Wer stoppt die Fettleber-Epidemie?

Autor: Dr. Dorothea Ranft; Foto: fotolia, Wladimir Wrangel

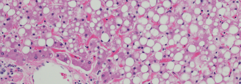
Die Fettleber ist Vorstufe der Steatohepatosis beim metabolischen Syndrom. Jeder vierte Deutsche ist betroffen, Tendenz steigend. Gewichtsverlust beseitigt das Problem effektiv - wenn die Patienten Disziplin zeigen.

Die nicht alkoholische Fettlebererkrankung (NAFLD) gilt als hepatische Manifestation des metabolischen Syndroms. Die NAFLD ist häufig mit einer Insulinresistenz assoziiert, die ihrerseits wiederum die Progression der Fettlebererkrankung fördert.

Entsprechend tragen Fettleber-Patienten ein erhöhtes Risiko für Typ-2-Diabetes und kardiovaskuläre Erkrankungen. Angesichts der ungebremsten Übergewichtsepidemie ist es kaum verwunderlich, das 20–30 % der Gesamtbevölkerung auch eine zu gut ernährte Leber aufweisen. Unter morbid Adipösen steigt diese Rate sogar über 90 %, schreibt das Team um Professor Dr. Christa Büchler vom Universitätsklinikum Regensburg.

Jeder vierte leidet unter Fettleber

Bei…

Liebe Leserin, lieber Leser, aus rechtlichen Gründen ist der Beitrag, den Sie aufrufen möchten, nur für medizinische Fachkreise zugänglich. Wenn Sie diesen Fachkreisen angehören (Ärzte, Apotheker, Medizinstudenten, medizinisches Fachpersonal, Mitarbeiter der pharmazeutischen oder medizintechnischen Industrie, Fachjournalisten), loggen Sie sich bitte ein oder registrieren sich auf unserer Seite. Der Zugang ist kostenlos.

Bei Fragen zur Anmeldung senden Sie bitte eine Mail an online@medical-tribune.de.