Wie beeinträchtigt Adipositas die Kognition?

Autor: Dr. Dorothea Ranft

Macht Fett dumm? „Dick und Doof“ scheint nicht nur ein Fernsehduo zu sein. Macht Fett dumm? „Dick und Doof“ scheint nicht nur ein Fernsehduo zu sein. © iStock/Mariano Galperin

Schon länger wird vermutet, dass die Adipositas den kognitiven Abbau beschleunigt. Wissenschaftler fahndeten nun mit dem Kernspin nach möglichen Veränderungen im Gehirn – und wurden fündig.

Zum Nachweis zerebraler Adipositas-Effekte nutzten die Wissenschaftler die Daten der UK Biobank Study, einer populationsbasierten britischen Kohorte mit einer halben Million Teilnehmern. Mehr als 12 000 Personen im mittleren Alter von 62 Jahren gingen in die aktuelle Analyse ein. Von diesen waren 18 % adipös und 43 % übergewichtig, schreiben Dr. Ilona A. Dekkers von der Universitätsklinik Leiden und ihre Kollegen. Sie erfassten bei sämtlichen Probanden das Körperfett und untersuchten das Gehirn mittels Magnetresonanztomographie (T1-gewichtet, diffusionsgewichtet).

Die subkortikale graue Substanz schwindet

Die Befunde deuten darauf hin, dass die Adipositas mit einer Abnahme der subkortikalen grauen Substanz einhergeht – allerdings mit Geschlechtsunterschieden. Bei den männlichen Probanden war die gesamte subkortikale graue Masse mit Ausnahme der Amygdala reduziert, bei den weiblichen nur im Globus pallidus. Bei beiden Geschlechtern fanden sich zudem Unterschiede in der Mikrostruktur der weißen Substanz.

Unklar ist allerdings noch, ob die ermittelten Hirnveränderungen tatsächlich durch das Übergewicht zustande kommen. Denn eine Querschnittsstudie kann Assoziationen, aber keine Kausalität nachweisen. Die Autoren fordern deshalb eine Absicherung durch weitere Studien.

Quelle: Dekkers IA et al. Radiology 2019; 291: 763-771

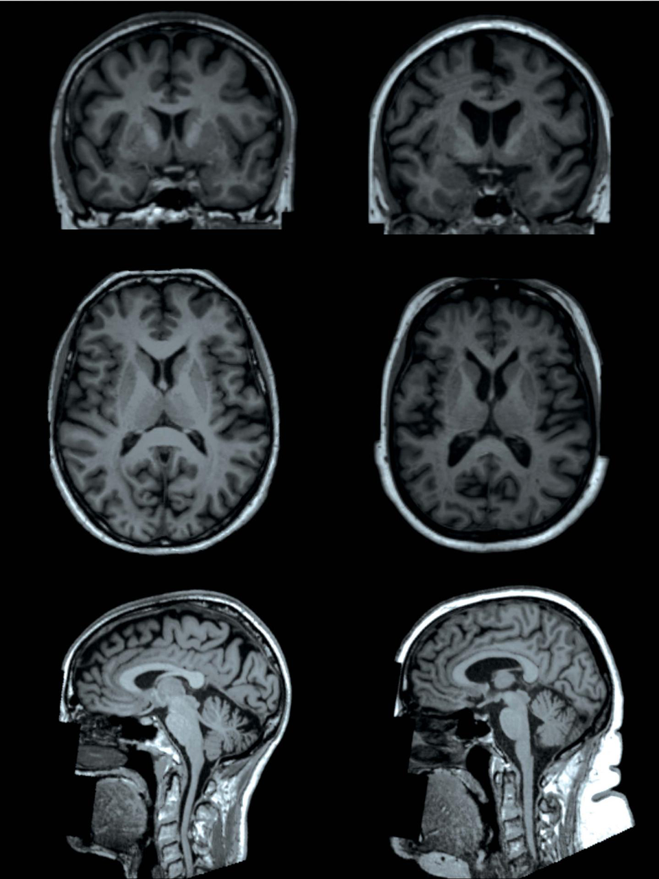
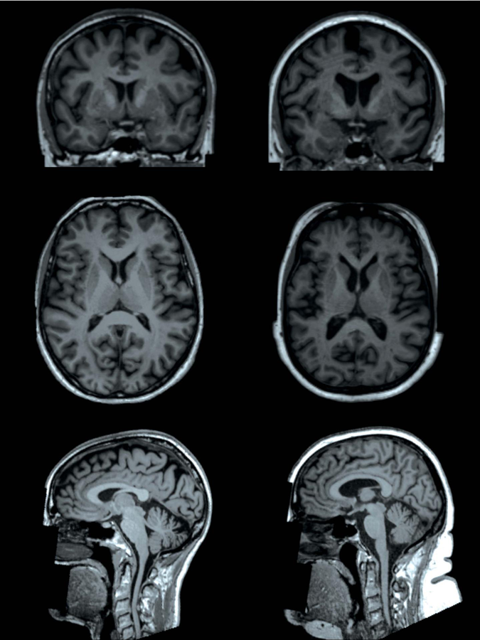
Zerebrales MRT von zwei Probandinnen der UK-Biobank-Studie. Eine hat einen Körperfettgehalt von 13 % (links), die andere einen von 49 % (rechts). Bei der adipösen Frau hat die subkortikale graue Substanz ein geringeres Volumen. Zerebrales MRT von zwei Probandinnen der UK-Biobank-Studie. Eine hat einen Körperfettgehalt von 13 % (links), die andere einen von 49 % (rechts). Bei der adipösen Frau hat die subkortikale graue Substanz ein geringeres Volumen. © Radiological Society of North America