Schwellungen im Mund – Diagnose und Therapie der orofazialen Granulomatose

Autor: Dr. Elke Ruchalla

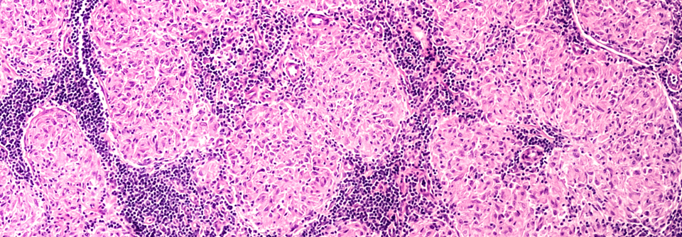
In der Biopsie vom Zahnfleisch fanden sich Makrophagen, Riesenzellen und wenige Lymphozyten. (Agenturfoto) In der Biopsie vom Zahnfleisch fanden sich Makrophagen, Riesenzellen und wenige Lymphozyten. (Agenturfoto) © iStock/Image Source

Dicke Lippen, geschwollenes Zahnfleisch, entzündete Mundschleimhaut: Diese Symptome deuten womöglich auf eine orofaziale Granulomatose. Ein Fallbericht zeigt auf, wie schwierig Diagnose und Therapie sein können.

Seit etwa zwei Jahren klagte eine Zwölfjährige über eine Wucherung am Zahnfleisch des Oberkiefers. Sie tue nicht weh, blute aber bei Kontakt und störe kosmetisch. Eine Behandlung mit Prednisolon hatte die Beschwerden etwas verringert; nach Absetzen war es aber zu einem Rezidiv gekommen. Der Zahnarzt war ratlos, als Nächstes kamen die Dermatologen zum Zug.

Diese entnahmen zunächst eine Gewebeprobe. Die zeigte eine Entzündung mit nicht-verkäsenden Granulomen, vielen Histiozyten, Riesenzellen und wenigen Lymphozyten. Die Ärzte um Privatdozentin Dr. Eva­ Valesky­ von der Klinik für Dermatologie, Venerologie und Allergologie der Universität Frankfurt vermuteten eine orofaziale Granulomatose im…

Liebe Leserin, lieber Leser, aus rechtlichen Gründen ist der Beitrag, den Sie aufrufen möchten, nur für medizinische Fachkreise zugänglich. Wenn Sie diesen Fachkreisen angehören (Ärzte, Apotheker, Medizinstudenten, medizinisches Fachpersonal, Mitarbeiter der pharmazeutischen oder medizintechnischen Industrie, Fachjournalisten), loggen Sie sich bitte ein oder registrieren sich auf unserer Seite. Der Zugang ist kostenlos.

Bei Fragen zur Anmeldung senden Sie bitte eine Mail an online@medical-tribune.de.