Günstigere Biomarker

Sport schwächt Infarkte ab

Ein STEMI verläuft womöglich milder, wenn die Patienten in der Woche vor dem Infarkt körperlich aktiv gewesen waren. Die Hospitalisierungsdauer und…

Kardiologie

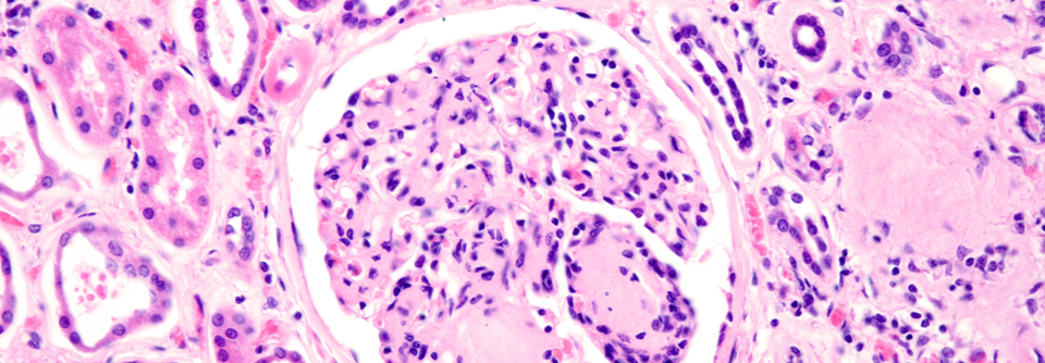
Kardiorenale Patienten

Risiko identifizieren, leitliniengerecht therapieren

Kardiorenale Patienten stellen eine besondere Risikogruppe dar. Sie brauchen optimierte Therapien. Dazu gehört neben der leitliniengerechten…

Medizin und Markt Kardiologie

Behandlung der Varikose

Operation und Alternativen

Die Operation gilt in Deutschland immer noch als Goldstandard bei der Therapie von Varizen. Aber es gibt inzwischen eine ganze Reihe von Alternativen,…

Kardiologie

Troponinwerte

Den Herzinfarkt am Handgelenk ablesen

Einen Herzinfarkt ohne Blutentnahme sichern? Deep learning könnte das möglich machen, Dann mit Hilfe dieser Technik lässt sich der Troponinwert über…

Kardiologie

Hyperkaliämie

Kalium binden, statt Herzmedikation reduzieren

Eine Herzinsuffizienz geht oft mit einer Hyperkaliämie einher. Die Elektrolytentgleisung wird durch bestimmte Herzmedikamente zwar verstärkt, doch das…

Medizin und Markt Kardiologie

Effektive LDL-Senkung

Nicht-interventionelle Studie aus Deutschland bestätigt bisherige Ergebnisse

Mit der small interfering RNA Inclisiran kann das LDL-Cholesterin im Praxisalltag ähnlich effektiv gesenkt werden wie in den klinischen Studien. Das…

Medizin und Markt Kardiologie

Leitlinie zum Diabetesmanagement bei Niereninsuffizienz

Effektiver Organschutz bei diabetischer Nephropathie

Geht es nach aktuellen internationalen Leitlinien, bilden nicht-steroidale Aldosteronantagonisten eine wichtige Säule bei Typ-2-Diabetes mit…

Medizin und Markt Kardiologie