Untypische Manifestationen von spinalen Schwannomen – vier Fallbeispiele

Autor: Dr. Dorothea Ranft

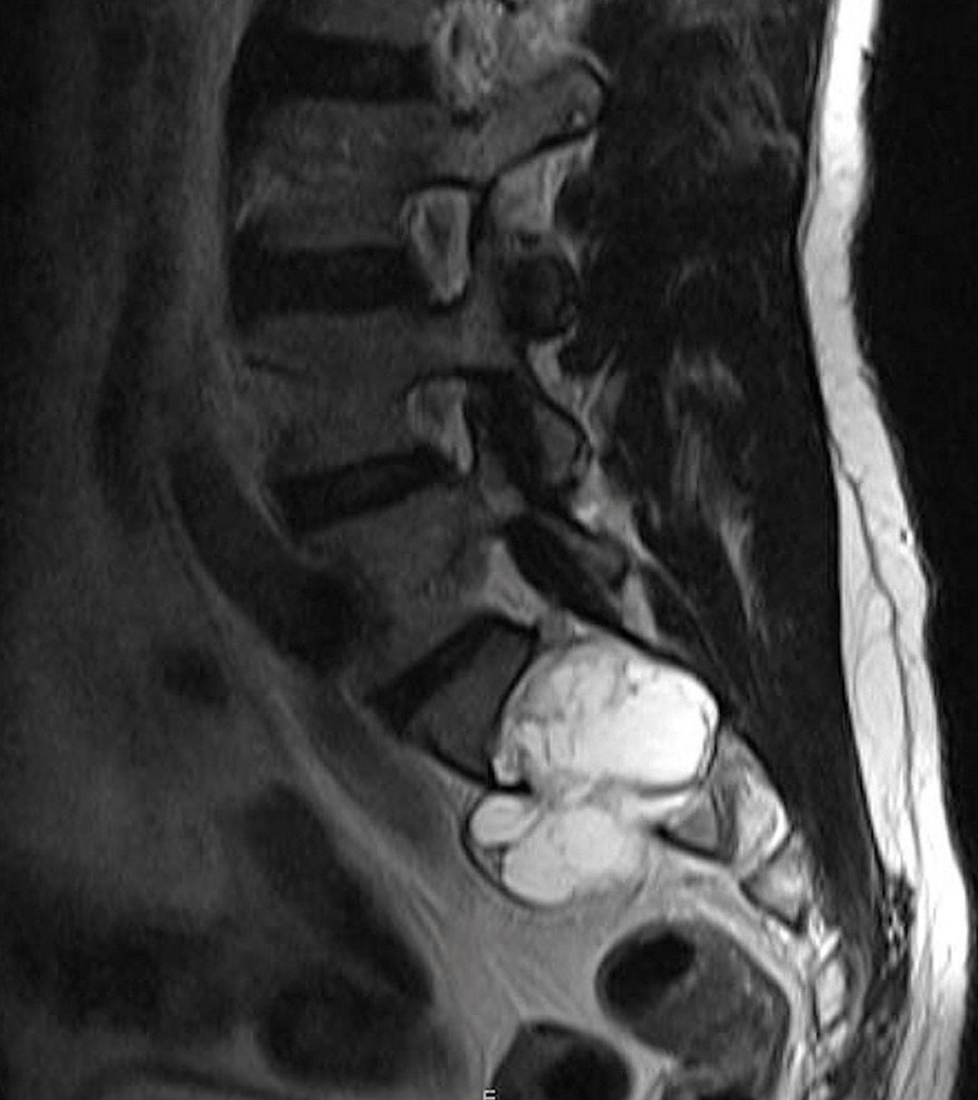
Spinale Schwannome können unterschiedliche Formen annehmen, wie bereits der erste Fall zeigt. Spinale Schwannome können unterschiedliche Formen annehmen, wie bereits der erste Fall zeigt. © Schulz C et al. Wehrmedizinische Monatsschrift 2020; 64: 410-416 © Beta Verlag & Marketinggesellschaft mbH, Bonn

Spinale Schwannome können sich ungewöhnlich präsentieren. Statt solide wachsen sie zystisch, destruieren den Knochen, infiltrieren das Mark oder dringen ins Retroperitoneum vor. Vier Fälle zeigen, wie Diagnostik und Therapie trotzdem gelingen.

Zwei Drittel aller primären intraspinalen Tumoren sind benigne, jede zweite gutartige Geschwulst geht von den Schwann’schen Zellen aus. Diese Schwan­nome wachsen meist intradural und extramedullär und machen sich klassischerweise mit einem radikulären Reizsyndrom der befallenen Nervenwurzel bemerkbar.

Mikrochirurgische Totalresektion ist Standard

Primär kommt es zu Schmerzen, später folgen sensible und motorische Ausfälle. Werden bei zunehmendem Wachstum Rückenmark bzw. Cauda equina komprimiert, kann dies zu einer Myelopathie und polyradikulären Störungen führen. Standardtherapie symptomatischer Schwannome ist die Totalresektion, die heute zumeist mikrochirurgisch erfolgt.

Gelegentlich präsentieren sich die Tumoren jedoch klinisch und radiologisch untypisch, was ihre Diagnostik und auch ihre Therapie erschwert. Gleich vier Beispiele für einen atypischen Verlauf stellt das Team um Privatdozent Dr. Chris Schulz von der Klinik für Neurochirurgie am Bundeswehrkrankenhaus Ulm vor.

Fall 1

Ein 37-jähriger Soldat konsultiert den Truppenarzt wegen seit einem Jahr bestehender Leistenschmerzen. Die radiologische Diagnostik förderte eine Raumforderung auf Höhe BWK 11 zutage, die auch vom mitbeurteilenden Neurochirurgen als unkomplizierte Zyste ohne Zusammenhang mit den Beschwerden gewertet wurde. Obwohl man in einer erneuten MRT-Untersuchung zwei Jahre später eine Größenzunahme der Läsion feststellte, blieben die Ärzte bei dieser Einschätzung. Dies änderte sich erst, nachdem der Patient vom Truppenarzt ins Bundeswehrkrankenhaus geschickt wurde, um eine Zweitmeinung einzuholen.

„Größenprogredienz, randständige Kontrastmittelaufnahme sowie eine zwischenzeitlich aufgetretene Gang­unsicherheit schienen nicht für eine unkomplizierte Zyste, sondern vielmehr für einen rückenmarkkomprimierenden zystischen Tumor zu sprechen“, schreiben Dr. Schulz und seine Kollegen. Intra­operativ stellte sich der Befund als Schwannom heraus, das vollständig entfernt werden konnte. Schmerz und Ganganomalie wurden durch den Eingriff beseitigt.

Fall 2

Ein 43-Jähriger klagt über diffuse Schmerzen im linken Bein, sensible Störungen und passagere Lähmungserscheinungen. Erst die CT-gesteuerte Biopsie konnte die Diagnose Schwannom sichern. Der benigne Tumor im Os sacrum zeigte ein retroperitoneales und intraspinales Wachstum. Auch bei diesem Patienten gelang eine vollständige Exzision – allerdings nur über einen nach ventral erweiterten dorsalen Zugang. Die betroffene S1-Nervenwurzel links konnte geschont werden. Auch dieser Patient hat nach dem Eingriff keine Beschwerden und keine neurologischen Ausfälle mehr.

Fall 3

Eine 53-jährige Patientin litt seit mehr als drei Jahren an linksseitigen Nacken- und Armschmerzen und intermittierenden Dysästhesien. Zusätzlich entwickelte sie eine progrediente Gangstörung. Als Ursache fand man ein großes, teils zystisch wachsendes Schwannom im Bereich der mittleren HWS mit intra- und extraspinaler Ausdehnung. Es hatte bereits die Halswirbelkörper 3 und 4 destruiert, die linke Vertebralarterie ummauert und war weit in den oberen Armplexus vorgedrungen.

Therapeutisch erfolgte zunächst eine Laminektomie mit Resektion der befallenen Vertebralgelenke. Zehn Tage später wurden HWK 3 und 4 durch ein Implantat ersetzt. Den weit in die Halsweichteile reichenden Tumor konnten die Chir­urgen nur subtotal entfernen. Postoperativ ist die Patientin asymptomatisch und der Resttumor zeigt auch neun Monate nach dem Eingriff keine Progredienz.

Fall 4

Ein 82-Jähriger kam mit Sensibilitätsstörungen an beiden Händen, Gangunsicherheit und einer ungerichteten Fallneigung bei geschlossenen Augen in die Klinik. Die Magnetresonanztomographie zeigte eine intramedulläre Raumforderung auf Höhe HWK 3/4. Die Histologie nach Resektion brachte ein melanotisches Schwannom ans Licht. Dieser extrem seltene Subtyp birgt ein 10%iges Malignisierungs- und Metastasierungspotenzial und bedarf deshalb nach der Entfernung einer MRT-Kontrolle. Spätestens beim Rezidiv ist eine Radiatio angezeigt.

Quelle Text und Abb.: Schulz C et al. Wehrmedizinische Monatsschrift 2020; 64: 410-416 © Beta Verlag & Marketinggesellschaft mbH, Bonn