Stenose der Nierenarterie per Revaskularisierung behandeln?

Autor: Michael Brendler

Eine verengte Nierenarterie kann Bluthochdruck, chronische renale Insuffizienz und koronare Herzkrankheit verursachen. Eine verengte Nierenarterie kann Bluthochdruck, chronische renale Insuffizienz und koronare Herzkrankheit verursachen. © wikipedia/Zeina AR, Vladimir W, Barmeir E. (CC2.0)

Eine Angioplastie mit Stenteinlage funktioniert bei vielen atherosklerotischen Gefäßen. Doch an der Niere zeigte sie in Studien bisher nur selten einen Nutzen. Angiologen aus dem Breisgau bezweifeln den fehlenden Benefit.

Meist verläuft die arteriosklerotische Form der Nierenarterienstenose (NAST) progressiv und geht mit Bluthochdruck und Zerstörung von Gewebe einher. Die Basistherapie unterscheidet sich nicht von der bei anderen Hypertonikern oder Patienten mit Nierenfunktionsstörungen. Eine Revaskularisierungstherapie konnte aber bisher nicht überzeugen. Beispiel: die Coral-Studie. Schon die Gesamtkohorte von 947 Probanden mit einer angiographisch gesicherten NAST (Verschlussgrad über 60 %) und Bluthochdruck oder chronischer Niereninsuffizienz profitierte nicht von einer Stentung im Vergleich zur alleinigen medikamentösen Therapie. Auch Subgruppenanalysen, die den Schweregrad der NAST, den Ausgangsblutdruck und eine vorbestehende Herzinsuffizienz berücksichtigten, fanden keinen Benefit.

So entdecken Sie die Stenose

Die farbkodierte Duplexsonographie ist Diagnose der Wahl, auch um hämodynamisch relevante Stenosen zu identifizieren. Sie erlaubt allerdings keine Festlegung des Stenosegrads. Indiziert sind diagnostische Maßnahmen unter anderem bei Beginn der Hypertonie unter 30 Jahren oder über 55 in Zusammenhang mit Nieren- oder Herzinsuffizienz, angesichts einer hypertensiven Krise sowie resistenter Werte oder rapider und anhaltender Verschlechterung des Hochdrucks.

Eigentlich hätten einige Patienten profitieren müssen

Und trotzdem glauben Professor Dr. Thomas Zeller und Dr. Elias ­Noory vom Universitäts-Herzzentrum Freiburg-Bad Krozingen, ist das letzte Wort in der Angelegenheit noch nicht gesprochen. Zumindest die Herzinsuffizienz-Patienten, argumentieren sie, hätten eigentlich von dem Eingriff profitierten müssen – das widerspreche dem Ergebnis von Beobachtungsstudien und macht sie misstrauisch. Zudem rekrutierte die Coral-Studie zu langsam, damit wurde eine große Anzahl nicht relevanter Stenosen behandelt. Bis zu 50 % der Teilnehmer hatten einen Verschluss, der hämodynamisch noch keine klinische Relevanz aufwies, so Argument Nummer zwei. Die Kollegen in Bad Krozingen setzen das Verfahren deshalb weiter ein. Zur Rechtfertigung verweisen sie auf eine Cochrane-Analyse von acht randomisierten Studien, die eine signifikante Reduktion des diastolischen Blutdrucks und der Antihypertensiva-Zahl nach Stent-Revaskularisierung zeigte. Allerdings wiesen die eingeschlossenen Studien methodische Mängel auf. Nach mehr als 20-jähriger, überwiegend positiver Erfahrung an über 2000 Patienten haben die Kardiologen einen eigenen Therapiealgorithmus entwickelt (s. Tabelle).
Therapie-Algorithmus im Universitäts-Herzzentrum
Freiburg-Bad Krozingen
Stenosegrad
Empfehlung
≥ 90 %

Revaskularisierung jeder NAST bei

  • Lebenserwartung ≥  2 Jahre
  • sich rasch verschlechternder Nierenfunktion
  • unkontrollierter arterieller Hypertonie
70–89 %

Revaskularisierung bei

  • progressiver Verschlechterung der Nierenfunktion (einseitige NAST)
  • rezidivierenden hypertensiven Krisen
  • progredienter Herzinsuffizienz
  • globaler Nierenischämie (bilaterale NAST oder funktionelle Einzelniere
  • chronischer Niereninsuffizienz (GFR < 10 ml/min)
< 70 %
  • Follow-up mit Duplexsonographie alle 6 Monate
  • Intervention nur, wenn der Stenosegrad bei gleichzeitiger klinischer Verschlechterung (Blutdruck, Nierenfunktion, Herzinsuffizienz) zunimmt

Kollegen sehen Empfehlung der Leitlinien nicht so eng

Die Leitlinien der Europäischen Gesellschaften für Kardiologie und Gefäßchirurgie sind deutlich restriktiver: Bei einer arteriosklerotischen Stenose kann man den Einsatz des Katheters nur bei der Kombination mit unerklärlicher wiederkehrender Herzinsuffizienz und Lungenödem „erwägen“. Die Autoren würden dagegen nur bei fehlender hämodynamischer Relevanz eine Revaskularisierung strikt ausschließen. Zu betonen sei außerdem, schreiben sie, dass die Ergebnisse der Studien nur für Patienten mit arteriosklerotischen Verschlüssen gelten. Gefäße mit hämodynamisch relevanten Stenosen durch Vaskulitiden, fibromuskuläre Dysplasie oder Endoprothesen-Überlagerung sollten revaskularisiert werden. Denn in diesen Fällen lassen sich damit renovaskuläre Hypertonie und ischämische Nephropathie durchaus heilen.

Quelle: Zeller T, Noory E. klinikarzt 2019; 48: 200-204; DOI: 10.1055/a-0901-0864

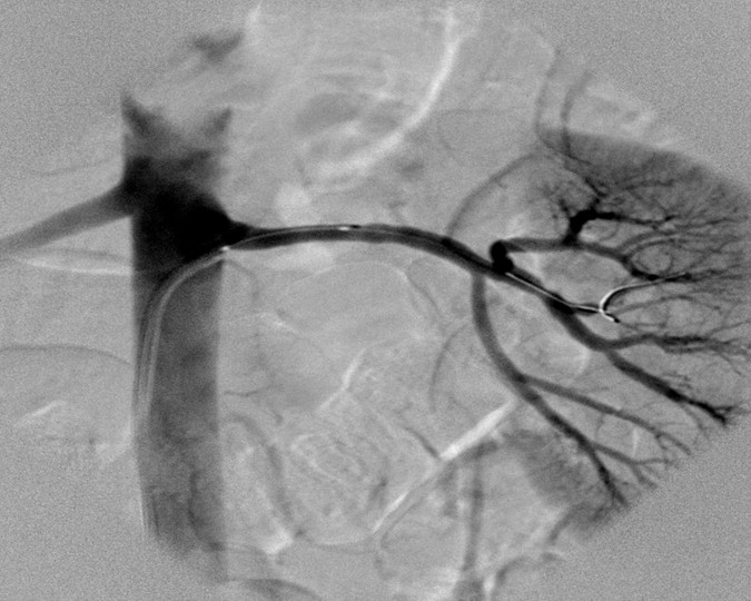
Angiografie einer Nierenarterienstenose aufgrund einer fibromuskulären Dysplasie Angiografie einer Nierenarterienstenose aufgrund einer fibromuskulären Dysplasie © wikipedia/Zeina AR, Vladimir W, Barmeir E. (CC2.0)
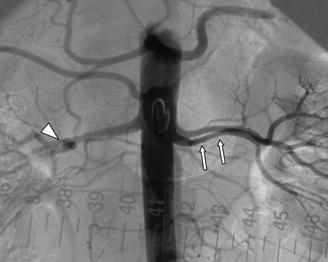
Die oben gezeigte Stenose nach Aufdehnung (PTA) Die oben gezeigte Stenose nach Aufdehnung (PTA) © wikipedia/Zeina AR, Vladimir W, Barmeir E. (CC2.0)