumor eines 25-Jährigen unter falscher Flagge. Erst nach der Entfernung stellt sich heraus, worum es sich handelt.

Seit zwei Jahren wuchs auf der rechten Halsseite des jungen Mannes ein Tumor. Die Bildgebung in 2017 zeigte eine starke Vaskularisierung und unter der Annahme eines Hämangioms erfolgte die angiologische Embolisation. Doch es kam zu einem erneuten Wachstum der Raumforderung. Der Patient geriet dadurch zunehmend in eine verkrampfte Körperhaltung.

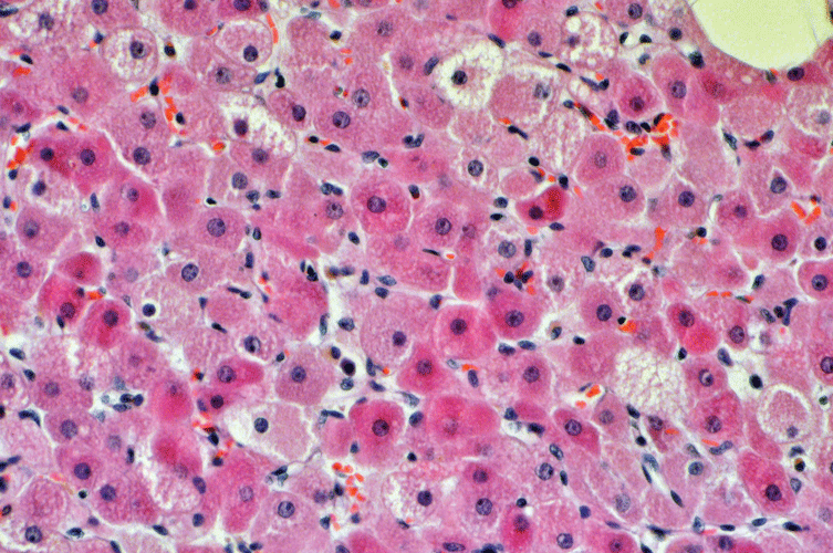
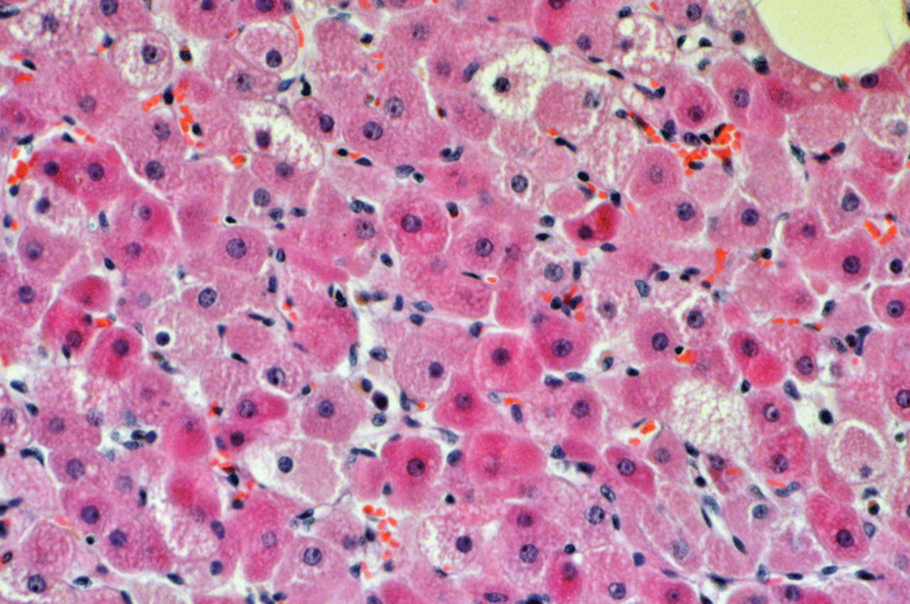
Das Team aus Radiologen, Angiologen, Gefäß- und Allgemeinchirurgen der Asklepios Klinik St. Georg in Hamburg stellte nun die Indikation zur Exstirpation, die sich komplikationslos durchführen ließ. Postoperativ erholte sich der 25 Jährige problemlos. Histologisch bestand der Tumor aus gut differenzierten Zellen mit eosinophilem und teilweise vakuolisiertem Zytoplasma.

Derartige Tumoren treten vor allem bei Phakomatosen auf

Außerdem fanden sich sogenannte „Spinnenzellen“, d.h. Zellen mit zentralem Kern und kranzfömig formierten Vakuolen, in deren Zytoplasma spinnenartige Fortsätze von der Hülle bis zum Kern reichten. Insgesamt ergab sich der Befund eines adulten Rhabdomyoms ohne Hinweis für Malignität.

Diese gutartigen Mesenchymaltumoren mit Merkmalen quergestreifter Skelettmuskulatur liegen am häufigsten im Herzen und treten vor allem im Zusammenhang mit der tuberösen Sklerose, anderen Phakomatosen oder Glykogenspeicherkrankheiten auf.

Heiserkeit, Hör- und Schluckstörungen

Extrakardial finden sie sich nur sporadisch und über adulte extrakardiale Formen existieren bislang gerade mal 160 Fallberichte, schreiben Daniel Baumann von der Allgemein- und Viszeralchirurgie der Hamburger Klinik und Kollegen. Männer trifft es 3- bis 5-mal häufiger, Prädilektionsstelle ist der Kopf-Hals-Bereich. Bei unklaren Raumforderungen in dieser Region sollte man daher diese Differenzialdiagnose im Kopf haben. Rhabdomyome entarten zwar nicht, können aber durch Kompression Beschwerden wie Heiserkeit, Hör- oder Schluckstörungen verursachen. Die komplette operative Entfernung stellt das Mittel der Wahl dar. Bleiben Reste, kann es zu Rezidiven kommen.

Quelle Text und Abb.: Baumann D et al. Hamburger Ärzteblatt 2019; 73: 32-33 © Hamburger Ärzteverlag, Hamburg

Die großen polygonalen Zellen mit stark eosinophilem Zytoplasma, großem Kern und prominentem Nukleolus sowie einzelnen Spiderzellen wiesen auf das Rhabdomyom hin. Die großen polygonalen Zellen mit stark eosinophilem Zytoplasma, großem Kern und prominentem Nukleolus sowie einzelnen Spiderzellen wiesen auf das Rhabdomyom hin. © Baumann D et al. Hamburger Ärzteblatt 2019; 73: 32-33 © Hamburger Ärzteverlag, Hamburg