Kerion Celsi: Rattenhalter erkrankt an schwerer Tinea capitis

Schon beim Verdacht auf ein Kerion Celsi sollte eine systemische antimykotische Therapie gestartet werden. Die Verwendung von Kaltplasma unterstützt…

Dermatologie

Nagelpilzbehandlung kann dauern. Eine Salbe mit einem Gemisch aus Harnstoff und Bifonazol verspricht Heilung in nur wenigen Wochen statt mehreren…

Medizin und Markt Dermatologie

Wimpernserum: „Prostaglandinanaloga in Kosmetikprodukten sollten verboten werden!“

Neue Wimpernseren mit Prostaglandinanaloga versprechen ein tolles Haarwachstum. „Der Wirkstoff wurde extra aus der Glaukomforschung adaptiert“, heißt…

Dermatologie , Ophthalmologie

Bluten fürs Pflaster: Spezielles Patch lässt Ulzera besser heilen

Forscher haben ein Verfahren für hartnäckige Fußgeschwüre entwickelt. Dafür muss der Patient zuerst bluten.

Dermatologie , Angiologie

Juckstopp mit System

Biologika sind in der Therapie der mittelschweren bis schweren atopischen Dermatitis noch selten. Seit einem Jahr steht für Erwachsene mit Dupilumab…

Medizin und Markt Dermatologie

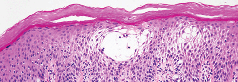
Reaktiv perforierende Kollagenose trifft vor allem Nierenkranke und Diabetiker

Meist sind es ältere, metabolisch vorbelastete Patienten, die an der perforierenden Kollagenose erkranken. Die Knötchen bildende Dermatose äußert…

Dermatologie , Nephrologie , Diabetologie

Aktive Bettruhe fördert die Wundheilung

„Aktiv“ und „Bettruhe“: zwei Begriffe, die scheinbar nicht zusammenpassen. Tatsächlich handelt es sich aber um ein erfolgreiches Programm bei…

Dermatologie