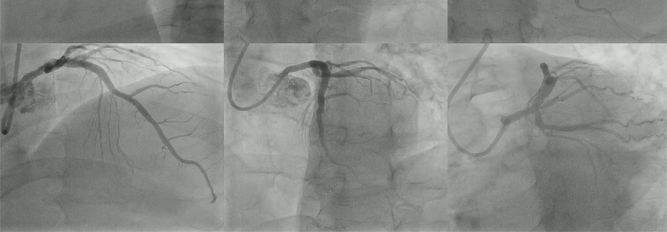
Stark verkalkte Koronarstenosen

Orbitale Atherektomie schlägt Ballonangioplastie nicht

Die orbitale Atherektomie sollte bei schwer kalzifizierten Läsionen das Ergebnis nach Stentimplantation verbessern. In der ECLIPSE-Studie gelang dies…

Kardiologie , Innere Medizin , Allgemeinmedizin

Zu viele Plättchenhemmer nach TAVI

Therapie nach TAVI selten leitliniengerecht

Im klinischen Alltag erhalten mehr als die Hälfte der TAVI-Patientinnen und -Patienten eine duale Plättchenhemmung. Dieses Vorgehen widerspricht den…

Kardiologie , Allgemeinmedizin , Innere Medizin

Kardiologie in der Pflicht

Jede dritte Leichtketten-Amyloidose zu spät erkannt

Die Leichtketten-Amyloidose wird häufig mehr als ein Jahr nach ersten kardiovaskulären Beschwerden erkannt - obwohl Betroffene im Schnitt vier…

Kardiologie , Innere Medizin , Allgemeinmedizin

Risikomarker von der Hautfarbe abhängig?

Lp(a) bei People of Color nicht mit Herzinsuffizienzgefahr assoziiert

Ein erhöhter Lp(a)-Spiegel scheint bei Schwarzen nicht mit einem Anstieg des Herzinsuffizienzrisikos verbunden zu sein. Und bei Weißen hängt die…

Kardiologie , Innere Medizin , Allgemeinmedizin

Rupturrisiko reduzieren

Statine bremsen Bauchaortenaneurysma

Statine sind eine vielversprechende Option, um die Progression eines kleineren Bauchaortenaneurysmas zu verlangsamen. Der Effekt auf Wachstum und…

Kardiologie , Angiologie , Innere Medizin , Allgemeinmedizin

Therapiealternative bei HOCM

Radiofrequenzablation so effektiv wie Myektomie

Die radiofrequenzbasierte Septumablation konnte in einer retrospektiven Analyse bei therapierefraktärer HOCM punkten. Das Verfahren war ebenso sicher…

Kardiologie , Innere Medizin , Allgemeinmedizin

Neue Leitlinie zum systemischen Lupus

S3-Leitlinie stärkt Biologika beim SLE

Die erste deutsche S3-Leitlinie zum SLE hat evidenzbasierte Therapieempfehlungen definiert, Biologika wie Anifrolumab gestärkt und klare Ziele für…

Medizin und Markt Rheumatologie , Dermatologie , Allgemeinmedizin