Lumbale degenerative Spondylolisthesis Schrauben und Platten offenbar unnötig

Autor: Maria Weiß

Um die erreichte Entlastung des Rückenmarks zu stabilisieren, werden in den letzten Jahren zunehmend auch Schrauben, Stäbe und Platten eingesetzt. Um die erreichte Entlastung des Rückenmarks zu stabilisieren, werden in den letzten Jahren zunehmend auch Schrauben, Stäbe und Platten eingesetzt. © iStock/Thomas Demarczyk

Lassen sich Schmerzen in Bein und Rücken bei einer lumbalen degenerativen Spondylolisthesis durch die konservative Therapie nicht ausreichend lindern, können operative Maßnahmen zur Dekompression indiziert sein.

Um die erreichte Entlastung des Rückenmarks zu stabilisieren, werden in den letzten Jahren zunehmend auch Schrauben, Stäbe und Platten eingesetzt (sogenannte instrumentierte Fusion). Dies hat die Prozedur deutlich aufwändiger und teurer gemacht. Dr. Ivar Austevoll von der Abteilung für Orthopädie am Haukeland University Hospital in Bergen, Norwegen, und seine Arbeitsgruppe haben jetzt in einer randomisierten Vergleichsstudie untersucht, ob der höhere Aufwand auch gerechtfertigt ist und tatsächlich zu besseren Ergebnissen führt.

In die offene Multicenter-Studie wurden 267 Patienten mit einer symptomatischen Spinalstenose aufgrund einer lumbalen Spondylolisthesis (> 3 mm) eingeschlossen. Die Patienten waren im Mittel 66 Jahre alt, 75 % litten seit über einem Jahr an Schmerzen im Bein und 80 % ebenso lange an Rückenschmerzen. Bei der einen Hälfte wurde eine alleinige chirurgische Dekompression und bei der anderen eine instrumentalisierte Dekompression durchgeführt. Primärer Endpunkt war der Anteil von Patienten mit einer mindestens 30%igen Reduktion im Oswestry Disability Index (ODI, 1–100) zwei Jahre nach der Operation.

An der Technik lag es nicht

Nach alleiniger Dekompression ging der ODI im Mittel um 20,6 Punkte zurück, nach der Fusion um 21,3 Punkte. Eine Reduktion des ODI um mindestens 30 % erreichten 71,4 % der Patienten nach Dekompression und nach Fusion 72,9 %. Auch in der Per-Protokoll-Analyse war kein Unterschied zwischen den beiden Gruppen erkennbar (jeweils 75,5 %). Damit ist die Nicht-Unterlegenheit der alleinigen Dekompression nachgewiesen, schreiben die Autoren. Am technischen Scheitern der Fusion lag es offensichtlich nicht – bei 86 von 100 Patienten mit einer Bildgebung nach zwei Jahren war die Fusion erfolgreich.

Ein kleiner Unterschied zugunsten der Fusion zeigte sich bei der Notwendigkeit eines erneuten operativen Eingriffs. Dieser war bei alleiniger Dekompression in 12,5 % der Fälle erforderlich. Nach einer Fusion lag der Anteil bei 9,1 % der Patienten.

Quelle: Austevoll IM et al. N Engl J Med 2021; 385: 526-538; DOI: 10.1056/NEJMoa2100990

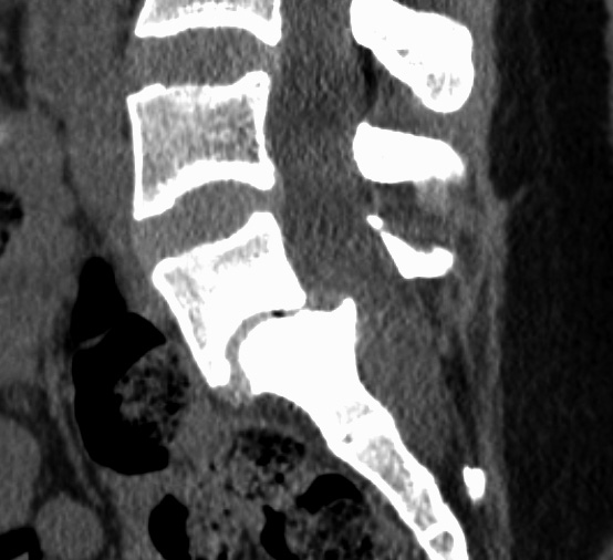
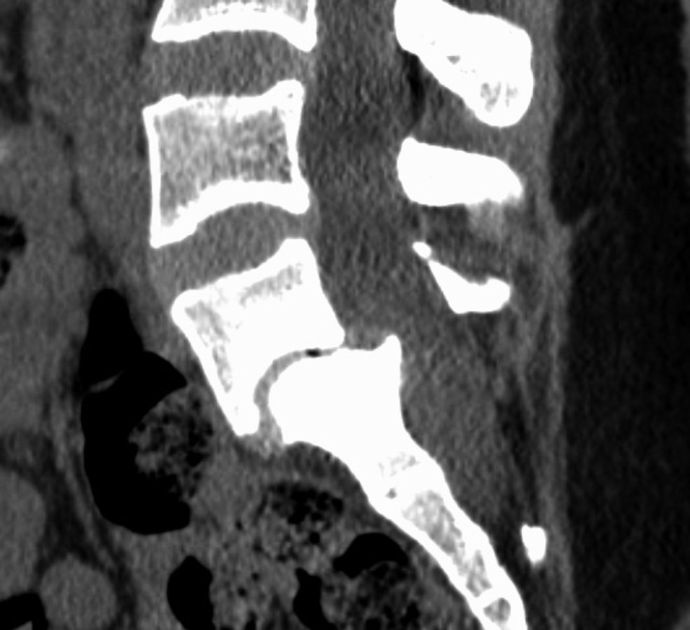
In der Computertomographie zeigt sich eine Spondylolisthesis zwischen L5 und S1. In der Computertomographie zeigt sich eine Spondylolisthesis zwischen L5 und S1. © wikimedia/James Heilman, MD